Żółtaczka jąder podkorowych
| Kernicterus | |
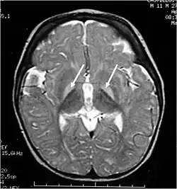
![]() Obraz MRI T2-zależny głowy pacjenta z żółtaczką w przebiegu niedoboru dehydrogenazy glukozo-6-fosforanowej uwidacznia hiperdensyjne ogniska w jądrach podkorowych | |
| Klasyfikacje | |
| ICD-10 | |
|---|---|
| DiseasesDB | |
| MedlinePlus | |
| MeSH | |
Żółtaczka jąder podkorowych (łac. kernicterus, nazywana też encefalopatią bilirubinową[1]) – choroba spowodowana uszkodzeniem jąder podstawnych i móżdżku wywołanym bilirubiną (która w nieznany sposób działa neurotoksycznie[2]) w przebiegu ciężkiej żółtaczki u noworodka[3][2][4]. Choroba ta może prowadzić do niepełnosprawności intelektualnej, padaczki, porażenia mózgowego i niedosłuchu czuciowo-nerwowego, a w niektórych przypadkach także do śmierci[2]
Leczenie polega głównie na zmniejszaniu stężenia bilirubiny we krwi i obejmuje fototerapię oraz transfuzję wymienną[1]. Rokowanie często jest złe[3].
Przypisy
- 1 2 American Academy of Pediatrics Subcommittee on Hyperbilirubinemia, Management of hyperbilirubinemia in the newborn infant 35 or more weeks of gestation, „Pediatrics”, 114 (1), 2004, s. 297–316, DOI: 10.1542/peds.114.1.297, ISSN 1098-4275, PMID: 15231951 [dostęp 2018-01-04].
- 1 2 3 Sijie Song i inni, A Novel Newborn Rat Kernicterus Model Created by Injecting a Bilirubin Solution into the Cisterna Magna, „PLOS ONE”, 9 (5), 2014, DOI: 10.1371/journal.pone.0096171, ISSN 1932-6203, PMID: 24796550, PMCID: PMC4010446 [dostęp 2018-01-04].
- 1 2 Sara Bousema i inni, [Kernicterus is preventable but still occurs], „Nederlands Tijdschrift Voor Geneeskunde”, 159, 2015, A8518, ISSN 1876-8784, PMID: 25944067 [dostęp 2018-01-04].
- ↑ Jessica Rose, Rachel Vassar, Movement disorders due to bilirubin toxicity, „Seminars in fetal & neonatal medicine”, 20 (1), 2015, s. 20–25, DOI: 10.1016/j.siny.2014.11.002, ISSN 1744-165X, PMID: 25524299, PMCID: PMC4388741 [dostęp 2018-01-04].
Przeczytaj ostrzeżenie dotyczące informacji medycznych i pokrewnych zamieszczonych w Wikipedii.
