Silver nitrate

Silver nitrate
Structural formula of silver nitrate
Structural formula of silver nitrate
Sample of silver nitrate
Sample of silver nitrate
Crystal structure of silver nitrate
Crystal structure of silver nitrate
Names
IUPAC name
Silver nitrate
Systematic IUPAC name
Silver(I) nitrate
Other names
Nitric acid silver(1+) salt
Lapis infernalis
Argentous nitrate
Identifiers
3D model (JSmol)
ChEBI
ChEMBL
ChemSpider
ECHA InfoCard 100.028.958
EC Number
  • 231-853-9
RTECS number
  • VW4725000
UNII
UN number 1493
  • InChI=1S/Ag.NO3/c;2-1(3)4/q+1;-1 checkY
    Key: SQGYOTSLMSWVJD-UHFFFAOYSA-N checkY
  • InChI=1/Ag.NO3/c;2-1(3)4/q+1;-1
    Key: SQGYOTSLMSWVJD-UHFFFAOYAW
  • [N+](=O)([O-])[O-].[Ag+]
Properties
AgNO3
Molar mass 169.872 g·mol−1
Appearance colorless crystalline solid
Odor Odorless
Density 4.35 g/cm3 (24 °C)
3.97 g/cm3 (210 °C)[1]
Melting point 209.7 °C (409.5 °F; 482.8 K)[1][3]
Boiling point 440 °C (824 °F; 713 K)
decomposes[1]
122 g/100 mL (0 °C)
170 g/100 mL (10 °C)
256 g/100 mL (25 °C)
373 g/100 mL (40 °C)
912 g/100 mL (100 °C)[2]
Solubility Soluble in acetone,[1] ammonia, ether, glycerol
Solubility in acetic acid 0.776 g/kg (30 °C)
1.244 g/kg (40 °C)
5.503 g/kg (93 °C)[3]
Solubility in acetone 0.35 g/100 g (14 °C)
0.44 g/100 g (18 °C)[2]
Solubility in benzene 0.22 g/kg (35 °C)
0.44 g/kg (40.5 °C)[2]
Solubility in ethanol 3.1 g/100 g (19 °C)[2]
Solubility in ethyl acetate 2.7 g/100 g (20 °C)[3]
log P 0.19
−45.7·10−6 cm3/mol
1.744
Viscosity 3.77 cP (244 °C)
3.04 cP (275 °C)[3]
Structure
Orthorhombic, oP56[4]
P212121, No. 19[4]
222[4]
a = 6.992(2) Å, b = 7.335(2) Å, c = 10.125(2) Å[4]
α = 90°, β = 90°, γ = 90°
Thermochemistry
93.1 J/mol·K[1]
140.9 J/mol·K[1]
−124.4 kJ/mol[1]
−33.4 kJ/mol[1]
Pharmacology
D08AL01 (WHO)
Hazards
Occupational safety and health (OHS/OSH):
Main hazards
Reacts explosively with ethanol. Toxic. Corrosive.
GHS labelling:
GHS03: OxidizingGHS05: CorrosiveGHS06: ToxicGHS09: Environmental hazard[5]
Danger
H272, H314, H410[5]
P220, P273, P280, P305+P351+P338, P310, P501[5]
NFPA 704 (fire diamond)
Lethal dose or concentration (LD, LC):
800 mg/kg (rabbit, oral)
20 mg/kg (dog, oral)[6]
Except where otherwise noted, data are given for materials in their standard state (at 25 °C [77 °F], 100 kPa).
checkY verify (what is checkY☒N ?)
Infobox references
Crystals of silver nitrate under a microscope.

