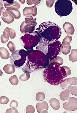
Faggot cell

A faggot cell (bottom left of the central cell cluster) with a prominent collection of Auer rods from a patient with acute promyelocytic leukemia.

Faggot cells are cells normally found in the hypergranular form of acute promyelocytic leukemia (FAB - M3). These promyelocytes (not blast cells) have numerous Auer rods in the cytoplasm which gives the appearance of a bundle of sticks, from which the cells are given their name.[1][2]

See also

References

  1. ^ Lichtman, Marshall A., Shafer, Jean A., Felgar, Raymond E., and Wang, Nancy. Lichtman's Atlas of Hematology.
  2. ^ Kenneth D. McClatchey (2002). Clinical laboratory medicine. Lippincott Williams & Wilkins. pp. 909–. ISBN 978-0-683-30751-1. Retrieved 6 December 2011.