Neurocysticercosis
| Neurocysticercosis | |
|---|---|
![]() | |
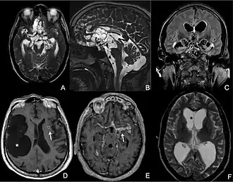
| Magnetic resonance image of a patient with neurocysticercosis demonstrating multiple cysticerci within the brain[1] | |
| Specialty | Infectious diseases |
Neurocysticercosis (NCC) is a parasitic infection of the nervous system caused by the larvae of the tapeworm Taenia solium, also known as the "pork tapeworm". The disease is primarily transmitted through direct contact with human feces, often through the consumption of food or water containing Taenia solium eggs. These eggs hatch in the small intestine and penetrate the intestinal wall. The larvae can travel to the brain, muscles, eyes, and skin. Neurocysticercosis, caused by Taenia solium larvae, differs from taeniasis, which results from adult tapeworm infection.
Neurocysticercosis manifests with various signs and symptoms, influenced by the location, number of lesions, and immune response. While some people may have no symptoms, others may experience seizures, increased pressure in the skull, cognitive impairment, or specific neurological problems. In severe cases, the condition can be life-threatening.
Diagnosis relies on imaging and blood tests. Neurocysticercosis can be prevented through improved sanitation, education, awareness, de-worming and vaccines for endemic areas. Treatment options depend on cyst viability, the host's immune response, and the location and number of lesions. Symptoms are treated with anti-seizure, antiedema, pain, or anti-inflammatory drugs. Surgery, steroids, or other medications are used to treat intracranial hypertension. Anti-parasitic medications are used for treating earlier stages of the disease. Steroids are used to manage inflammation in the central nervous system. Surgery can be used to remove cysts.
Neurocysticercosis is common in developing regions, such as Latin America, China, Nepal, Africa, India, and Southeast Asia. Although rare in Europe and the US, immigration has increased its prevalence. Taenia solium has been recognized since 1500 BC and found in ancient Egyptian mummies. The first recorded cases of neurocysticercosis were likely in 1558. In the 19th century, German pathologists found similarities between T. solium and cysticercus scolex and discovered that consumption of cysticercus in pork caused human intestinal taeniasis.
Signs and symptoms
Neurocysticercosis has a wide range of signs and symptoms, which relate to the location, number of lesions, and immune system's response to the infection.[2] Ranging from asymptomatic to deadly, neurocysticercosis has been referred to as the "great imitator" as it can mimic many other neurological disorders.[3] The most common symptoms are seizures, intracranial hypertension, cognitive impairment, and focal deficits.[4]
| Location | Form of the disease | Common clinical manifestations |
|---|---|---|
| Brain parenchyma | Vesicular cysts | Seizures; sometimes asymptomatic. |
| Colloidal cysts | Seizures; vomiting; headache; focal signs. | |
| Granulomas/calcifications | Seizures, sometimes reoccurring. | |
| Cysticercotic encephalitis | Seizures; coma; intracranial hypertension. | |
| Subarachnoid space | Giant cysts in CSF cisterns | Seizures; focal signs; intracranial hypertension; cognitive impairment. |
| Diffuse arachnoiditis (inflammation of the arachnoid) | Focal signs; intracranial hypertension. | |
| Hydrocephalus | Intracranial hypertension; cognitive impairment. | |
| Angiitis | Acute stroke syndromes. | |
| Ventricular system | Ventricular cysts | Focal signs; intracranial hypertension |
| Ependymitis (inflammation of the ependyma) | Seizures; intracranial hypertension | |
| Spinal cord | Arachnoiditis | Root pain; weakness; rarely meningitis |
| Parenchymal cysts | Motor and sensory signs below the level of the lesion | |
| Other | Suprasellar cysticercosis | Ophthalmologic and endocrinologic disturbances |
| Ophthalmic cysticercosis | Visual loss; extraocular muscle paralysis | |
| Muscle cysticercosis | Muscle pseudohypertrophy |
Seizures

Epilepsy is the most common symptom of neurocysticercosis; neurocysticercosis is the primary cause of late-onset seizures in countries with middle and low incomes.[7] Seizures are more common in parenchymal neurocysticercosis than in other forms of neurocysticercosis;[8] they can occur at any stage of the disease.[9] If neurocysticercosis is left untreated, seizures often persist and recur despite treatment.[10] Seizures are more commonly associated with degenerating cysts,[9] which are often accompanied by swelling, inflammation, nerve damage, and gliosis.[11][12] They are caused by inflammatory responses in the brain and the space-occupying effect of the cysts.[13][14] Multiple lesions increase the risk of seizures. Active cysts are associated with first-time seizures while calcified granulomas are associated with chronic epilepsy.[15]
Focal deficits
Those with neurocysticercosis can exhibit a variety of specific neurologic symptoms determined by the size, number, and location of the parasites. Pyramidal tract symptoms, such as weakness, Babinski's sign, spasticity, and overactive reflexes are the most common. Sensory impairments, parkinsonian rigidity, involuntary movements, language disturbances, and signs of brain-stem dysfunction can also occur. Focal neurologic symptoms are most commonly seen in those with large subarachnoid cysts compressing the brain parenchyma.[5] Inflammation in the arachnoid layer can cause focal signs, ischaemic strokes caused by intracranial artery blockage, cranial nerve compression, hearing loss, and facial nerve palsy or trigeminal neuralgia. There may also be focal neurological symptoms caused by brainstem damage. Cysticercosis of the spinal cord often causes radicular pain, weakness, and sensory impairments due to localized mass effects or inflammation in the subarachnoid space.[16]
