Contrast CT

A woman undergoing CT pulmonary angiogram, a contrast CT scan of the pulmonary arteries, because of suspected pulmonary embolism. A contrast delivery system is connected to a peripheral venous catheter in her left arm.
A CT pulmonary angiogram, in this case showing pulmonary embolism of saddle-type, which becomes more radiolucent than the radiocontrast filled blood surrounding it (but it may be indistinguishable without radiocontrast)

Contrast CT, or contrast-enhanced computed tomography (CECT), is X-ray computed tomography (CT) using radiocontrast. Radiocontrasts for X-ray CT are generally iodine-based types.[1] This is useful to highlight structures such as blood vessels that otherwise would be difficult to delineate from their surroundings. Using contrast material can also help to obtain functional information about tissues. Often, images are taken both with and without radiocontrast. CT images are called precontrast or native-phase images before any radiocontrast has been administered, and postcontrast after radiocontrast administration.[2]

Bolus tracking

Volume Rendered Carotid Angiogram

Bolus tracking is a technique to optimize timing of the imaging. A small bolus of radio-opaque contrast media is injected into a patient via a peripheral intravenous cannula. Depending on the vessel being imaged, the volume of contrast is tracked using a region of interest (abbreviated "R.O.I.") at a certain level and then followed by the CT scanner once it reaches this level. Images are acquired at a rate as fast as the contrast moving through the blood vessels.

This method of imaging is used primarily to produce images of arteries, such as the aorta, pulmonary artery, cerebral, carotid and hepatic arteries.

Washout

"Washout" is where tissue loads radiocontrast during arterial phase, but then returns to a rather hypodense state in venous or later phases. This is a property of for example hepatocellular carcinoma as compared to the rest of the liver parenchyma.[3]

Phases

Depending on the purpose of the investigation, there are standardized protocols for time intervals between intravenous radiocontrast administration and image acquisition, in order to visualize the dynamics of contrast enhancements in different organs and tissues.[4] The main phases thereof are as follows:[5]

Phase Time from injection[5] Time from bolus tracking[5] Targeted structures and findings[5]
Non-enhanced CT (NECT) - -
Pulmonary arterial phase 6–13 sec[6] -
Pulmonary venous phase 17–24 sec[6] -
Early systemic arterial phase 15–20 sec immediately
  • Arteries, without enhancement of organs and other soft tissues.
Late systemicarterial phase
Sometimes also called "arterial phase" or "early venous portal phase"
35–40 sec 15–20 sec
  • All structures that get their blood supply from the arteries have optimal enhancement.
  • Some enhancement of the portal vein
Pancreatic phase 30[8] or 40[9] – 50[9] sec 20–30 sec
Hepatic (most accurate) or late portal phase 70–80 sec 50–60 sec
  • Liver parenchyma enhances through portal vein supply, normally with some enhancement of the hepatic veins.
Nephrogenic phase 100 sec 80 sec
  • All of the renal parenchyma enhances, including the medulla, allowing detection of small renal cell carcinomas
Systemic venous phase 180 sec 160 sec
Delayed phase
Sometimes called "wash out phase" or "equilibrium phase"
6[5]–15 minutes 6[5]–15 minutes
  • Disappearance of contrast in all abdominal structures except for tissue with fibrosis, which appears more radiodense.

Angiography

CT angiography is a contrast CT taken at the location and corresponding phase of the blood vessels of interest, in order to detect vascular diseases. For example, an abdominal aortic angiography is taken in the arterial phase in the abdominal level, and is useful to detect for example aortic dissection.[10]

Amount

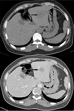
Hepatocellular carcinoma, without (top) and with (bottom) IV contrast

Adults

The following table shows the preferable volume in normal weight adults. However, dosages may need to be adjusted or even withheld in patients with risks of iodinated contrast, such as hypersensitivity reactions, contrast-induced nephropathy, effects on thyroid function or adverse drug interactions.

