Sp7 transcription factor

SP7
Identifiers
AliasesSP7, OI11, OI12, OSX, osterix, Sp7 transcription factor
External IDsOMIM: 606633; MGI: 2153568; HomoloGene: 15607; GeneCards: SP7; OMA:SP7 - orthologs
Orthologs
SpeciesHumanMouse
Entrez

121340

170574

Ensembl

ENSG00000170374

ENSMUSG00000060284

UniProt

Q8TDD2

Q8VI67

RefSeq (mRNA)

NM_001173467
NM_001300837
NM_152860

NM_130458
NM_001348205

RefSeq (protein)

NP_001287766.1
NP_001166938
NP_001287766
NP_690599

NP_569725
NP_001335134

Location (UCSC)Chr 12: 53.33 – 53.35 MbChr 15: 102.27 – 102.28 Mb
PubMed search[3][4]
Wikidata
View/Edit HumanView/Edit Mouse

Transcription factor Sp7, also called Osterix (Osx), is a protein that in humans is encoded by the SP7 gene.[5] It is a member of the Sp family of zinc-finger transcription factors[5] It is highly conserved among bone-forming vertebrate species[6][7] It plays a major role, along with Runx2 and Dlx5 in driving the differentiation of mesenchymal precursor cells into osteoblasts and eventually osteocytes.[8] Sp7 also plays a regulatory role by inhibiting chondrocyte differentiation maintaining the balance between differentiation of mesenchymal precursor cells into ossified bone or cartilage.[9] Mutations of this gene have been associated with multiple dysfunctional bone phenotypes in vertebrates. During development, a mouse embryo model with Sp7 expression knocked out had no formation of bone tissue.[5] Through the use of GWAS studies, the Sp7 locus in humans has been strongly associated with bone mass density.[10] In addition there is significant genetic evidence for its role in diseases such as Osteogenesis imperfecta (OI).[11]

Genetics

In humans Sp7 has been mapped to 12q13.13. It has 78% homology to another Sp family member, Sp1, especially in the regions which code for the three Cys-2 His-2 type DNA-binding zinc fingers.[12] Sp7 consists of three exons the first two of which are alternatively spliced, encoding a 431-residue isoform and an amino-terminus truncated 413-residue short protein isoform[13]

A GWAS study has found that bone mass density (BMD) is associated with the Sp7 locus, adults and children with either low or high BMD were analyzed showing that several common variant SNPs within the 12q13 region were in an area of linkage disequilibrium.[10]

Transcriptional pathway

There are two main pathways which cause in the induction of Sp7/Osx gene expression. Msx2 induces Sp7 directly, whereas bone morphogenetic protein 2 (BMP2) induces it indirectly through either Dlx5 or Runx2.[8] Once Sp7 expression is triggered, it then induces the expression of a slew of mature osteoblast genes such as Col1a1, osteonectin, osteopontin and bone sialoprotein which are all necessary for productive osteoblasts during the creation of ossified bone.[6]

Negative regulation of this pathway comes in the form of p53, microRNAs and the TNF inflammatory pathway.[8] Disregulation of the TNF pathway blocking appropriate bone growth by osteoblasts is a partial cause of the abnormal degradation of bone seen in osteoporosis or rheumatoid arthritis[14]

Diagram detailing the positive regulatory transcriptional pathway between genes expressed early in development such as BMP2 and the eventual expression of bone-specific genes.[8]

Mechanism of action

The exact mechanisms of action for Sp7/Osterix are currently in contention and the full protein structure has yet to be solved. As a zinc-finger transcription factor, its relatively high homology with Sp1 seems to indicate that it might act in a similar fashion during gene regulatory processes. Previous studies done on Sp1 have shown that Sp1 utilizes the zinc-finger DNA binding domains in its structure to bind directly to a GC-rich region of the genome known as the GC box.[15] creating downstream regulatory effects. There are a number of studies which support this mechanism as also applicable for Sp7,[16] however other researchers were unable to replicate the GC box binding seen in Sp1 when looking at Sp7.[17][18] Another proposed mechanism of action is indirect gene regulation through the protein known as homeobox transcription factor Dlx5. This is plausible because Dlx5 has much higher affinity to AT-rich gene regulatory regions than Sp7 has been shown to have to the GC box[17] thus providing an alternate methodology through which regulation can occur.