Intracranial hypertension

Intracranial hypertension – a build-up of pressure around the brain – is associated with neurocysticercosis and may be accompanied by other symptoms.[5] More common in extraparenchymal neurocysticercosis,[9] it is most frequently caused by buildup of cerebrospinal fluid (CSF) in the brain.[5][16] Hydrocephalus can be related to granular ependymitis, compression of the CSF pathways by cysts, cysticercotic arachnoiditis, and inflammation or cysts blocking ventricles.[5][9] Large subarachnoid cysts and cyst clumps can also cause a mass effect and intracranial hypertension, with or without hydrocephalus.[18] Intracranial hypertension can present as episodic loss of consciousness when moving the head, known as Bruns syndrome; [5] it may be subacute or chronic.[16] Cysticercotic encephalitis, which is a severe type of neurocysticercosis usually affecting younger women and children, can also cause intracranial hypertension.[9] Cysticercotic encephalitis is characterized by seizures, intracranial hypertension, clouding of consciousness, optic disc swelling, headache, reduction of visual acuity, and vomiting.[19][20]
Cognitive and psychiatric disturbances
Cognitive and psychiatric manifestations of neurocysticercosis can range from mild deficits to severe dementia. Episodes of psychosis which involve paranoia, confusion, and violent behaviour have been reported to occur with neurocysticercosis. Some of these episodes could be associated with psychomotor epilepsy or post-seizure psychosis.[19][20] Other psychiatric symptoms of neurocysticercosis include anxiety, delirium, sensory changes, depression, and personality disorders. Those with neurocysticercosis may exhibit depression, cognitive impairments, or a decline in quality of life.[21]
Other symptoms
Spinal arachnoiditis can cause subacute root pain and weakness. Cysts in the spinal cord are typically associated with motor and sensory impairments that vary depending on the location of the lesion. Those with cysticerci in the sellar region may have vision and hormonal issues. In the eyes, cysticerci are usually found in the subretinal space, causing a gradual reduction in visual acuity or visual field abnormalities. The cysts can cause inflammation of the vitreous membrane, uveitis, and endophthalmitis, which is the most serious complication of ocular cysticercosis and can result in eye shrinkage. Cysticercal infection in striated muscles can cause weakening and englargment over time.[19]
Causes and mechanism
Taenia solium, otherwise known as “the pork tapeworm”, is a tapeworm in the Cestoda class and is a species of the genus Taenia.[22] Taenia solium is a unique tapeworm because it can infect humans in two ways: as a definitive host (where the adult worm lives in the intestines, known as taeniasis) and as an intermediate host (where the larvae develop in tissues, known as cysticercosis).[23][24]

The normal life cycle of Taenia solium involves humans as the definitive host and pigs as the intermediate host. The adult worm lives in the human small intestine and can grow up to 10 meters, though most reach 2–3 meters. Its head (scolex) is small (about 1 mm), round, and has 22–32 hooks arranged in two rows. Since pigs eat feces, the eggs remain in waste, increasing the chance of transmission.[25]
In geographical areas where Taenia solium is common, poor sanitation and free-roaming pigs make it easy for pigs to consume human feces or contaminated food scraps. Once a tapeworm egg enters a pig’s intestine, it hatches into a larva called an oncosphere. This larva penetrates the intestinal wall, enters the bloodstream, and travels through the body until it settles in a tissue site. There, it develops into a cysticercus—a fluid-filled sac containing an immature tapeworm head (protoscolex). When a human eats undercooked infected pork, the protoscolex attaches to the intestine and matures into an adult worm.[26]
The life cycle of Taenia solium is completed when humans eat raw or undercooked pork containing mature cysticerci. However, humans more commonly become infected by ingesting tapeworm eggs through contaminated food or water.[26] When Taenia solium larvae is ingested, the larvae hatches in the insetines and the oncospheres penetrate the intestinal mucosa before migrating to other parts of the body such as the CNS where they develop into vesicular (viable) cysticerci.[27] Since Taenia solium proglottids are not motile and may break apart before being passed, infected feces can contain a high concentration of eggs. Contact with such feces can lead to infection with multiple cysticerci. These cysts take about three months to mature, and their effects depend on their number and location in the body.[26]
As the immune system responds to cysticerci in the brain, cysticerci go through three different stages; first becoming inflamed (colloidal stage), then breaking down (granular stage), and finally turning into hardened nodules (calcified stage). Some cysticerci remain in the viable stage for years. During the colloidal stage, the inflammation can cause damage to the brain tissue, swelling, scarring, and damage to nerve cells. In the later granular and calcified stages, swelling decreases, however scarring and clusters of immune cells in the brain (brain granulomas) may remain.[28]
