BerEp4


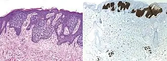
BerEp4 (also Ber-EP4) is a histologic stain mainly used to aid in the diagnosis of basal cell carcinoma (BCC).[2] It is an antibody to EpCAM (epithelial cell adhesion molecule).[1]
Clinical use
BerEp4 has a high sensitivity and specificity in being positive only in BCC cells.[1] BerEp4 is normally negative in squamous epithelium and mesothelium, but otherwise normally positive most epithelial cells of the body.[3] It can also help in distinguishing pulmonary adenocarcinoma (positive BerEp4) from mesothelioma (generally negative BerEp4).[3][4]
See also
References
- ^ a b c d Sunjaya, Anthony Paulo; Sunjaya, Angela Felicia; Tan, Sukmawati Tansil (2017). "The Use of BEREP4 Immunohistochemistry Staining for Detection of Basal Cell Carcinoma". Journal of Skin Cancer. 2017: 1–10. doi:10.1155/2017/2692604. ISSN 2090-2905. PMC 5804366. PMID 29464122.
- ^ "Ber-EP4". e-immunohistochemistry.info. Retrieved 24 May 2017.
- ^ a b "Test ID: BEREP - Ber-EP4 (Epithelial Cell Adhesion Molecule/EPCAM) Immunostain, Technical Component Only". Mayo Clinic Laboratories. Retrieved 2019-12-16.
- ^ Ordóñez, Nelson G. (1998). "Value of the Ber-EP4 Antibody in Differentiating Epithelial Pleural Mesothelioma From Adenocarcinoma:The M.D. Anderson Experience and a Critical Review of the Literature". American Journal of Clinical Pathology. 109 (1): 85–89. doi:10.1093/ajcp/109.1.85. ISSN 0002-9173. PMID 9426522.