Żołądek arbuzowaty
.png)
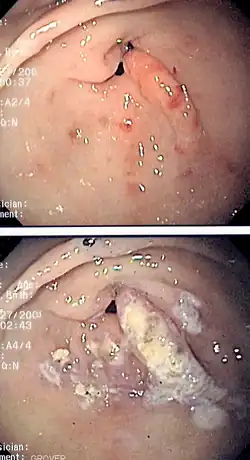
Żołądek arbuzowaty (GAVE, antralne poszerzenia naczyniowe, ang. watermelon stomach, gastric antral vascular ectasia) – zmiany naczyniowe w śluzówce żołądka będące rzadką przyczyną ostrych i przewlekłych krwawień z przewodu pokarmowego i niedokrwistości z niedoboru żelaza. Nazwa zmian pochodzi od czerwonych pasm widocznych w endoskopii, mogących przypominać skórę arbuza; obecnie preferowaną nazwą jest GAVE.
Zmiany typu GAVE obecne są w przebiegu twardziny układowej, a także w nadciśnieniu wrotnym i przewlekłej niewydolności nerek. Patogeneza GAVE nie jest znana, ale choroba związana jest ze schorzeniami wątroby, nerek i serca.[1]
Obraz GAVE przypomina gastropatię w przebiegu nadciśnienia wrotnego.
Przypisy
- ↑ Hien Nguyen, Connie Le, Hanh Nguyen, Gastric Antral Vascular Ectasia (Watermelon Stomach)—An Enigmatic and Often-Overlooked Cause of Gastrointestinal Bleeding in the Elderly, [w:] National Library of Medicine [online], https://pmc.ncbi.nlm.nih.gov/articles/PMC2911825/ [dostęp 2025-03-14].
Bibliografia
- Suit PF, Petras RE, Bauer TW, Petrini JL. Gastric antral vascular ectasia. A histologic and morphometric study of 'the watermelon stomach'. „Am J Surg Pathol”. 11. 10, s. 750–7, 1987. PMID: 3499091.
- Gouldesbrough DR, Pell AC. Gastric antral vascular ectasia: a problem of recognition and diagnosis. „Gut”. 32. 8, s. 954-5, 1991. PMID: 1885080.
- Urban BA, Jones B, Fishman EK, Kern SE, Ravich WJ. Gastric antral vascular ectasia ("watermelon stomach"): radiologic findings. „Radiology”. 178. 2, s. 517-8, 1991. PMID: 1987618.
- Jabbari M, Cherry R, Lough JO, Daly DS, Kinnear DG, Goresky CA. Gastric antral vascular ectasia: the watermelon stomach. „Gastroenterology”. 87. 5, s. 1165-70, 1984. PMID: 6332757.
Linki zewnętrzne
- Endoskopia kapsułkowa u pacjenta z GAVE. dave1.mgh.harvard.edu. [zarchiwizowane z tego adresu (2007-08-19)].
- Endoskopowy obraz żołądka ze zmianami GAVE koagulowanymi leserem argonowym. dave1.mgh.harvard.edu. [zarchiwizowane z tego adresu (2007-07-14)].
Przeczytaj ostrzeżenie dotyczące informacji medycznych i pokrewnych zamieszczonych w Wikipedii.