Diagnosis
Diagnosing neurocysticercosis can be challenging, especially in resource-limited areas, as available methods are often unreliable or inaccessible.[29] Physical examination and laboratory testing are often not helpful in diagnosing neurocysticercosis.[30] Diagnosis mainly relies on neuroimaging and blood tests.[31] Diagnostic criteria were created by Del Brutto et al to help with the diagnostic process.[32] When diagnosing neurocysticercosis, physicians may ask the affected individual about a potential history of exposure, such as contact with others who are infected with Taenia solium, or time spent in an area where Taenia solium is endemic.[33]
Immunodiagnosis
The lentil lectin purified glycoprotein (LLGP) enzyme-linked immunoelectrotransfer blot (EITB) assay, is the most reliable test for detecting T. solium antibodies in the blood. This method uses specific proteins to identify the presence of these antibodies.[34] Antibodies can be identified in EITB as early as five weeks after infection. The LLGP-EITB has a sensitivity of 98% for individuals with multiple brain cysts and a specificity of 100%. However, its sensitivity is lower in cases with just one cyst.[30] The ELISA test for detecting anticysticercal antibodies in cerebrospinal fluid (CSF) is 89% sensitive and 93% specific for active neurocysticercosis infections. It is often used as an alternative when the EITB test is unavailable.[35]

As many as 37% of those with neurocysticercosis have high eosinophils, making it the most common blood abnormality in neurocysticercosis. The number of people with positive stool tests for Taenia solium eggs in neurocysticercosis varies and seems to depend on how severe the infection is. Recognizing Taenia eggs is difficult, and many cases may go undetected during testing.[19]
Neuroimaging
CT scans and magnetic resonance imaging (MRI) give objective information about the number and pattern of lesions, the stage of healing, and how the immune system is responding to the parasites.[19] MRIs are better for evaluating different spatial planes and provides clearer images, which helps in identifying small lesions at the back of the brain or near the skull that may be missed on CT scans. CT scans are more sensitive at detecting calcium buildup in the brain due to its ability detect calcifications in the brain.[30]
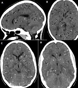
Live vesicular cysts are small, round lesions with little swelling around them and do not need contrast for imaging. The tapeworm head (scolex) usually appears as an asymmetric nodule inside the cysts. Multiple live cysts with these heads corroborate the diagnosis. Once the cysts begin to break down (colloid cysts), their borders become unclear, they are surrounded by swelling and exhibit significant ring or nodular contrast enhancement. Calcified cysticerci are shown on CT scans as non-enhancing hyperdense nodules without swelling.[20]
Diagnostic criteria

Neurocysticercosis diagnostic criteria:[38]
- Absolute criteria:
- Confirmation of the parasite through tissue analysis from a biopsy of a brain or spinal cord lesion.
- Visualization of cysticercus under the retina.
- Clear evidence of a scolex (head of the tapeworm) within a cystic lesion[a] on neuroimaging studies.
- Neuroimaging criteria:
- Major neuroimaging criteria:
- Confirmative neuroimaging criteria:
- Minor neuroimaging criteria:
- Obstructive hydrocephalus (symmetric or asymmetric) or abnormal enhancement of basal leptomeninges.
- Clinical/exposure criteria:
- Major clinical/exposure:
- Minor clinical/exposure:
Classification
Neurocysticercosis can be classified into two main types: parenchymal, which affects the brain tissue, and extraparenchymal, which occurs outside the brain tissue.[40]
- Parenchymal neurocysticercosis: neurocysticercosis lesions within brain parenchyma.[40]
- Extraparenchymal neurocysticercosis: lesions in ventricles or subarachnoid spaces.[40]
- Other locations
Prevention
Neurocysticercosis is preventable.[44] Some factors that make T. solium potentially eradicable are humans being the only definitive host, the intermediate host being an animal whose exposure to ova can be controlled, well-developed diagnostic testing allowing infected individuals to be identified, effective treatments available, and the availability of pig vaccines.[45]
Neurocysticercosis is more prevalent in areas where the transmission of T. solium is more likely, such as areas with improper disposal of waste, lower levels of education, improper slaughter of pigs, and free-roaming pigs.[46] Unsanitary conditions and domestic pigs are required for T. solium to be transmitted. Urbanization and development reduce these factors, therefore transmission goes down. Because neurocysticercosis takes years to develop, intervention programs can take decades.[47]
To prevent neurocysticercosis, interventions such as increasing education, improving sanitary conditions, and strict animal husbandry and meat inspection procedures are needed. Medical prevention includes de-worming people with medications such as niclosamide or praziquantel, and vaccinating and treating pigs with oxfendazole.[44][48] Raised awareness of neurocysticercosis in non-endemic countries where rates are increasing is also important. The TSOL18 vaccine, which is made up of a recombinant protein from a T. solium oncosphere is a promising solution for the prevention and control of neurocysticercosis.[49] Increasing public health surveillance, such as obligatory notification of neurocysticercosis cases, could also be beneficial. Properly identifying neurocysticercosis is needed to target interventions.[50]
