Histiocytosis

Histiocytosis
SpecialtyHematology Edit this on Wikidata

In medicine, histiocytosis is an excessive number of histiocytes[1] (tissue macrophages), and the term is also often used to refer to a group of rare diseases which share this sign as a characteristic. Occasionally and confusingly, the term histiocytosis is sometimes used to refer to individual diseases.

According to the Histiocytosis Association, 1 in 200,000 children in the United States are born with histiocytosis each year.[2] HAA also states that most of the people diagnosed with histiocytosis are children under the age of 10, although the disease can afflict adults. The disease usually occurs from birth to age 15.[3]

Histiocytosis (and malignant histiocytosis) are both important in veterinary as well as human pathology.

Diagnosis

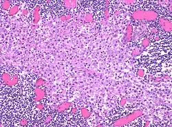
Sinus histiocytosis, a common feature in lymph node biopsies, is characterized by dilated sinuses containing variable numbers of histiocytes.[4]

Histiocytosis is a rare disease, thus its diagnosis may be challenging. A variety of tests may be used, including:[5]

  • Imaging
    • CT scans of various organs such as lung, heart and kidneys.
    • MRI of the brain, pituitary gland, heart, among other organs.
    • Skeletal survey is useful in children
    • Ultrasound of liver and spleen
  • Blood tests: measure cell counts and inflammation
  • Breathing tests
  • Tissue biopsy and molecular testing to detect mutations

Classification

There are competing systems for classifying histiocytoses. According to the 1999 classification proposed by the World Health Organization, they can be divided into three categories.[6][7] However, the classifications in ICD10 and MeSH are slightly different, as shown below:

Name WHO ICD10 MeSH
Langerhans cell histiocytosis (LCH) I D76.0 Langerhans-cell histiocytosis
Juvenile xanthogranuloma (JXG) II D76.3 non-Langerhans-cell histiocytosis
Hemophagocytic lymphohistiocytosis (HLH) II D76.1 non-Langerhans-cell histiocytosis
Niemann–Pick disease II E75.2 non-Langerhans-cell histiocytosis
Sea-blue histiocytosis II non-Langerhans-cell histiocytosis
Acute monocytic leukemia III C93.0 malignant histiocytic disorders
Malignant histiocytosis III C96.1 malignant histiocytic disorders
Erdheim–Chester disease II C96.1 malignant histiocytic disorders

Alternatively, histiocytoses may be divided into the following groups:[8]: 714–724 

Lymphohistiocytosis is a similar immune system disease characterized by the inappropriate activation of natural killer cells, CD8+ cytotoxic T-cells, and macrophages, involving principally the liver, spleen and central nervous system and associated with severe lymphoid atrophy.[9][10]

Treatments

Various treatments exist for histiocytosis. The one selected depends on the location of the disease and the patient history. The modalities used may include:[11]

Society

Patients and families can gain support and educational materials from the Histiocytosis Association.

The Histiocyte Society, a nonprofit organization, is a group of more than 200 physicians and scientists from around the world committed to improving the lives of patients with histiocytic disorders by conducting clinical and laboratory research into the causes and treatment of this disease. The Society has instituted several clinical trials and treatment plans.[12][13]

The North American Consortium for Histiocytosis (NACHO) is a group of institutions that collaborate on scientific and clinical research for histiocytic diseases. Established in 2014 by 12 institutions, it was funded through a consortium grant from the St. Baldrick's Foundation.[14]

References

  1. ^ "Histiocytosis". eMedicine Dictionary. Archived from the original on 2016-10-09.
  2. ^ Disease information at the Histiocytosis Association
  3. ^ "Histiocytosis – Signs and Symptoms". UCSF Children's Hospital. The Regents of the University of California. Archived from the original on 2007-09-28. Retrieved 2007-05-07.
  4. ^ Egan C, Jaffe ES (January 2018). "Non-neoplastic histiocytic and dendritic cell disorders in lymph nodes". Seminars in Diagnostic Pathology. 35 (1): 20–33. doi:10.1053/j.semdp.2017.11.002. PMC 5803315. PMID 29150219.
  5. ^ "Histiocytosis Diagnosis". Memorial Sloan Kettering Cancer Center. Retrieved 15 February 2022.
  6. ^ Harris NL, Jaffe ES, Diebold J, Flandrin G, Muller-Hermelink HK, Vardiman J, et al. (December 1999). "The World Health Organization classification of neoplastic diseases of the hematopoietic and lymphoid tissues. Report of the Clinical Advisory Committee meeting, Airlie House, Virginia, November, 1997". Annals of Oncology. 10 (12): 1419–1432. doi:10.1023/A:1008375931236. PMID 10643532.
  7. ^ Histiocytosis at eMedicine
  8. ^ James WD, Berger TG, Elston DM, Odom RB (2006). Andrews' Diseases of the Skin: clinical Dermatology (10th ed.). Saunders Elsevier. ISBN 978-0-7216-2921-6.
  9. ^ Konkol S, Rai M (May 2022). "Lymphohistiocytosis". StatPearls [Internet]. Treasure Island (FL): StatPearls Publishing. PMID 32491708. Retrieved 15 February 2022.
  10. ^ Goldberg J, Nezelof C (1986). "Lymphohistiocytosis: a multi-factorial syndrome of macrophagic activation clinico-pathological study of 38 cases". Hematological Oncology. 4 (4): 275–289. doi:10.1002/hon.2900040405. PMID 3557322. S2CID 30623642.
  11. ^ "Histiocytosis Treatment". Memorial Sloan Kettering Cancer Center. Retrieved 15 February 2022.
  12. ^ Tebbi CK (16 September 2020). Kanwar VS (ed.). "What is the Histiocyte Society classification of histiocytosis syndromes?". Medscape. Retrieved 4 December 2020.
  13. ^ Chang KL, Snyder DS (2007). "17. Langerhans Cell Histiocytosis". In Ansell SM (ed.). Rare Hematological Malignancies. Springer Science & Business Media. p. 383. ISBN 978-0-387-73743-0.
  14. ^ "Full Members". NACHO – North American Consortium for Histiocytosis. Retrieved 2023-09-27.