Pineal gland cyst

Pineal gland cyst
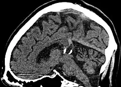
Calcified cyst of pineal gland in CT. Sagittal MPR.

A pineal gland cyst is a usually benign (non-malignant) cyst in the pineal gland, a small endocrine gland in the brain. Historically, these fluid-filled bodies appeared on 1-4% of magnetic resonance imaging (MRI) brain scans, but were more frequently diagnosed at death, seen in 4-11% of autopsies.[1] A 2007 study by Pu et al. found a frequency of 23% in brain scans (with a mean diameter of 4.3 mm).[1]


The National Organization for Rare Disorders states that pineal cysts larger than 5.0 mm are "rare findings" and are possibly symptomatic. If narrowing of the cerebral aqueduct occurs, many neurological symptoms may exist, including headaches, vertigo, nausea, muscle fasciculations, eye sensitivity, and ataxia. Continued monitoring of the cyst might be recommended to monitor its growth, and surgery may be necessary.[2]

Treatment

Pineal gland cysts typically require treatment only if they are symptomatic. They can be removed either endoscopically [3] or through a conventional open approach, such as a supracerebellar infratentorial approach.[4]


Additional images

References

  1. ^ a b Pu, Y.; Mahankali, S.; Hou, J.; Li, J.; Lancaster, J.L.; Gao, J.-H.; Appelbaum, D.E.; Fox, P.T. (2007). "High Prevalence of Pineal Cysts in Healthy Adults Demonstrated by High-Resolution, Noncontrast Brain MR Imaging". American Journal of Neuroradiology. 28 (9): 1706–9. doi:10.3174/ajnr.A0656. PMC 8134222. PMID 17885233.
  2. ^ Pineal Cysts, Symptomatic, National Organization for Rare Disorders
  3. ^ Shahinian, Hrayr; Ra, Yoon (2013). "Fully Endoscopic Resection of Pineal Region Tumors". Journal of Neurological Surgery Part B: Skull Base. 74 (3): 114–7. doi:10.1055/s-0033-1338165. PMC 3712663. PMID 24436899.
  4. ^ Rhomberg, Thomas; Schroeder, Henry WS (2024). "Microsurgical Resection of a Pineal Cyst via a Paramedian Supracerebellar Infratentorial Approach". World Neurosurgery. 185: 113. doi:10.1016/j.wneu.2024.02.049. PMID 38369105.

Further reading