Ovarian fibroma
| Ovarian fibroma | |
|---|---|
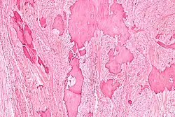
![]() | |
| Low magnification micrograph of a calcified ovarian fibroma in the context of nevoid basal cell carcinoma syndrome. H&E stain. | |
| Specialty | Gynecology |

The ovarian fibroma, also fibroma, is a benign sex cord-stromal tumour.
Ovarian fibromas represent 4% of all ovarian neoplasms.[1] They tend to occur mostly during perimenopause and postmenopause, the median age having been reported to be about 52 years, and they are rare in children.[1] Lesions tend to be asymptomatic. If symptoms are present, the most common one is abdominal pain.[1]
On gross pathology, they are firm and white or tan. On microscopic examination, there are intersecting bundles of spindle cells producing collagen.
There may be thecomatous areas (fibrothecoma). The presence of an ovarian fibroma can cause ovarian torsion in some cases.
Diagnosis


Diagnosis is usually made by ultrasonography showing a solid ovarian lesion, or, on some occasions, mixed tumors with solid and cystic components.[1] Computed tomography and magnetic resonance imaging can also be used to diagnose fibromas. In a series of 16 patients, 5 (28%) showed elevated levels of CA-125.[1] Histopathology demonstrates spindle-shaped fibroblastic cells and abundant collagen.[3]
Treatment
Usually the lesion is surgically removed. Primarily, there is concern that the lesion identified in a patient could be cancerous, but there is also the risk of torsion, and possibly the development of symptoms. A stable lesion, however, could be clinically followed.
Associations
Variants with edema can be associated with Meigs' syndrome. They may be a part of nevoid basal cell carcinoma syndrome (Gorlin syndrome).[4]
References
- ^ a b c d e Yen, P.; Khong, K.; Lamba, R.; Corwin, M. T.; Gerscovich, E. O. (2013). "Ovarian fibromas and fibrothecomas: Sonographic correlation with computed tomography and magnetic resonance imaging: A 5-year single-institution experience". Journal of Ultrasound in Medicine. 32 (1): 13–18. doi:10.7863/jum.2013.32.1.13. PMID 23269706.
- ^ - Vaidya, SA; Kc, S; Sharma, P; Vaidya, S (2014). "Spectrum of ovarian tumors in a referral hospital in Nepal". Journal of Pathology of Nepal. 4 (7): 539–543. doi:10.3126/jpn.v4i7.10295. ISSN 2091-0908.
- Minor adjustment for mature cystic teratomas (0.17 to 2% risk of ovarian cancer): Mandal, Shramana; Badhe, Bhawana A. (2012). "Malignant Transformation in a Mature Teratoma with Metastatic Deposits in the Omentum: A Case Report". Case Reports in Pathology. 2012: 1–3. doi:10.1155/2012/568062. ISSN 2090-6781. PMC 3469088. PMID 23082264. - ^ Parwate, Nikhil Sadanand; Patel, Shilpa M.; Arora, Ruchi; Gupta, Monisha (2015). "Ovarian Fibroma: A Clinico-pathological Study of 23 Cases with Review of Literature". The Journal of Obstetrics and Gynecology of India. 66 (6): 460–465. doi:10.1007/s13224-015-0717-6. ISSN 0971-9202. PMC 5080219. PMID 27821988.
- ^ Tytle, T.; Rosin, D. (Sep 1984). "Bilateral calcified ovarian fibromas". South Med J. 77 (9): 1178–80. doi:10.1097/00007611-198409000-00033. PMID 6385289.
