Ankyloza

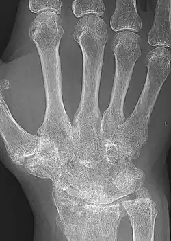
Ankyloza (gr. agkýlos ‘zakrzywiony’, ‘wygięty’)[1] – włókniste zesztywnienie[1][2] skutkujące unieruchomieniem[1] stawu powstałe najczęściej w wyniku reumatoidalnego zapalenia stawów (RZS)[2], urazu, zabiegu operacyjnego lub niektórych chorób kości i stawów[1].
Przypisy
- 1 2 3 4 ankyloza, [w:] Encyklopedia PWN [online], Wydawnictwo Naukowe PWN [dostęp 2018-08-28].
- 1 2 Wielka encyklopedia zdrowia. Wojciech Twardosz (red.). T. I: Ab–Az. Poznań: Wydawnictwo HORYZONT, 2002, s. 65. ISBN 83-89242-01-X.
Przeczytaj ostrzeżenie dotyczące informacji medycznych i pokrewnych zamieszczonych w Wikipedii.