Mass spectrometry and proteomics methods have shown that Sp7 also interacts with RNA helicase A and is possibly negatively regulated by RIOX1 both of which provide evidence for regulatory mechanisms outside of the GC box paradigm.

Function

Sp7 acts as a master regulator of bone formation during both embryonic development and during the homeostatic maintenance of bone in adulthood.

During development

Diagram detailing the role of Sp7 in the differentiation pathway of osteoblasts and the decision pathway between cartilage and ossified bone[5][8]
Zebrafish skull, 34 days post-fertilication, imaged using a calcein stain showing normal frontal and parietal bones. Overlayed using fuchsia are irregular initiation sites of bone formation seen in an Sp7 mutant fish indicating abnormal pseudo-sutures.[19]

In a developing organism, Sp7 serves as one of the most important regulatory shepherds for bone formation. The creation of ossified bone is preceded by the differentiation of mesenchymal stem cells into chondrocytes and the conversion of some of those chondrocytes into cartilage. Certain populations of that initial cartilage serves as a template for bone cells as skeletogenesis proceeds.[20]

Sp7/Osx null mouse embryos displayed a severe phenotype in which there were unaffected chondrocytes and cartilage but absolutely no formation of bone tissue.[5] Ablation of Sp7 genes also led to decreased expression of various other osteocyte-specific markers such as: Sost, Dkk1, Dmp1, and Phe.[21] The close relationship between Sp7/Osx and Runx2 was also demonstrated through this particular experiment because the Sp7 knockout bone phenotype greatly resembled that of the Runx2 knockout, and further experiments proved that Sp7 is downstream of and very closely associated with Runx2.[8] The important conclusion of this particular series of experiments was the clear regulatory role of Sp7 in the decision process made by mesenchymal stem cells to progress from their original highly Sox9 positive osteoprogenitors into either bone or cartilage. Without sustained Sp7 expression the progenitor cells take the pathway into becoming chondrocytes and eventually cartilage rather than creating ossified bone.

In adult organisms

Outside of the context of development, in adult mice ablation of Sp7 led to a lack of new bone formation, highly irregular cartilage accumulation beneath the growth plate and defects in osteocyte maturation and functionality.[21] Other studies observed that a conditional knockout of Sp7 in adult mice osteoblasts resulted in osteopenia in the vertebrae of the animals, issues with bone turnover and more porosity in cortical outer surface of the long bones of the body.[22] Observation of an opposite effect, overproliferation of Sp7+ osteoblasts, further supports the important regulatory effects of Sp7 in vertebrates. A mutation in the zebrafish homologue of Sp7 caused severe craniofacial irregularities in maturing organisms while leaving the rest of the skeleton largely unaffected. Instead of normal suture patterning along the developing skull, the affected organisms displayed a mosaic of sites where bone formation was being initiated but not completed. This caused the appearance of many small irregular bones instead of the normal smooth frontal and parietal bones. These phenotypic shifts corresponded to an overproliferation of Runx2+ osteoblast progenitors indicating that the phenotype observed was related to an abundance of initiation sites for bone proliferation creating many pseudo-sutures.[19]

Clinical relevance

Osteogenesis imperfecta

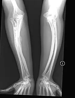
The most direct example of the role of Sp7 in human disease has been in recessive osteogenesis imperfecta (OI), which is a type-I collagen related disease that causes a heterogeneous set of bone-related symptoms which can range from mild to very severe. Generally this disease is caused by mutations in Col1a1 or Col1a2 which are regulators of collagen growth. OI-causing mutations in these collagen genes are generally heritable in an autosomal-dominant fashion. However, there has been a recent case of a patient with recessive OI with a documented frameshift mutation in Sp7/Osx as the etiological origin of the disease.[11] This patient displayed abnormal fracturing of the bones after relatively minor injuries and markedly delayed motor milestones, requiring assistance to stand at age 6 and was unable to walk at age 8 due to pronounced bowing of the arms and legs. This provides a direct link between the Sp7 gene and the OI disease phenotype.