Sufficient volume for normal weight adults
Exam Iodine concentration Comments
300 mg/ml 350 mg/ml 370 mg/ml
CT of brain 95ml[11] 80 ml[11] 75 ml[11]
CT of thorax Overall 70–95 ml[notes 1] 60–80 ml[notes 1] 55–75 ml[notes 1] Parenchymal changes of the lung can often be evaluated adequately without the use of intravenous contrast.
CT pulmonary angiogram 20 ml[notes 2] 17 ml[notes 2] 15 ml[notes 2] Minimal amount when using specific low-contrast protocol.[notes 2]
CT of abdomen Overall 70 ml[11] 60 ml[11] 55 ml[11]
Liver 55 ml[notes 3] 45 ml[notes 3] 40–45 ml[notes 3] Minimal required amount.[notes 3]
CT angiography 25 ml[notes 4] 20 ml[notes 4] When using specific low-contrast protocol.[notes 4]

The dose should be adjusted in those not having normal body weight, and in such cases the adjustment should be proportional to the lean body mass of the person. In obese patients, the Boer formula is the method of choice (at least in those with body mass index (BMI) between 35 and 40):[12]

For men: Lean body mass = (0.407 × W) + (0.267 × H) − 19.2

For women: Lean body mass = (0.252 × W) + (0.473 × H) − 48.3

Children

Standard doses in children:[13]

Exam Concentration of iodine
300 mg/ml 350 mg/ml
Generally 2.0 ml/kg 1.7 ml/kg
CT of brain, neck or thorax 1.5 ml/kg 1.3 ml/kg

Adverse effects

Iodinated contrast agents may cause allergic reactions, contrast-induced nephropathy, hyperthyroidism and possibly metformin accumulation. However, there are no absolute contraindications to iodinated contrast, so the benefits needs to be weighted against the risks.[14]

As with CT scans in general, the radiation dose can potentially increase the risk of radiation-induced cancer.

The injection of iodinated contrast agents may sometimes lead to its extravasation.[15]

See also

Notes

  1. ^ a b c 0.3–0.4 gI/kg in a 70kg individual, according to:
    • Iezzi, Roberto; Larici, Anna Rita; Franchi, Paola; Marano, Riccardo; Magarelli, Nicola; Posa, Alessandro; Merlino, Biagio; Manfredi, Riccardo; Colosimo, Cesare (2017). "Tailoring protocols for chest CT applications: when and how?". Diagnostic and Interventional Radiology. 23 (6): 420–427. doi:10.5152/dir.2017.16615. ISSN 1305-3825. PMC 5669541. PMID 29097345.
  2. ^ a b c d Using dual energy CTA (such as 90/150SnkVp), according to:
  3. ^ a b c d The liver generally needs an enhancement of at least 30 HU for proper evaluation according to:
    • Multislice CT (3 ed.). Springer-Verlag Berlin and Heidelberg GmbH & Co. KG. 2010. ISBN 9783642069680.
    In males at 30 years of age, there is an estimated 0.027 HU of liver parenchymal enhancement per kilogram of body weight and per gram of iodine, when injected at 4 ml per second, according to: This example takes the example of a man with a typical weight of 70 kg.
  4. ^ a b c CT-angiography in a 70kg person, with 100-150 mg I/kg by using 80 kVp, mAs-compensation for constant CNR, fixed injection duration adapted to scan time, automatic bolus tracking and a saline chaser, according to:
    • Nyman, Ulf (2012). "Contrast Medium-Induced Nephropathy (CIN) Gram-Iodine/GFR Ratio to Predict CIN and Strategies to Reduce Contrast Medium Doses". Coronary Interventions. doi:10.5772/29992. ISBN 978-953-51-0498-8.