Silver nitrate is an inorganic compound with chemical formula AgNO
3
. It is a versatile precursor to many other silver compounds, such as those used in photography. It is far less sensitive to light than the halides. It was once called lunar caustic because silver was called luna by ancient alchemists who associated silver with the moon.[7] In solid silver nitrate, the silver ions are three-coordinated in a trigonal planar arrangement.[4]

Synthesis and structure

Albertus Magnus, in the 13th century, documented the ability of nitric acid to separate gold and silver by dissolving the silver.[8] Indeed silver nitrate can be prepared by dissolving silver in nitric acid followed by evaporation of the solution. The stoichiometry of the reaction depends upon the concentration of nitric acid used.

3 Ag + 4 HNO3 (cold and diluted) → 3 AgNO3 + 2 H2O + NO
Ag + 2 HNO3 (hot and concentrated) → AgNO3 + H2O + NO2

The structure of silver nitrate has been examined by X-ray crystallography several times. In the common orthorhombic form stable at ordinary temperature and pressure, the silver atoms form pairs with Ag---Ag contacts of 3.227 Å. Each Ag+ center is bonded to six oxygen centers of both uni- and bidentate nitrate ligands. The Ag-O distances range from 2.384 to 2.702 Å.[4]

Silver coordination environment in the crystal structure of silver nitrate

Reactions

A typical reaction with silver nitrate is to suspend a rod of copper in a solution of silver nitrate and leave it for a few hours. The silver nitrate reacts with copper to form hairlike crystals of silver metal and a blue solution of copper nitrate:

2 AgNO3 + Cu → Cu(NO3)2 + 2 Ag

Silver nitrate decomposes when heated:

2 AgNO3(l) → 2 Ag(s) + O2(g) + 2 NO2(g)

Qualitatively, decomposition is negligible below the melting point, but becomes appreciable around 250 °C and fully decomposes at 440 °C.[9]

Most metal nitrates thermally decompose to the respective oxides, but silver oxide decomposes at a lower temperature than silver nitrate, so the decomposition of silver nitrate yields elemental silver instead.

Uses

Precursor to other silver compounds

Silver nitrate is the least expensive salt of silver; it offers several other advantages as well. It is non-hygroscopic, in contrast to silver fluoroborate and silver perchlorate. In addition, it is relatively stable to light, and it dissolves in numerous solvents, including water. The nitrate can be easily replaced by other ligands, rendering AgNO3 versatile. Treatment with solutions of halide ions gives a precipitate of AgX (X = Cl, Br, I). When making photographic film, silver nitrate is treated with halide salts of sodium or potassium to form insoluble silver halide in situ in photographic gelatin, which is then applied to strips of tri-acetate or polyester. Similarly, silver nitrate is used to prepare some silver-based explosives, such as the fulminate, azide, or acetylide, through a precipitation reaction.

Treatment of silver nitrate with base gives dark grey silver oxide:[10]

2 AgNO3 + 2 NaOH → Ag2O + 2 NaNO3 + H2O

Halide abstraction

The silver cation, Ag+
, reacts quickly with halide sources to produce the insoluble silver halide, which is a cream precipitate if Br
is used, a white precipitate if Cl
is used and a yellow precipitate if I
is used. This reaction is commonly used in inorganic chemistry to abstract halides:

Ag+
(aq) + X
(aq) → AgX(s)

where X
= Cl
, Br
, or I
.

Other silver salts with non-coordinating anions, namely silver tetrafluoroborate and silver hexafluorophosphate are used for more demanding applications.

Similarly, this reaction is used in analytical chemistry to confirm the presence of chloride, bromide, or iodide ions. Samples are typically acidified with dilute nitric acid to remove interfering ions, e.g. carbonate ions and sulfide ions. This step avoids confusion of silver sulfide or silver carbonate precipitates with that of silver halides. The color of precipitate varies with the halide: white (silver chloride), pale yellow/cream (silver bromide), yellow (silver iodide). AgBr and especially AgI photo-decompose to the metal, as evidenced by a grayish color on exposed samples.