Bowed bones of the arms as seen in an adult osteogenesis imperfecta patient.

Osteoporosis

GWAS studies have shown associations between adult and juvenile bone mass density (BMD) and the Sp7 locus in humans. Though low BMD is a good indicator of susceptibility for osteoporosis in adults, the amount of information currently available from these studies does not allow for a direct correlation to be made between osteoporosis and Sp7.[10] Abnormal expression of inflammatory cytokines such as TNF-α is present in osteoporosis can have detrimental effects on the expression of Sp7.[14]

Rheumatoid Arthritis

Adiponectin is a protein hormone that has been shown to be upregulated in rheumatoid arthritis disease pathology, causing the release of inflammatory cytokines and enhancing the breakdown of the bone matrix. In primary human cell cultures Sp7 was shown to be inhibited by adiponectin thus contributing downregulation of the creation of ossified bone.[23] This data is further backed up by another study in which inflammatory cytokines such as TNF-α and IL-1β were shown to downregulate gene expression of Sp7 in mouse primary mesenchymal stem cells in culture.[24] These studies seem to indicate that an inflammatory environment is detrimental to the creation of ossified bone.[14]

Bone fracture repair

Accelerated bone fracture healing was found when researchers implanted Sp7 overexpressing bone marrow stroma cells at a site of bone fracture. It was found that the mechanism by which Sp7 expression accelerated bone healing was through triggering new bone formation by inducing neighboring cells to express genes characteristic of bone progenitors.[25] Along similar mechanistic lines as bone repair is the integration of dental implants into alveolar bone, since the insertion of these implants causes bone damage that must be healed before the implant is successfully integrated.[26] Researchers have shown that when bone marrow stromal cells are exposed to artificially elevated levels of Sp7/Osx, mice with dental implants were shown to have better outcomes through the promotion of healthy bone regeneration.[27]

Treatment of osteosarcomas

Overall Sp7 expression is decreased in mouse and human osteosarcoma cell lines when compared to endogenous osteoblasts and this decrease in expression correlates with metastatic potential. Transfection of the SP7 gene into a mouse osteosarcoma cell line to create higher levels of expression reduced overall malignancy in-vitro and reduced tumor incidence, tumor volume, and lung metastasis when the cells were injected into mice. Sp7 expression was also found to decrease bone destruction by the sarcoma likely through supplementing the normal regulatory pathways controlling osteoblasts and osteocytes.[28]

