Syringofibroadenoma

Syringofibroadenoma
Other namesAcrosyringeal nevus of Weedon and Lewis
SpecialtyDermatology

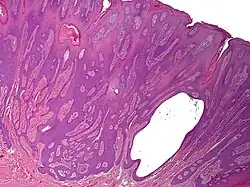
Syringofibroadenoma is a cutaneous condition characterized by a hyperkeratotic nodule or plaque involving the extremities.[1]: 668 

It is considered of eccrine origin.[2]

See also

References

  1. ^ James, William D.; Berger, Timothy G.; et al. (2006). Andrews' Diseases of the Skin: Clinical Dermatology. Saunders Elsevier. ISBN 0-7216-2921-0.
  2. ^ "Syringofibroadenoma pathology - DermNet New Zealand". www.dermnet.org.nz.