Żyłka (naczynie krwionośne)
.jpg)
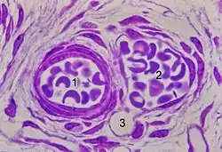
Żyłka, wenula (łac. venula) − najmniejsze naczynie żylne, zbierające krew z naczyń włosowatych za pośrednictwem naczyń pozawłosowatych[1][2]. Żyłki mają średnicę 20–30 μm[3], cechują się małą grubością ścian w stosunku do średnicy światła[4]. Ściany żyłek są trójwarstwowe. Błona wewnętrzna składa się ze śródbłonka i cienkiej, delikatnej warstwy tkanki łącznej. Błonę środkową budują jedna lub dwie warstwy okrężnie przebiegających, luźno ułożonych komórek mięśniowych gładkich, a także nieliczne włókna kolagenowe i sprężyste. Błonę zewnętrzną (przydankę) tworzy tkanka łączna luźna, tkanka mięśniowa zwykle w niej nie występuje[3][5].
Przypisy
- ↑ Adam Bochenek, Michał Reicher, Anatomia człowieka. Tom III. Układ naczyniowy, wyd. IX, Warszawa: Wydawnictwo Lekarskie PZWL, 2018, s. 132, ISBN 978-83-200-3257-4.
- ↑ Eugeniusz Miętkiewski: Zarys fizjologii lekarskiej. Warszawa: Państwowy Zakład Wydawnictw Lekarskich, 1977, s. 187–192.
- 1 2 Piotr Dzięgiel, Układ krwionośny, [w:] Maciej Zabel (red.), Histologia. Podręcznik dla studentów medycyny i stomatologii, Wrocław: Elsevier Urban & Partner, 2021, s. 159, ISBN 978-83-66960-02-2.
- ↑ Anthony L. Mescher, Histologia Junqueira. Podręcznik i atlas, wyd. XV, Wrocław: Edra Urban & Partner, 2020, s. 246, ISBN 978-83-66548-20-6.
- ↑ Jan A. Litwin, Układ naczyniowy, [w:] Tadeusz Cichocki, Jan A. Litwin, Jadwiga Mirecka, Kompendium histologii. Podręcznik dla studentów nauk medycznych i przyrodniczych, Kraków: Wydawnictwo Uniwersytetu Jagiellońskiego, 2016, s. 220, ISBN 978-83-233-4166-6.
Przeczytaj ostrzeżenie dotyczące informacji medycznych i pokrewnych zamieszczonych w Wikipedii.