References

  1. ^ a b c GRCh38: Ensembl release 89: ENSG00000170374Ensembl, May 2017
  2. ^ a b c GRCm38: Ensembl release 89: ENSMUSG00000060284Ensembl, May 2017
  3. ^ "Human PubMed Reference:". National Center for Biotechnology Information, U.S. National Library of Medicine.
  4. ^ "Mouse PubMed Reference:". National Center for Biotechnology Information, U.S. National Library of Medicine.
  5. ^ a b c d e Nakashima K, Zhou X, Kunkel G, Zhang Z, Deng JM, Behringer RR, de Crombrugghe B (January 2002). "The novel zinc finger-containing transcription factor osterix is required for osteoblast differentiation and bone formation". Cell. 108 (1): 17–29. doi:10.1016/s0092-8674(01)00622-5. PMID 11792318. S2CID 14030684.
  6. ^ a b Renn J, Winkler C (January 2009). "Osterix-mCherry transgenic medaka for in vivo imaging of bone formation". Developmental Dynamics. 238 (1): 241–8. doi:10.1002/dvdy.21836. PMID 19097055. S2CID 34497572.
  7. ^ DeLaurier A, Eames BF, Blanco-Sánchez B, Peng G, He X, Swartz ME, et al. (August 2010). "Zebrafish sp7:EGFP: a transgenic for studying otic vesicle formation, skeletogenesis, and bone regeneration". Genesis. 48 (8): 505–11. doi:10.1002/dvg.20639. PMC 2926247. PMID 20506187.
  8. ^ a b c d e f Sinha KM, Zhou X (May 2013). "Genetic and molecular control of osterix in skeletal formation". Journal of Cellular Biochemistry. 114 (5): 975–84. doi:10.1002/jcb.24439. PMC 3725781. PMID 23225263.
  9. ^ Kaback LA, Soung D, Naik A, Smith N, Schwarz EM, O'Keefe RJ, et al. (January 2008). "Osterix/Sp7 regulates mesenchymal stem cell mediated endochondral ossification". Journal of Cellular Physiology. 214 (1): 173–82. doi:10.1002/jcp.21176. PMID 17579353. S2CID 39244842.
  10. ^ a b c Timpson NJ, Tobias JH, Richards JB, Soranzo N, Duncan EL, Sims AM, et al. (April 2009). "Common variants in the region around Osterix are associated with bone mineral density and growth in childhood". Human Molecular Genetics. 18 (8): 1510–7. doi:10.1093/hmg/ddp052. PMC 2664147. PMID 19181680.
  11. ^ a b Lapunzina P, Aglan M, Temtamy S, Caparrós-Martín JA, Valencia M, Letón R, et al. (July 2010). "Identification of a frameshift mutation in Osterix in a patient with recessive osteogenesis imperfecta". American Journal of Human Genetics. 87 (1): 110–4. doi:10.1016/j.ajhg.2010.05.016. PMC 2896769. PMID 20579626.
  12. ^ Gao Y, Jheon A, Nourkeyhani H, Kobayashi H, Ganss B (October 2004). "Molecular cloning, structure, expression, and chromosomal localization of the human Osterix (SP7) gene". Gene. 341: 101–10. doi:10.1016/j.gene.2004.05.026. PMID 15474293.
  13. ^ Milona MA, Gough JE, Edgar AJ (November 2003). "Expression of alternatively spliced isoforms of human Sp7 in osteoblast-like cells". BMC Genomics. 4 (1): 43. doi:10.1186/1471-2164-4-43. PMC 280673. PMID 14604442.
  14. ^ a b c Gilbert L, He X, Farmer P, Boden S, Kozlowski M, Rubin J, Nanes MS (November 2000). "Inhibition of osteoblast differentiation by tumor necrosis factor-alpha". Endocrinology. 141 (11): 3956–64. doi:10.1210/endo.141.11.7739. PMID 11089525.
  15. ^ Kadonaga JT, Jones KA, Tjian R (January 1986). "Promoter-specific activation of RNA polymerase II transcription by Sp1". Trends in Biochemical Sciences. 11 (1): 20–23. doi:10.1016/0968-0004(86)90226-4. ISSN 0968-0004.
  16. ^ Zhang C, Tang W, Li Y (2012-11-21). "Matrix metalloproteinase 13 (MMP13) is a direct target of osteoblast-specific transcription factor osterix (Osx) in osteoblasts". PLOS ONE. 7 (11): e50525. Bibcode:2012PLoSO...750525Z. doi:10.1371/journal.pone.0050525. PMC 3503972. PMID 23185634.
