Hydropneumothorax

Hydropneumothorax
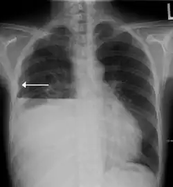
A hydropneumothorax with a white arrow pointing to the lung's pleura
SpecialtyEmergency medicine

Hydropneumothorax is defined as the presence of both air and fluid within the pleural space.[1] An upright chest x-ray will show air fluid levels. The horizontal fluid level is usually well defined and extends across the whole length of one of the hemithorax.

Signs and symptoms

This can be remembered by the 4 'S': straight line dullness, shifting dullness, splash, sound of coin.

Causes

  • Iatrogenic: Introduction of air during pleural fluid aspiration in effusion
  • Presence of a gas-forming organism
  • Thoracic trauma

Diagnosis

Diagnosis can be via CXR. CT is better for outlining borders of air-fluid levels, however, CT has a greater radiation exposure.

Ultrasound imaging has also proven to be a useful tool for hydropneumothorax diagnoses by looking for the absence of the characteristic "curtain sign" usually seen in ultrasound images at the base of healthy lungs.[2]

Treatment

Treatment includes intercostal drainage (ICD) of fluid and air and treatment of underlying conditions.

References

  1. ^ Clarke, Christopher; Dux, Anthony (2017). Chest X-rays for Medical Students. John Wiley & Sons. p. 82. ISBN 9781119426721. Retrieved 6 November 2017.
  2. ^ Targhetta, Rémi; Bourgeois, Jean-Marie; Chavagneux, Roseline; Marty-Double, Christiane; Balmes, Pierre (1992-04-01). "Ultrasonographic Approach to Diagnosing Hydropneumothorax". Chest. 101 (4): 931–934. doi:10.1378/chest.101.4.931. ISSN 0012-3692.