Mucinous neoplasm

Mucinous neoplasm
Other namesColloid neoplasm
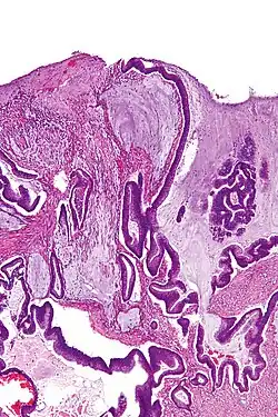
Micrograph of a mucinous adenocarcinoma of the colon. H&E stain.
SpecialtyOncology

A mucinous neoplasm (also called colloid neoplasm) is an abnormal and excessive growth of tissue (neoplasia) with associated mucin (a fluid that sometimes resembles thyroid colloid). It arises from epithelial cells that line certain internal organs and skin, and produce mucin (the main component of mucus). A malignant mucinous neoplasm is called a mucinous carcinoma. For example, for ovarian mucinous tumors, approximately 75% are benign, 10% are borderline and 15% are malignant.

Mucinous carcinoma

Over 40 percent of all mucinous carcinomas are colorectal.[1]

When found within the skin, mucinous carcinoma is commonly a round, elevated, reddish, and sometimes ulcerated mass, usually located on the head and neck.[2]: 669 

See also

Notes

  1. ^ Benesch, Matthew; Mathieson, Alexander (November 2020). "Epidemiology of Mucinous Adenocarcinomas". Cancers. 12 (11): E3193. doi:10.3390/cancers12113193. PMC 7692300. PMID 33143115.
  2. ^ James, William D.; Berger, Timothy G.; et al. (2006). Andrews' Diseases of the Skin: Clinical Dermatology. Saunders Elsevier. ISBN 0-7216-2921-0.
  3. ^ Carissa LaBoy, M.D., Kalliopi P. Siziopikou, M.D., Ph.D. "Breast - Other carcinoma subtypes, WHO classified - Mucinous". Pathology Outlines.{{cite web}}: CS1 maint: multiple names: authors list (link) Topic Completed: 23 February 2021. Minor changes: 23 February 2021

References