  17. ^ a b Hojo H, Ohba S, He X, Lai LP, McMahon AP (May 2016). "Sp7/Osterix Is Restricted to Bone-Forming Vertebrates where It Acts as a Dlx Co-factor in Osteoblast Specification". Developmental Cell. 37 (3): 238–53. doi:10.1016/j.devcel.2016.04.002. PMC 4964983. PMID 27134141.
  18. ^ Hekmatnejad B, Gauthier C, St-Arnaud R (August 2013). "Control of Fiat (factor inhibiting ATF4-mediated transcription) expression by Sp family transcription factors in osteoblasts". Journal of Cellular Biochemistry. 114 (8): 1863–70. doi:10.1002/jcb.24528. PMID 23463631. S2CID 10886147.
  19. ^ a b Kague E, Roy P, Asselin G, Hu G, Simonet J, Stanley A, Albertson C, Fisher S (May 2016). "Osterix/Sp7 limits cranial bone initiation sites and is required for formation of sutures". Developmental Biology. 413 (2): 160–72. doi:10.1016/j.ydbio.2016.03.011. PMC 5469377. PMID 26992365.
  20. ^ Kronenberg HM (May 2003). "Developmental regulation of the growth plate". Nature. 423 (6937): 332–6. Bibcode:2003Natur.423..332K. doi:10.1038/nature01657. PMID 12748651. S2CID 4428064.
  21. ^ a b Zhou X, Zhang Z, Feng JQ, Dusevich VM, Sinha K, Zhang H, et al. (July 2010). "Multiple functions of Osterix are required for bone growth and homeostasis in postnatal mice". Proceedings of the National Academy of Sciences of the United States of America. 107 (29): 12919–24. Bibcode:2010PNAS..10712919Z. doi:10.1073/pnas.0912855107. PMC 2919908. PMID 20615976.
  22. ^ Baek WY, Lee MA, Jung JW, Kim SY, Akiyama H, de Crombrugghe B, Kim JE (June 2009). "Positive regulation of adult bone formation by osteoblast-specific transcription factor osterix". Journal of Bone and Mineral Research. 24 (6): 1055–65. doi:10.1359/jbmr.081248. PMC 4020416. PMID 19113927.
  23. ^ Krumbholz G, Junker S, Meier FM, Rickert M, Steinmeyer J, Rehart S, et al. (May 2017). "Response of human rheumatoid arthritis osteoblasts and osteoclasts to adiponectin". Clinical and Experimental Rheumatology. 35 (3): 406–414. PMID 28079506.
  24. ^ Lacey DC, Simmons PJ, Graves SE, Hamilton JA (June 2009). "Proinflammatory cytokines inhibit osteogenic differentiation from stem cells: implications for bone repair during inflammation". Osteoarthritis and Cartilage. 17 (6): 735–42. doi:10.1016/j.joca.2008.11.011. PMID 19136283.
  25. ^ Tu Q, Valverde P, Li S, Zhang J, Yang P, Chen J (October 2007). "Osterix overexpression in mesenchymal stem cells stimulates healing of critical-sized defects in murine calvarial bone". Tissue Engineering. 13 (10): 2431–40. doi:10.1089/ten.2006.0406. PMC 2835465. PMID 17630878.
  26. ^ Tu Q, Valverde P, Chen J (March 2006). "Osterix enhances proliferation and osteogenic potential of bone marrow stromal cells". Biochemical and Biophysical Research Communications. 341 (4): 1257–65. doi:10.1016/j.bbrc.2006.01.092. PMC 2831616. PMID 16466699.
  27. ^ Xu B, Zhang J, Brewer E, Tu Q, Yu L, Tang J, et al. (November 2009). "Osterix enhances BMSC-associated osseointegration of implants". Journal of Dental Research. 88 (11): 1003–7. doi:10.1177/0022034509346928. PMC 2831612. PMID 19828887.
  28. ^ Cao Y, Zhou Z, de Crombrugghe B, Nakashima K, Guan H, Duan X, et al. (February 2005). "Osterix, a transcription factor for osteoblast differentiation, mediates antitumor activity in murine osteosarcoma". Cancer Research. 65 (4): 1124–8. doi:10.1158/0008-5472.CAN-04-2128. PMID 15734992.

Further reading