Praziquantel was used for de-worming in Ecuador in 1985, and eventually in other countries. In Honduras, transmission and morbidity decreased after health education and control programs. A program involving human and porcine mass chemotherapy, pig vaccines, and stool coproantigen case confirmation eliminated transmission in 105 out of 107 villages.[51]
Treatment
A single treatment method is not appropriate for every person with neurocysticercosis. The disease has to be characterized in terms of cyst viability, the degree of the host's immunological response to the parasite, and the location and number of lesions to provide proper treatment.[52][53] Symptomatic and antiparasitic medications are typically used in conjunction for treatment. Surgery can also be used to remove cysts.[53]

Neurocysticercosis is a persistent infection and symptoms appear months or years later. As a result, removing the parasite is not an emergency, and the first step in treating those with neurocysticercosis is often aimed at minimizing the symptoms. This may be done with the use of antiepileptic, antiedema, analgesic, or anti-inflammatory drugs.[55] Carbamazepine is commonly used to control seizures.[47][56] Antiepileptic medications may be used till after a year without seizures.[57] Surgery, acetazolamide, steroids, or mannitol may be used to help manage intracranial hypertension.[55][58]
Steroid administration is an important step in the modulation of neurocysticercosis-related inflammation in the central nervous system, since it controls the acute inflammatory response that occurs following the destruction of live cysts.[59] Prednisolone and dexamethasone are frequently used as adjuncts to antiparasitic therapy.[48][60]
The two most commonly used antiparasitic medications are albendazole, an imidazole that inhibits glucose absorption and metabolism in the parasite, and praziquantel,[61] an isoquinoline which triggers parasite paralysis by altering calcium pathways and homeostasis.[52] Taking days to months to work,[62][47] antiparasitic drugs are only appropriate for the treatment of vesicular viable cysts or cysts in the early colloidal phases of development, and are ineffective against calcified cysts.[52][63] Antiparasitic drugs cannot be given when there is a preexisting risk of developing hydrocephalus, such as with sub-arachnoid neurocysticercosis or encephalitic neurocysticercosis; in these cases, the inflammation that occurs after treatment may pose a significant risk of rapidly raising intracranial pressure and death.[64]
Antiparasitic medication may be ineffective in cases of severe infection due to the hazards associated with mass inflammation, but these forms of neurocysticercosis carry a high risk of consequences if left untreated. In some circumstances, a more aggressive treatment plan, including surgery, may be required.[50] Surgical treatments include ventricle-peritoneal shunts and excision of cysts.[47][65]
Outlook
The prognosis for neurocysticercosis depends on the number and location of the cysts. Single enhancing lesion neurocysticercosis typically has a good prognosis, with lesions resolving within 6 months in over 60% of cases. Multiple or calcified lesions increase the risk of seizure relapses.[44] Although psychiatric and cognitive changes are common with neurocysticercosis, they are usually not severe enough to affect day-to-day behaviour.[66]
Parenchymal neurocysticercosis has a good prognosis if symptomatic treatment is provided.[67] Parenchymal neurocysticercosis prognosis is mediated by the number of lesions and the severity of the inflammation.[16] Over half of those with calcified parenchymal neurocysticercosis have relapses in seizures and need antiseizure medications long-term.[66]
Extraparenchymal neurocysticercosis does not respond to antiparasitic treatment as well as parenchymal neurocysticercosis, meaning that multiple types or courses of treatment are sometimes needed. Complications from treatment such as shunt blockage or vasculitis are also more prevalent with extraparenchymal neurocysticercosis.[66] Extraparenchymal neurocysticercosis can lead to obstructive hydrocephalus and death.[28]
Epidemiology

Neurocysticercosis is endemic in most developing countries, except predominantly Muslim countries.[69][70][71] It is endemic in Latin America, China, Nepal, Africa, India, and Southeast Asia.[72] It is more common in poorer countries with improper sanitation and a lack of clean water.[23][73] Taenia solium is considered rare in developed countries and is usually a result of people contracting Taenia solium while travelling or immigration. Reports of neurocysticercosis are growing from several wealthy nations, including the USA and the UK, as a result of increased globalization and worldwide travel.[70][74] Most cases of neurocysticercosis in the US have been reported in the southwestern states. Around 90% of neurocysticercosis diagnoses in the US were immigrants from Mexico or South America.[75]
