Atypowy nowotwór teratoidny (rabdoidny)


Atypowy nowotwór teratoidny (rabdoidny) (ang. Atypical Teratoid Rhabdoid Tumor, AT/RT) – rzadki guz mózgu wieku dziecięcego, o wysokim (IV° według WHO) stopniu złośliwości i często śmiertelny.
Historia
AT/RT ośrodkowego układu nerwowego został opisany w 1987 przez Rorke i jej współpracowników z Children’s Hospital of Philadelphia[1]. Początkowo guz ten był określany jako atypical teratoid rhaboid tumor albo malignant rhabdoid tumor (MRT) ośrodkowego układu nerwowego (CNS). Między 1978 a 1987, AT/RT był najprawdopodobniej błędnie rozpoznawany jako guz rabdoidalny. Przed 1978, zanim guz rabdoidalny został opisany, AT/RT był z kolei zapewne rozpoznawany jako rdzeniak. W klasyfikacji WHO guzów ośrodkowego układu nerwowego został uwzględniony w 3. edycji z 2000 roku[2].
Epidemiologia
AT/RT jest rzadkim nowotworem. W USA zapadalność na ten typ guza wynosi 3:1 000 000, co daje 30 przypadków AT/RT diagnozowanych co roku. Corocznie przybywa 2500-3000 nowych pacjentów pediatrycznych z guzami ośrodkowego układu nerwowego, i około 3% z nich to AT/RT, chociaż odsetek ten może wzrosnąć wraz z lepszym różnicowaniem AT/RT i guzów typu PNET/medulloblastoma.
Etiologia
Patogeneza AT/RT budzi kontrowersje, być może złośliwy guz rabdoidalny lokalizacji pozaczaszkowych jest podobnym lub tym samym typem nowotworu co AT/RT. Oba guzy histologicznie przypominają utkanie mięsaka prążkowanokomórkowego (rhabdomyosarcoma), stąd ich nazwa.
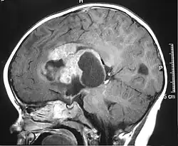
Objawy i przebieg
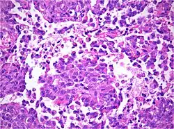
Obraz histologiczny
AT/RT jest guzem bogatokomórkowym, o rozlanym typie wzrostu. Często stwierdza się przegrody łącznotkankowe oddzielające grupy komórek. W przypadkach gdy naciek nowotworowy obejmuje powierzchnię mózgowia stwierdza się niekiedy izolowane grupy komórek w oponach, prawdopodobnie będące wszczepami nowotworowymi. AT/RT jest bardzo aktywny mitotycznie.
Profil immunohistochemiczny

Komórki AT/RT dają odczyn dodatni na ekspresję wimentyny, NSE, EMA, cytokeratyn, GFAP, S-100, synaptofizyny, aktyny mięśni gładkich i neurofilamentów. Ekspresja antygenu Ki-67 pozwala ocenić aktywność proliferacyjną guza na nawet 80%.
Ultrastruktura
Rokowanie
Przeżywalność pacjentów z guzem AT/RT wynosi około 11% u pacjentów poniżej 3. roku życia i ponad 70% u pacjentów starszych niż 3 lata[3].
Przypisy
- ↑ Lefkowitz JB, Rorke LB, Packer RJ. Atypical teratoid tumors of infancy: definition of an entity. „Ann Neurol”. 22, s. 448-489, 1988.
- ↑ Kleihues P, Cavenee WK (eds) (2000) World Health Organization ClassiWcation of Tumours. Pathology and genetics of tumours of the nervous system. IARC Press, Lyon
- ↑ Tekautz et al. Atypical Teratoid/Rhabdoid Tumors (ATRT): Improved Survival in Children 3 Years of Age and Older With Radiation Therapy and High-Dose Alkylator-Based Chemotherapy. „Journal of Clinical Oncology”. 23. 7. s. 1491.
Bibliografia
- Atypowy guz teratoidny/rhabdoidny (AT/RT). W: Wojciech Biernat: Nowotwory mózgu u dzieci. Suplement do Pol J Pathol 53, 4. Paweł P. Liberski (red.). 2001, s. 139-140. ISSN 1233-9687.
- Meyers SP, Khademian ZP, Biegel JA, Chuang SH, Korones DN, Zimmerman RA. Primary intracranial atypical teratoid/rhabdoid tumors of infancy and childhood: MRI features and patient outcomes. „AJNR Am J Neuroradiol”. 27. 5, s. 962-71, 2006. PMID: 16687525.
Przeczytaj ostrzeżenie dotyczące informacji medycznych i pokrewnych zamieszczonych w Wikipedii.