The same reaction was used on steamships in order to determine whether or not boiler feedwater had been contaminated with seawater. It is still used to determine if moisture on formerly dry cargo is a result of condensation from humid air, or from seawater leaking through the hull.[11]

Organic synthesis

Silver nitrate is used in many ways in organic synthesis, e.g. for deprotection and oxidations. Ag+
binds alkenes reversibly, and silver nitrate has been used to separate mixtures of alkenes by selective absorption. The resulting adduct can be decomposed with ammonia to release the free alkene.[12] Silver nitrate is highly soluble in water but is poorly soluble in most organic solvents, except acetonitrile (111.8 g/100 g, 25 °C).[13]

Biology

In histology, silver nitrate is used for silver staining, for demonstrating reticular fibers, proteins and nucleic acids. For this reason it is also used to demonstrate proteins in polyacrylamide gel electrophoresis (PAGE) gels. It can be used as a stain in scanning electron microscopy.[14]

Cut flower stems can be placed in a silver nitrate solution, which prevents the production of ethylene. This delays ageing of the flower.[15]

Indelible ink

Silver nitrate produces long-lasting stain when applied to skin and is one of indelible ink’s ingredients. An electoral stain makes use of this to mark a finger of people who have voted in an election, allowing easy identification to prevent double-voting.[16][17]

In addition to staining skin, silver nitrate has a history of use in stained glass. In the 14th century, artists began using a "silver stain" (also known as a yellow stain) made from silver nitrate to create a yellow effect on clear glass. The stain would produce a stable color that could range from pale lemon to deep orange or gold. Silver stain was often used with glass paint, and was applied to the opposite side of the glass as the paint. It was also used to create a mosaic effect by reducing the number of pieces of glass in a window. Despite the age of the technique, this process of creating stained glass remains almost entirely unchanged.[18]

Medicine

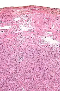
Micrograph showing a silver nitrate (brown) marked surgical margin.

Silver salts have antiseptic properties. In 1881 Credé introduced a method known as Credé's prophylaxis, which used of dilute (2%) solutions of silver nitrate in newborn babies' eyes at birth to prevent contraction of gonorrhea from the mother, which could cause blindness via ophthalmia neonatorum. (Modern antibiotics are now used instead).[19][20][21][22]

Fused silver nitrate, shaped into sticks, was traditionally called "lunar caustic". It is used as a cauterizing agent, for example to remove granulation tissue around a stoma. General Sir James Abbott noted in his journals that in India in 1827 it was infused by a British surgeon into wounds in his arm resulting from the bite of a mad dog to cauterize the wounds and prevent the onset of rabies.[23]

Silver nitrate is used to cauterize superficial blood vessels in the nose to help prevent nosebleeds.

Dentists sometimes use silver nitrate-infused swabs to heal oral ulcers. Silver nitrate is used by some podiatrists to kill cells located in the nail bed.

The Canadian physician C. A. Douglas Ringrose researched the use of silver nitrate for sterilization procedures, believing that silver nitrate could be used to block and corrode the fallopian tubes.[24] The technique was ineffective.[25]

Disinfection

Much research has been done in evaluating the ability of the silver ion at inactivating Escherichia coli, a microorganism commonly used as an indicator for fecal contamination and as a surrogate for pathogens in drinking water treatment. Concentrations of silver nitrate evaluated in inactivation experiments range from 10–200 micrograms per liter as Ag+. Silver's antimicrobial activity saw many applications prior to the discovery of modern antibiotics, when it fell into near disuse. Its association with argyria made consumers wary and led them to turn away from it when given an alternative.