Studies conducted in endemic countries have shown that neurocysticercosis is a common cause of increased rates of epilepsy.[75] In endemic regions, CNS infection is extremely common; in many of these groups, the frequency of certain serum antibodies is more than 10%, and residual intraparenchymal brain calcifications on CT scans are seen in 10–20% of the general population.[70] Neurocysticercosis is estimated to affect 29% of those with epilepsy.[70] About 15% of the pig farming community in India has asymptomatic neurocysticercosis.[70] According to a North Indian study, the prevalence of neurocysticercosis in rural India was 4.5 per 1000.[70] Twenty-five percent of individuals with active epilepsy had antibodies against T. solium, based on another study from North India.[70] In an Indian hospital series, neurocysticercosis was responsible for more than half of the instances of children with partial seizures.[70]
History, society, and culture
Descriptions of Taenia solium tapeworms date back to 1500 BC.[76] Taenia solium cysticerci have even been found in ancient Egyptian mummies.[69] The first recorded cases of neurocysticercosis were most likely described by German physician John Wolfgang Rumler in 1558.[76][77] Hipólito Unanue, a Peruvian physician and journalist, is believed to have first recorded simultaneous taeniasis and cysticercosis in the same individual in 1792: he reported a case involving a soldier with taeniasis who died following a violent seizure.[76][69][78] During the 19th century, German pathologists noticed the morphological parallels between the adult T. solium head and the cysticercus scolex. Friedrich Küchenmeister showed that the consumption of cysticercus from pork caused human intestinal taeniasis by feeding a prisoner food that included cysticerci gathered from a recently killed pig.[69][76] In the second part of the 19th century, research showed that feeding Taenia eggs from infected humans to pigs caused cysticercosis.[69][78]
Neurocysticercosis was featured in the pilot episode of the TV series House M.D. The episode followed a young woman who contracted neurocysticercosis after eating contaminated ham.[79] Despite the contaminated ham playing an important role in the diagnosis,[79] cysticercosis is not caused by eating infected pork.[80]
See also
Notes
- ^ Round, well-defined lesions filled with fluid that looks similar to cerebrospinal fluid on CT or MRI scans.[39]
- ^ One or more ring-shaped or nodular lesions, 10–20mm in size, with or without swelling, without displacing midline structures.[39]
- ^ One or more solid lesions, usually smaller than 10mm.[39]
- ^ The administration of corticosteroids renders this criterion invalid.[39]
- ^ Follow-up CT or MRI scans show that the locations of the cystic lesions in the ventricles change over time.[39]
- ^ Antibody identification by enzyme-linked immunoelectrotransfer blot test employing lentil lectin-purified T. solium antigens, and cysticercal antigen detection by monoclonal antibody-based ELISA.[39]
- ^ Cysticerci can be identified through a biopsy of subcutaneous lumps, X-ray films or CT scans that reveal cigar-shaped calcifications in soft tissues, or detection of the parasite in the anterior chamber of the eye.[39]
- ^ Mostly seizures (typically beginning in persons aged 20–49 years; the diagnosis of seizures in this setting is not disregarded if patients are outside of the normal age range), but other signs include chronic headaches, focal neurologic impairments, intracranial hypertension, and cognitive deterioration.[39]
- ^ A location where active transmission is recorded.[39]
References
Citations
- ^ Evans et al. 1997, p. 403.
- ^ Adhikari & Ojha 2024, p. 30.
- ^ Garcia, Nash & Del Brutto 2014, p. 1204.
- ^ Narayan, Sinha & Singh 2024, p. 950.
- ^ a b c d e f Del Brutto 2014, p. 1449.
- ^ Herrick et al. 2020, p. 640.
- ^ Gale & Hedges 2024, p. 265.
- ^ Del Brutto 2014, p. 1448.
- ^ a b c d e Garcia 2018, p. 856.
- ^ a b Steyn et al. 2023, p. 106.
- ^ Steyn et al. 2023, p. 107.
- ^ a b c Bustos et al. 2021, p. 5.
- ^ Carpio et al. 2021, p. 124.
- ^ Rodríguez‐Leyva et al. 2023, pp. 97–98.
- ^ Rodríguez‐Leyva et al. 2023, p. 98.
- ^ a b c d Garcia, Nash & Del Brutto 2014, p. 1205.
- ^ Kelesidis & Tsiodras 2011, p. 2.
- ^ Garcia, Nash & Del Brutto 2014, pp. 1205–1206.
- ^ a b c d e Del Brutto 2014, p. 1450.
- ^ a b c Garcia, Nash & Del Brutto 2014, p. 1206.
- ^ El-Kady et al. 2021, p. 1604.
- ^ Dixon et al. 2021, p. 135.
- ^ a b Gripper & Welburn 2017, p. 219.
- ^ Gunn & Pitt 2022, p. 212.
- ^ Gunn & Pitt 2022, pp. 212–213.
- ^ a b c Gunn & Pitt 2022, p. 215.
- ^ Dixon et al. 2021, p. 155.
- ^ a b Dixon et al. 2021, p. 156.
- ^ Van Acker et al. 2024, p. 3.
- ^ a b c Guzman & Garcia 2021, p. 198.
- ^ Adhikari & Ojha 2024, p. 31.
- ^ Pineda-Reyes & White 2022, p. 247.
- ^ Saad, Tariq & White 2025, p. 308.
- ^ Gripper & Welburn 2017, p. 221.
- ^ Garcia, Nash & Del Brutto 2014, p. 1207.
- ^ Bazan et al. 2016, p. 7.
- ^ Kavanaugh, Fox & Maves 2014, p. 5.
- ^ Adhikari & Ojha 2024, p. 32.
- ^ a b c d e f g h i Del Brutto et al. 2017, p. 204.
- ^ a b c Bustos et al. 2021, p. 1.
- ^ a b c Bustos et al. 2021, p. 2.
- ^ Bustos et al. 2021, p. 3.
- ^ Bustos et al. 2021, p. 4.
- ^ a b c Singhi & Suthar 2015, p. 170.
- ^ Garcia, Nash & Del Brutto 2014, p. 1211.
- ^ Del Brutto 2014, p. 1456.
- ^ a b c d Bustos et al. 2021, p. 9.
- ^ a b Saad, Tariq & White 2025, p. 312.
- ^ Gupta et al. 2025, p. 67.
- ^ a b Gripper & Welburn 2017, p. 223.
- ^ Bustos et al. 2021, p. 9-10.
- ^ a b c Gripper & Welburn 2017, p. 222.
- ^ a b Bhatt, Joshi & Prajapati 2024, p. 344.
- ^ Segamwenge & Kioko 2014, p. 212.
- ^ a b Garcia 2018, p. 859.
- ^ World Health Organization 2021, p. 22.
