Dextrocardia

Dextrocardia
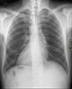
Chest X ray of a person with dextrocardia situs inversus showing the cardiac apex pointing towards right
SpecialtyMedical genetics Edit this on Wikidata

Dextrocardia (from Latin dextro 'right hand side' and Greek kardia 'heart') is a rare congenital condition in which the apex of the heart is located on the right side of the body, rather than the more typical placement towards the left.[1] There are two main types of dextrocardia: dextrocardia of embryonic arrest (also known as isolated dextrocardia)[2] and dextrocardia situs inversus. Dextrocardia situs inversus is further divided.

Classification

Dextrocardia of embryonic arrest

In this form of dextrocardia, the heart is simply placed further right in the thorax than is normal. It is commonly associated with severe defects of the heart and related abnormalities including pulmonary hypoplasia.[3]

Dextrocardia situs solitus

Dextrocardia refers to a heart positioned in the right side of the chest. Situs solitus describes viscera that are in the normal position, with the stomach on the left side.[4]

Dextrocardia situs inversus

Dextrocardia situs inversus refers to the heart being a mirror image situated on the right side. For all visceral organs to be mirrored, the correct term is dextrocardia situs inversus totalis.[5][6]

Although statistically people with dextrocardia do not have any medical problems from the disorder, they may be prone to a number of bowel, esophageal, bronchial and cardiovascular disorders (such as double outlet right ventricle, endocardial cushion defect and pulmonary stenosis).[7] Certain cardiovascular and pulmonary disorders related to dextrocardia can be life-threatening if left unchecked.[8][9]

Kartagener syndrome may also be present in patients with dextrocardia but this must be in the setting of situs inversus and may include male infertility.[10][11]

Dextrocardia with situs ambiguus

In contrast to dextrocardia situs inversus which is only rarely associated with congenital heart disease, dextrocardia situs ambiguus is often associated with intracardiac anomalies. Dextrocardia situs ambiguus presents a surgical challenge not per se due to associated cardiac malformation, but because achieving adequate exposure is difficult. Right sided structures such as right atrium, right ventricle and tricuspid valve are oriented posteriorly in dextrocardia situs ambiguus (in contrast to dextrocardia with situs inversus). This presents a challenge to the surgeons operating on the right-sided cardiac structures in a case of dextrocardia situs ambiguus.[12]

Diagnosis

Medical diagnosis of the two forms of congenital dextrocardia can be made by ECG[3] or imaging.

Technical dextrocardia

Technical dextrocardia refers to an ECG reading that has no basis in the patient's anatomy. This apparent presentation is typically caused by the accidental lead placement of the left and right arm electrodes. Usually, this would show as an extreme axis deviation.[13]

Management

ECG leads must be placed in reversed positions on a person with dextrocardia. In addition, when defibrillating someone with dextrocardia, the pads should be placed in reverse positions.[14] That is, instead of upper right and lower left, pads should be placed upper left and lower right.[15]

When heart transplantation is required in a person with situs inversus, reconstruction of the venous pathways to accommodate a normal donor heart is a major, but not insurmountable, challenge.[16]

Epidemiology

Dextrocardia is estimated to occur in approximately 1 in 12,019 pregnancies.[17]

A Japanese study of 1,753 fetal cardiac echocardiograms over five years revealed only two cases.[18]

References

  1. ^ Stephenson, Susan (2012). Diagnostic Medical Sonography Obstetrics and Gynecology. Baltimore, MD: Lippincott Williams & Wilkins. p. 582.
  2. ^ "Dextrocardia".
  3. ^ a b M.E. Abbott & J.C. Meakins (1915). "On the differentiation of two forms of congenital dextrocardia". Bulletin of the International Association of Medical Museums (5): 134–138.
  4. ^ Leung, A.K.; Robson, W.L. (2006). "Dextrocardia with sinus solitus". Canadian Medical Association Journal. 175 (3): 244. doi:10.1503/cmaj.060721. PMC 1513419. PMID 16880440.
  5. ^ "Dextrocardia with Situs Inversus".
  6. ^ Doshi, Ashish (5 May 2022). "Dextrocardia". Johns Hopkins Medicine. Johns Hopkins University. Retrieved 21 August 2022.
  7. ^ MedlinePlus Medical Dictionary. "Dextrocardia".
  8. ^ "Dextrocardia Information | Mount Sinai - New York". Mount Sinai Health System.
  9. ^ "Dextrocardia: Causes, symptoms, and treatment". www.medicalnewstoday.com. 11 August 2017.
  10. ^ Barthwal, M. S. (September 2006). "KARTAGENER'S SYNDROME IN A FERTILE MALE – AN UNCOMMON VARIANT". Lung India. 23 (3): 123. doi:10.4103/0970-2113.44404. ISSN 0970-2113.
  11. ^ Mishra, Mayank; Kumar, Naresh; Jaiswal, Ashish; Verma, Ajay K.; Kant, Surya (October 2012). "Kartagener's syndrome: A case series". Lung India. 29 (4): 366–369. doi:10.4103/0970-2113.102831. ISSN 0970-2113. PMC 3519024. PMID 23243352.
  12. ^ Mahajan, Sachin; Khanna, Sudhansoo; Kumar, Bhupesh; Halder, Vikram (2020). "Dextrocardia, situs solitus, inlet ventricular septal defect (VSD), and iatrogenic tricuspid regurgitation (TR) – A surgical perspective". Journal of Cardiac Surgery. 35 (6): 1383–1386. doi:10.1111/jocs.14587. ISSN 1540-8191. PMID 32349171. S2CID 217585359.
  13. ^ Winter, Jason Lee (July 2020). "Recognition of Anterior STEMI in Dextrocardia and the Importance of Right-Sided Chest Leads". JACC. Case Reports. 2 (8): 1222–1226. doi:10.1016/j.jaccas.2020.06.009. ISSN 2666-0849. PMC 8312012. PMID 34317454.
  14. ^ Bindra, S. MD; Tabibiazar, R. MD; Mazar, M MD & Dave, R MD (2011). "Clinical Vignette: Dextrocardia with Situs Inversus: Through the Looking Glass with an ECG". Proceedings of UCLA Healthcare. 15. Department of Medicine, UCLA. Archived from the original on 2014-06-06. Retrieved 2013-05-14.
  15. ^ Eddy, S. "Dextrocardia and Proper Lead Placement".
  16. ^ Deuse, Tobias; Reitz, Bruce A. (September 2009). "Heart-Lung Transplantation In Situs Inversus Totalis". The Annals of Thoracic Surgery. 88 (3): 1002–1003. doi:10.1016/j.athoracsur.2009.01.060. PMID 19699943.
  17. ^ Bohun CM, Potts JE, Casey BM, Sandor GG (July 2007). "A population-based study of cardiac malformations and outcomes associated with dextrocardia". Am. J. Cardiol. 100 (2): 305–309. doi:10.1016/j.amjcard.2007.02.095. PMID 17631088.
  18. ^ Sato, T.; et al. (2014). "Clinical Course and Prognosis of Minor Abnormal Sonographic Findings in Fetal Echocardiography: Five Years of Experience at a Single Institute". Pediatric Cardiology and Cardiac Surgery (in Japanese and English). 30 (5): 563–568. doi:10.9794/jspccs.30.563.