References

  1. ^ Webb, W. Richard; Brant, Wiliam E.; Major, Nancy M. (2014). Fundamentals of Body CT. Elsevier Health Sciences. p. 152. ISBN 9780323263580.
  2. ^ Dahlman P, Semenas E, Brekkan E, Bergman A, Magnusson A (2000). "Detection and Characterisation of Renal Lesions by Multiphasic Helical Ct". Acta Radiologica. 41 (4): 361–366. doi:10.1080/028418500127345479. PMID 10937759. S2CID 27758886.
  3. ^ Choi, Jin-Young; Lee, Jeong-Min; Sirlin, Claude B. (2014). "CT and MR Imaging Diagnosis and Staging of Hepatocellular Carcinoma: Part II. Extracellular Agents, Hepatobiliary Agents, and Ancillary Imaging Features". Radiology. 273 (1): 30–50. doi:10.1148/radiol.14132362. ISSN 0033-8419. PMC 4263770. PMID 25247563.
  4. ^ Bae, Kyongtae T. (2010). "Intravenous Contrast Medium Administration and Scan Timing at CT: Considerations and Approaches". Radiology. 256 (1): 32–61. doi:10.1148/radiol.10090908. ISSN 0033-8419. PMID 20574084.
  5. ^ a b c d e f Robin Smithuis. "CT contrast injection and protocols". Radiology Assistant. Retrieved 2017-12-13.
  6. ^ a b Page 584 in: Ákos Jobbágy (2012). 5th European Conference of the International Federation for Medical and Biological Engineering 14 - 18 September 2011, Budapest, Hungary. Volume 37 of IFMBE Proceedings. Springer Science & Business Media. ISBN 9783642235085.
  7. ^ Pavan Nandra (2018). "Introducing the use of Flash CTPA; how does it compare to standard CTPA?". Postering. doi:10.1594/ecr2018/C-1831.
  8. ^ Raman SP, Fishman EK (2012). "Advances in CT Imaging of GI Malignancies". Gastrointest Cancer Res. 5 (3 Suppl 1): S4-9. PMC 3413036. PMID 22876336.
  9. ^ a b c Otto van Delden and Robin Smithuis. "Pancreas - Carcinoma". Radiology Assistant. Archived from the original on 2019-09-26. Retrieved 2017-12-15.
  10. ^ Page 424 in: Stuart E. Mirvis, Jorge A. Soto, Kathirkamanathan Shanmuganathan, Joseph Yu, Wayne S. Kubal (2014). Problem Solving in Emergency Radiology E-Book. Elsevier Health Sciences. ISBN 9781455758395.{{cite book}}: CS1 maint: multiple names: authors list (link)
  11. ^ a b c d e f "New Zealand Datasheet" (PDF). New Zealand Medicines and Medical Devices Safety Authority. Retrieved 2018-10-16.
  12. ^ Caruso, Damiano; De Santis, Domenico; Rivosecchi, Flaminia; Zerunian, Marta; Panvini, Nicola; Montesano, Marta; Biondi, Tommaso; Bellini, Davide; Rengo, Marco; Laghi, Andrea (2018). "Lean Body Weight-Tailored Iodinated Contrast Injection in Obese Patient: Boer versus James Formula". BioMed Research International. 2018: 1–6. doi:10.1155/2018/8521893. ISSN 2314-6133. PMC 6110034. PMID 30186869.
  13. ^ Nievelstein, Rutger A. J.; van Dam, Ingrid M.; van der Molen, Aart J. (2010). "Multidetector CT in children: current concepts and dose reduction strategies". Pediatric Radiology. 40 (8): 1324–1344. doi:10.1007/s00247-010-1714-7. ISSN 0301-0449. PMC 2895901. PMID 20535463.
  14. ^ Stacy Goergen. "Iodine-containing contrast medium". InsideRadiology - The Royal Australian and New Zealand College of Radiologists. Retrieved 2019-02-22. Page last modified on 26/7/2017
  15. ^ Hrycyk J, Heverhagen JT, Böhm I (2019). "What you should know about prophylaxis and treatment of radiographic and magnetic resonance contrast medium extravasation". Acta Radiol. 60 (4): 496–500. doi:10.1177/0284185118782000. PMID 29896979. S2CID 48360725.