- ^ Singhi & Suthar 2015, p. 169.
- ^ Gupta et al. 2025, p. 66.
- ^ Bhatt, Joshi & Prajapati 2024, p. 345.
- ^ World Health Organization 2021, p. 12.
- ^ White et al. 2018, p. e51.
- ^ Del Brutto 2014, pp. 1455.
- ^ Saad, Tariq & White 2025, p. 311.
- ^ White et al. 2018, pp. e61–e63.
- ^ White et al. 2018, p. e53.
- ^ a b c Bustos et al. 2021, pp. 8–9.
- ^ Bhatt, Joshi & Prajapati 2024, p. 343.
- ^ Wandra et al. 2015, p. 3.
- ^ a b c d e Del Brutto 2014, p. 1445.
- ^ a b c d e f g h Singhi & Suthar 2015, p. 166.
- ^ Ito et al. 2022, p. 5.
- ^ El-Kady et al. 2021, p. 1600.
- ^ Gupta et al. 2025, p. 53.
- ^ Gupta et al. 2025, p. 59.
- ^ a b Del Brutto 2014, pp. 1445–1446.
- ^ a b c d Del Brutto & García 2015, p. 393.
- ^ Del Brutto & García 2014, p. 3.
- ^ a b Del Brutto & García 2014, p. 4.
- ^ a b García & Del Brutto 2020, p. e0008208.
- ^ Garcia 2018, p. 852.
Sources
- Adhikari A, Ojha R (2024). "Neurocysticercosis". Case-based Approach to Common Neurological Disorders. Singapore: Springer Nature Singapore. doi:10.1007/978-981-99-8676-7_5. ISBN 978-981-99-8675-0.
- Bazan R, Hamamoto Filho PT, Luvizutto GJ, Nunes HR, Odashima NS, dos Santos AC, et al. (November 9, 2016). "Clinical Symptoms, Imaging Features and Cyst Distribution in the Cerebrospinal Fluid Compartments in Patients with Extraparenchymal Neurocysticercosis". PLOS Neglected Tropical Diseases. 10 (11). Public Library of Science (PLoS): e0005115. doi:10.1371/journal.pntd.0005115. ISSN 1935-2735. PMC 5102378. PMID 27828966.
This article incorporates text from this source, which is by Rodrigo Bazan, Pedro Tadao Hamamoto Filho, Gustavo José Luvizutto, Hélio Rubens de Carvalho Nunes, Newton Satoru Odashima, Antônio Carlos dos Santos, Jorge Elias Júnior, Marco Antônio Zanini, Agnès Fleury, and Osvaldo Massaiti Takayanagui available under the CC BY 4.0 license. - Bhatt SP, Joshi AN, Prajapati BG (March 11, 2024). "Recent Trends in Neurocysticerosis Diagnosis and Management". Rising Contagious Diseases. Wiley. doi:10.1002/9781394188741.ch24. ISBN 978-1-394-18871-0.
- Bustos J, Gonzales I, Saavedra H, Handali S, Garcia H (August 2021). "Neurocysticercosis. A frequent cause of seizures, epilepsy, and other neurological morbidity in most of the world". Journal of the Neurological Sciences. 427. Elsevier: 1-12. doi:10.1016/j.jns.2021.117527. ISSN 0022-510X. PMC 8800347. PMID 34147957.
- Carpio A, Romo ML, Hauser WA, Kelvin EA (August 2021). "New understanding about the relationship among neurocysticercosis, seizures, and epilepsy". Seizure. 90. Elsevier: 123–129. doi:10.1016/j.seizure.2021.02.019. ISSN 1059-1311. PMID 33632613.
- Del Brutto OH (2014). "Neurocysticercosis". Handbook of Clinical Neurology. Vol. 121. Elsevier. pp. 1445–1459. doi:10.1016/b978-0-7020-4088-7.00097-3. ISBN 978-0-7020-4088-7. PMID 24365429.
- Del Brutto OH, García HH (July 2014). "History of Taeniasis and Cysticercosis". Cysticercosis of the Human Nervous System. Berlin, Heidelberg: Springer Berlin Heidelberg. doi:10.1007/978-3-642-39022-7_1. ISBN 978-3-642-39021-0.
- Del Brutto OH, García HH (December 2015). "Taenia solium Cysticercosis — The lessons of history". Journal of the Neurological Sciences. 359 (1–2). Elsevier: 392–395. doi:10.1016/j.jns.2015.08.011. ISSN 0022-510X. PMID 26320098.
- Del Brutto O, Nash T, White A, Rajshekhar V, Wilkins P, Singh G, et al. (January 2017). "Revised diagnostic criteria for neurocysticercosis". Journal of the Neurological Sciences. 372. Elsevier: 202–210. doi:10.1016/j.jns.2016.11.045. ISSN 0022-510X. PMID 28017213.
- Dixon MA, Winskill P, Harrison WE, Basáñez MG (2021). "Taenia solium taeniasis/cysticercosis: From parasite biology and immunology to diagnosis and control". Advances in Parasitology. Vol. 112. Elsevier. pp. 133–217. doi:10.1016/bs.apar.2021.03.003. hdl:10044/1/89141. ISBN 978-0-323-90083-6. PMID 34024358.
