Agenezja ciała modzelowatego

Agenezja ciała modzelowatego (łac. agenesis corporis callosi, ang. agenesis of corpus callosum, ACC) – wada wrodzona przodomózgowia, polegająca na różnego stopnia niedorozwoju spoidła wielkiego mózgu (ciała modzelowatego). Wada ta wykazuje dużą różnorodność, od zwykłego braku tej struktury mózgu po częściowy brak (zachowanie przedniej części przy braku tylnej).
Brak spoidła wielkiego mózgu nie ma prawdopodobnie związku z niedorozwojem umysłowym, chociaż często współistnieją ze sobą. Agenezja ciała modzelowatego często jest asymptomatyczna.
Rozpoznanie
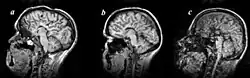
Wadę rozpoznaje się metodami obrazowania mózgu (TK, MRI). Widać wtedy poszerzenie światła komór bocznych mózgu (obraz motyla z rozłożonymi skrzydłami). W miejscu ubytku mogą rozwijać się tłuszczaki (lipomata). W większości przypadków zachowane są podłużne pęczki spoidła, tzw. pęczki Probsta (Probst bundles), nieobecne są też zakręt obręczy i niekiedy sklepienie oraz spoidło przednie.
Bibliografia
- D Dunin-Wąsowicz, KH Chrzanowska, B Milewska-Bobula, P Marciński, A Bauer, E Orzeszka, A Kościesza, A Gutkowska: Agenezja ciała modzelowatego -aspekty neurologiczne i genetyczne. Neurologia Dziecięca 19 (2001).
- Jerzy Stachura, Wenancjusz Domagała Patologia znaczy słowo o chorobie. T. 2. Wydawnictwo Polskiej Akademii Umiejętności, Kraków 2003. ISBN 83-88857-65-7.
- Choroby układu nerwowego. Wojciech Kozubski, Paweł P. Liberski (red.). Warszawa: Wydawnictwo Lekarskie PZWL, 2004, s. 229. ISBN 83-200-2636-9.
Linki zewnętrzne
- CORPUS CALLOSUM, AGENESIS OF w bazie Online Mendelian Inheritance in Man (ang.)
Przeczytaj ostrzeżenie dotyczące informacji medycznych i pokrewnych zamieszczonych w Wikipedii.