Against warts

Skin stained by silver nitrate

Repeated daily application of silver nitrate can induce adequate destruction of cutaneous warts, but occasionally pigmented scars may develop. In a placebo-controlled study of 70 patients, silver nitrate given over nine days resulted in clearance of all warts in 43% and improvement in warts in 26% one month after treatment compared to 11% and 14%, respectively, in the placebo group.[26]

Safety

As an oxidant, silver nitrate should be properly stored away from organic compounds. It reacts explosively with ethanol.[27] Despite its common usage in extremely low concentrations to prevent gonorrhea and control nosebleeds, silver nitrate is still very toxic and corrosive.[28] Brief exposure will not produce any immediate side effects other than the purple, brown or black stains on the skin, but upon constant exposure to high concentrations, side effects will be noticeable, which include burns. Long-term exposure may cause eye damage. Silver nitrate is known to be a skin and eye irritant. Silver nitrate has not been thoroughly investigated for potential carcinogenic effect.[29]

Silver nitrate is currently unregulated in water sources by the United States Environmental Protection Agency. However, if more than 1 gram of silver is accumulated in the body, a condition called argyria may develop. Argyria is a permanent cosmetic condition in which the skin and internal organs turn a blue-gray color. The United States Environmental Protection Agency used to have a maximum contaminant limit for silver in water until 1990, when it was determined that argyria did not impact the function of any affected organs despite the discolouration.[30] Argyria is more often associated with the consumption of colloidal silver solutions rather than with silver nitrate, since it is only used at extremely low concentrations to disinfect the water. However, it is still important to be wary before ingesting any sort of silver-ion solution.