- El-Kady AM, Allemailem KS, Almatroudi A, Abler B, Elsayed M (May 2021). "Psychiatric Disorders of Neurocysticercosis: Narrative Review". Neuropsychiatric Disease and Treatment. 17. Informa UK Limited: 1599–1610. doi:10.2147/NDT.S306585. ISSN 1178-2021. PMC 8164720. PMID 34079258.
- Evans C, Garcia HH, Gilman RH, Friedland JS (September 1997). "Controversies in the Management of Cysticercosis". Emerging Infectious Diseases. 3 (3). Centers for Disease Control and Prevention (CDC): 403–405. doi:10.3201/eid0303.970324. ISSN 1080-6040. PMC 2627648. PMID 9284392.
This article incorporates text from this source, which is in the public domain. - Gale SD, Hedges DW (October 10, 2024). "Effects of Neurocysticercosis on Cognitive and Neuropsychiatric Function". Infectious Diseases in Neurocognitive and Neuropsychiatric Medicine. Oxford University PressOxford. doi:10.1093/oso/9780192870414.003.0018. ISBN 978-0-19-287041-4.
- Garcia HH (November 2018). "Neurocysticercosis". Neurologic Clinics. 36 (4). Elsevier: 851–864. doi:10.1016/j.ncl.2018.07.003. ISSN 0733-8619. PMID 30366559.
- García HH, Del Brutto OH (June 18, 2020). "Fake news in neglected tropical diseases: The case of neurocysticercosis". PLOS Neglected Tropical Diseases. 14 (6). Public Library of Science: e0008208. doi:10.1371/journal.pntd.0008208. ISSN 1935-2735. PMC 7302432. PMID 32555728.
- Garcia HH, Nash TE, Del Brutto OH (December 2014). "Clinical symptoms, diagnosis, and treatment of neurocysticercosis". The Lancet Neurology. 13 (12). Elsevier: 1202–1215. doi:10.1016/S1474-4422(14)70094-8. ISSN 1474-4422. PMC 6108081. PMID 25453460.
- Gripper LB, Welburn SC (February 2017). "Neurocysticercosis infection and disease–A review". Acta Tropica. 166. Elsevier: 218–224. doi:10.1016/j.actatropica.2016.11.015. hdl:20.500.11820/f07342ee-ed74-4ec0-bf82-cd7c2e19e835. ISSN 0001-706X. PMID 27880878.
- Gunn A, Pitt SJ (June 14, 2022). "5.3 Class Cestoda". Parasitology. John Wiley & Sons. ISBN 978-1-119-64122-3.
- Gupta S, De AK, Perumal P, Sujatha T, Gupta S, Bhattacharya D (2025). "Cysticercosis: Matter of concern". Neglected Zoonoses and Antimicrobial Resistance. Elsevier. doi:10.1016/b978-0-443-16062-2.00004-6. ISBN 978-0-443-16062-2.
- Guzman C, Garcia HH (August 2021). "Current Diagnostic Criteria for Neurocysticercosis". Research and Reports in Tropical Medicine. 12. Informa UK Limited: 197–203. doi:10.2147/RRTM.S285393. ISSN 1179-7282. PMC 8364393. PMID 34408532.
- Herrick JA, Bustos JA, Clapham P, Garcia HH, Loeb JA, for the Cysticercosis Working Group in Peru (August 5, 2020). "Unique Characteristics of Epilepsy Development in Neurocysticercosis". The American Journal of Tropical Medicine and Hygiene. 103 (2). American Society of Tropical Medicine and Hygiene: 639–645. doi:10.4269/ajtmh.19-0485. ISSN 0002-9637. PMC 7410468. PMID 32431269.
This article incorporates text from this source, which is by Jesica A Herrick, Javier A Bustos, Philip Clapham, Hector H Garcia, and Jeffrey A Loeb available under the CC BY 4.0 license. - Ito A, Yoshida T, Wandra T, Sudewi AR, Susilawathi NM, Swastika K, et al. (2022). "Implementation of Taenia solium control measures in Bali, Indonesia: Survey findings and a historical overview". Acta Tropica. 227: 106297. doi:10.1016/j.actatropica.2021.106297. PMID 34968452.
- Kavanaugh MJ, Fox WC, Maves RC (July 2, 2014). "Intraoperative Finding of Neurocysticercosis in a Patient with a Fourth Ventricular Mass". The American Society of Tropical Medicine and Hygiene. 91 (1). American Society of Tropical Medicine and Hygiene: 5–6. doi:10.4269/ajtmh.13-0441. ISSN 0002-9637. PMC 4080567. PMID 24990960.
This article incorporates text from this source, which is by Michael J Kavanaugh, W Christopher Fox, and Ryan C Maves available under the CC BY 4.0 license. - Kelesidis T, Tsiodras S (December 2011). "Extraparenchymal neurocysticercosis in the United States: a case report". Journal of Medical Case Reports. 5 (1). Springer: 359. doi:10.1186/1752-1947-5-359. ISSN 1752-1947. PMC 3170347. PMID 21827687.
This article incorporates text from this source, which is by Theodoros Kelesidis and Sotirios Tsiodras available under the CC BY 2.0 license. - Narayan KG, Sinha DK, Singh DK (2024). "Taeniasis–Cysticercosis". Handbook of Management of Zoonoses. Singapore: Springer Nature Singapore. doi:10.1007/978-981-99-9885-2_96. ISBN 978-981-99-9884-5.
