Babesia bovis
![]() | |
| Systematyka | |
| Domena | |
|---|---|
| Gromada |
Piroplasmea |
| Rząd |
Piroplasmida |
| Rodzina |
Babesiidae |
| Rodzaj | |
| Gatunek |
Babesia bovis |
| Nazwa systematyczna | |
| Babesia bovis | |
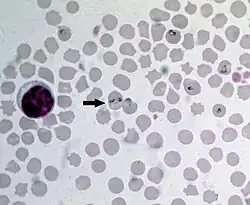
Babesia bovis – protist należy do królestwa protista, rodziny babeszje wywołuje u bydła chorobę – babeszjozę zwaną hemoglobinurią bydła. Długość 2,4 µm. Szerokość 1,5 µm[1]. Kształtu owalnego lub gruszkowatego.
Przypisy
- ↑ Alicja. Buczek: Atlas pasożytów człowieka. Lublin: Koliber, 2005, s. 32. ISBN 83-921869-6-6.
Bibliografia
- Stanisław Furmaga: Choroby pasożytnicze zwierząt domowych. Warszawa: Państwowe Wydawnictwo Rolnicze i Leśne, 1983. ISBN 83-09-00671-3.