References

  1. ^ a b c d e f g h Lide, David R., ed. (2009). CRC Handbook of Chemistry and Physics (90th ed.). Boca Raton, Florida: CRC Press. ISBN 978-1-4200-9084-0.
  2. ^ a b c d Seidell, Atherton; Linke, William F. (1919). Solubilities of Inorganic and Organic Compounds (2nd ed.). New York City: D. Van Nostrand Company. pp. 617–619.
  3. ^ a b c d Kiper, Ruslan Anatolievich. "silver nitrate". Chemister.ru. Retrieved 2014-07-20.
  4. ^ a b c d e f Meyer, P.; Rimsky, A.; Chevalier, R. (1978). "Structure du nitrate d'argent à pression et température ordinaires. Exemple de cristal parfait". Acta Crystallogr. B. 34 (5): 1457–1462. Bibcode:1978AcCrB..34.1457M. doi:10.1107/S0567740878005907.
  5. ^ a b c Sigma-Aldrich Co., Silver nitrate. Retrieved on 2014-07-20.
  6. ^ "Silver (metal dust and soluble compounds, as Ag)". Immediately Dangerous to Life or Health Concentrations (IDLH). National Institute for Occupational Safety and Health (NIOSH).
  7. ^ "Definition of Lunar Caustic". dictionary.die.net. Archived from the original on 2012-01-31.
  8. ^ Szabadváry, Ferenc (1992). History of analytical chemistry. Taylor & Francis. p. 17. ISBN 978-2-88124-569-5.
  9. ^ Stern, K. H. (1972). "High Temperature Properties and Decomposition of Inorganic Salts Part 3, Nitrates and Nitrites". Journal of Physical and Chemical Reference Data. 1 (3): 747–772. Bibcode:1972JPCRD...1..747S. doi:10.1063/1.3253104. S2CID 95532988.
  10. ^ Campaigne, E.; LeSuer, W. M. (1963). "3-Thiophenecarboxylic (Thenoic) Acid". Organic Syntheses{{cite journal}}: CS1 maint: multiple names: authors list (link); Collected Volumes, vol. 4, p. 919. (preparation of Ag2O, used in oxidation of an aldehyde)
  11. ^ "Silver nitrate method". Transport Information Service. Gesamtverband der Deutschen Versicherungswirtschaf. Retrieved 22 June 2015.
  12. ^ Cope, A. C.; Bach, R. D. (1973). "trans-Cyclooctene". Organic Syntheses{{cite journal}}: CS1 maint: multiple names: authors list (link); Collected Volumes, vol. 5, p. 315.
  13. ^ "silver nitrate". chemister.ru. Retrieved 2019-04-04.
  14. ^ Geissinger HD (2011). "The use of silver nitrate as a stain for scanning electron microscopy of arterial intima and paraffin sections of kidney". Journal of Microscopy. 95 (3): 471–481. doi:10.1111/j.1365-2818.1972.tb01051.x. PMID 4114959. S2CID 38335416.
  15. ^ "Silver Nitrate (072503) Fact Sheet" (PDF). epa.gov. Retrieved 3 October 2024.
  16. ^ Dhillon, Amrit (2023-06-17). "The ink with a 'secret formula' that powers the world's biggest democratic exercise | India | The Guardian". The Guardian. Archived from the original on 2023-06-17. Retrieved 2024-04-17.
  17. ^ Dhillon, Amrit (2019-03-28). "The ink with a 'secret formula' that powers the world's biggest democratic exercise". The Guardian. ISSN 0261-3077. Retrieved 2024-04-17.
  18. ^ "Khan Academy". www.khanacademy.org. Retrieved 2024-10-29.
  19. ^ Matejcek, A; Goldman, RD (November 2013). "Treatment and prevention of ophthalmia neonatorum". Canadian Family Physician. 59 (11): 1187–90. PMC 3828094. PMID 24235191.
  20. ^ Peter.H (2000). "Dr Carl Credé (1819–1892) and the prevention of ophthalmia neonatorum". Arch Dis Child Fetal Neonatal Ed. 83 (2): F158 – F159. doi:10.1136/fn.83.2.F158. PMC 1721147. PMID 10952715.
  21. ^ Credé C. S. E. (1881). "Die Verhürtung der Augenentzündung der Neugeborenen". Archiv für Gynäkologie. 17 (1): 50–53. doi:10.1007/BF01977793. S2CID 10053605.
  22. ^ Schaller, Ulrich C. & Klauss, Volker (2001). "Is Credés prophylaxis for ophthalmia neonatorum still valid?". Bulletin of the World Health Organization. 79 (3): 262–266. PMC 2566367. PMID 11285676.
  23. ^ British Library, India Office Records, European Manuscripts, MSS EUR F171/33/3, page 109.
  24. ^ Ringrose CA. (1973). "Office tubal sterilization". Obstetrics and Gynecology. 42 (1): 151–5. PMID 4720201.
  25. ^ Cryderman v. Ringrose (1978), 89 D.L.R. (3d) 32 (Alta S.C.) and Zimmer et al. v. Ringrose (1981) 4 W.W.R. 75 (Alta C.A.).
  26. ^ Sterling, J. C.; Handfield-Jones, S.; Hudson, P. M.; British Association of Dermatologists (2001). "Guidelines for the management of cutaneous warts" (PDF). British Journal of Dermatology. 144 (1): 4–11. doi:10.1046/j.1365-2133.2001.04066.x. PMID 11167676. S2CID 20179474. Archived from the original (PDF) on 2012-03-03.
  27. ^ Perrin, D. D.; Armarego, W. L. F.; Perrin, D. R. (November 1986). "Silver nitrate + ethanol = explosion". Journal of Chemical Education. 63 (11): 1016. Bibcode:1986JChEd..63.1016P. doi:10.1021/ed063p1016.1. ISSN 0021-9584.
  28. ^ "Safety data for silver nitrate (MSDS)". Oxford University Chemistry department. Archived from the original on 2011-12-02. Retrieved 2008-03-25.
  29. ^ "New Jersey Right-To-Know-Act Hazardous Substance Fact Sheet - Silver Nitrate" (PDF).
  30. ^ "Silver Compounds." Encyclopedia of Chemical Technology. Vol. 22. Fourth Ed. Excec. Ed. Jaqueline I. Kroschwitz. New York: John Wiley and Sons, 1997.

https://www.cofesilver.com/en/silver_bar :silver bar explanation. pricing investing