- Pineda-Reyes R, White AC (2022). "Neurocysticercosis: an update on diagnosis, treatment, and prevention". Current Opinion in Infectious Diseases. 35 (3): 246–254. doi:10.1097/QCO.0000000000000831. ISSN 0951-7375.
- Rodríguez-Leyva I, Cantú-Flores K, Domínguez-Frausto A, Vaudano AE, Archer J, Bernhardt B, et al. (February 2023). "Neurocysticercosis and epilepsy: Imaging and clinical characteristics". Epileptic Disorders. 25 (1). Wiley: 94–103. doi:10.1002/epd2.20060. hdl:11380/1303106. ISSN 1294-9361. PMID 37039375.
- Saad B, Tariq S, White AC (2025). "Neurocysticercosis". Neurobiology of Infectious Diseases. Elsevier. doi:10.1016/b978-0-443-19130-5.00018-6. ISBN 978-0-443-19130-5.
- Segamwenge IL, Kioko NP (2014). "Difficult to control epilepsy in Young Female: a common problem in a low resource setting". Pan African Medical Journal. 18: 212. doi:10.11604/pamj.2014.18.212.4818. ISSN 1937-8688. PMC 4237600. PMID 25419338.
This article incorporates text from this source, which is by Innocent Lule Segamwenge and Ngalyuka Paul Kioko available under the CC BY 4.0 license. - Singhi P, Suthar R (February 2015). "Neurocysticercosis". The Indian Journal of Pediatrics. 82 (2). Springer: 166–171. doi:10.1007/s12098-014-1576-3. ISSN 0019-5456. PMID 25297641.
- Steyn TJ, Awala AN, de Lange A, Raimondo JV (March 2023). "What Causes Seizures in Neurocysticercosis?". Epilepsy Currents. 23 (2). Sage Publishing: 105–112. doi:10.1177/15357597221137418. ISSN 1535-7597. PMC 10131564. PMID 37122403.
- Van Acker L, Toribio L, Chachage M, Zeng H, Devleesschauwer B, Garcia HH, et al. (November 11, 2024). "Accuracy of immunological tests on serum and urine for diagnosis of Taenia solium neurocysticercosis: A systematic review". PLOS Neglected Tropical Diseases. 18 (11): e0012643. doi:10.1371/journal.pntd.0012643. ISSN 1935-2735. PMC 11581404. PMID 39527651.
- Wandra T, Swastika K, Dharmawan NS, Purba IE, Sudarmaja IM, Yoshida T, et al. (December 2015). "The present situation and towards the prevention and control of neurocysticercosis on the tropical island, Bali, Indonesia". Parasites & Vectors. 8 (1). Springer: 148. doi:10.1186/s13071-015-0755-z. ISSN 1756-3305. PMC 4356148. PMID 25881045.
This article incorporates text from this source, which is by Toni Wandra, Kadek Swastika, Nyoman S Dharmawan, Ivan Elisabeth Purba, I Made Sudarmaja, Takahiko Yoshida, Yasuhito Sako, Munehiro Okamoto, Ni Luh Putu Eka Diarthini, Dewa Ayu Agus Sri Laksemi, Tetsuya Yanagida, Minoru Nakao, and Akira Ito available under the CC BY 4.0 license. - White AC, Coyle CM, Rajshekhar V, Singh G, Hauser WA, Mohanty A, et al. (April 3, 2018). "Diagnosis and Treatment of Neurocysticercosis: 2017 Clinical Practice Guidelines by the Infectious Diseases Society of America (IDSA) and the American Society of Tropical Medicine and Hygiene (ASTMH)". Clinical Infectious Diseases. 66 (8). Oxford University Press: e49 – e75. doi:10.1093/cid/cix1084. ISSN 1058-4838. PMC 6248812. PMID 29481580. Retrieved September 25, 2024.
- WHO guidelines on management of Taenia solium neurocysticercosis (Report). World Health Organization. September 3, 2021. hdl:10665/344802. ISBN 978-92-4-003223-1. Retrieved September 25, 2024.
Further reading
- Arroyo G, Bustos JA, Lescano AG, Gonzales I, Saavedra H, Pretell EJ, et al. (February 16, 2022). "Improved Diagnosis of Viable Parenchymal Neurocysticercosis by Combining Antibody Banding Patterns on Enzyme-Linked Immunoelectrotransfer Blot (EITB) with Antigen Enzyme-Linked Immunosorbent Assay (ELISA)". Journal of Clinical Microbiology. 60 (2). American Society for Microbiology: e0155021. doi:10.1128/jcm.01550-21. ISSN 0095-1137. PMC 8849202. PMID 34851685.
- Wang Z, Garcia RM, Huff HV, Niquen-Jimenez M, Marcos LA, Lam SK (December 20, 2021). "Neurocysticercosis control for primary epilepsy prevention: a systematic review". Pathogens and Global Health. 116 (5). Informa UK Limited: 282–296. doi:10.1080/20477724.2021.2015869. ISSN 2047-7724. PMC 9248947. PMID 34928183.
External links
- "Neurocysticercosis". World Health Organization (WHO). February 22, 2018.
- "Neurocysticercosis" (PDF). U.S. Centers for Disease Control and Prevention (CDC).
