Angiografia metodą rezonansu magnetycznego

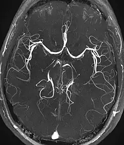
Angiografia metodą rezonansu magnetycznego[a], angiografia rezonansem magnetycznym, MRA (od ang. magnetic resonance angiography) – technika obrazowania metodą rezonansu magnetycznego służąca do nieinwazyjnej wizualizacji naczyń krwionośnych. Podstawowymi jej odmianami są angiografia czasu przepływu (TOF, od time of flight) i angiografia kontrastu fazy (PC, od phase contrast).
Angiografia czasu przepływu
W tej metodzie, poprzez odpowiedni dobór sekwencji pomiarowej i czasów relaksacji, możliwe jest wzmocnienie sygnału pochodzącego od przepływającej krwi. Jednocześnie osłabiana jest intensywność sygnału od tkanek niebędących w ruchu.
Angiografia kontrastu fazy
Wykorzystuje się fakt, że protony tkanek znajdujących się w ruchu charakteryzują się przesunięciem fazowym. W tej technice otrzymuje się mapy przepływu krwi. Intensywność obrazu zależy od prędkości przepływu.
Zobacz też
Uwagi
- ↑ Używana często nazwa „angiografia rezonansu magnetycznego”, będąca dosłownym tłumaczeniem z języka angielskiego, nie jest poprawna merytorycznie.
Bibliografia
- Andrzej Szczeklik (red.): Choroby wewnętrzne. Przyczyny, rozpoznanie i leczenie, tom I. Kraków: Wydawnictwo Medycyna Praktyczna, 2005. ISBN 83-7430-031-0.
Przeczytaj ostrzeżenie dotyczące informacji medycznych i pokrewnych zamieszczonych w Wikipedii.