Brodawczak odwrócony jam nosa i zatok przynosowych
.jpg)
Brodawczak odwrócony (łac. papilloma inversum, ang. inverted papilloma; ang. Schneiderian papilloma) – łagodny guz występujący w jamie nosa. Wraz z innymi typami brodawczaków stanowi najliczniejszą grupę guzów łagodnych pochodzenia nabłonkowego, które występują w obszarze jam nosa i zatok przynosowych.
Epidemiologia
Guz częściej występuje u mężczyzn, najczęściej pomiędzy 35 a 60 rokiem życia. Ze wszystkich typów brodawczaków jam nosa i zatok przynosowych występuje najczęściej (45-70%)[1]. Występuje zwykle jednostronnie, tylko w 5% przypadków spotyka się go w obu jamach nosa jednocześnie[2]. Brodawczaki odwrócone charakteryzują się powolnym wzrostem. Rozwija się najczęściej na bocznej ścianie jamy nosowej. Tylko w 8-16% wyrastają z przegrody nosa[3].
Etiopatogeneza
Nie została w pełni wyjaśniona. Sądzi się, że jego rozwój może mieć związek z zakażeniem wirusem HPV typu 6, 11 a także 16 i 18[4]. Wyrasta prawdopodobnie z pozostałości embrionalnej błony ektodermalnej oddzielającej błonę śluzową nosa i zatok przynosowych – błony Schneidera, stąd też nazywany bywa brodawczakiem Schneidera (ang. Schneiderian papilloma)[5][6].
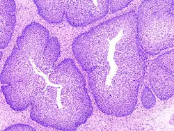
Anatomia patologiczna
Brodawczak odwrócony wyścielony jest nabłonkiem wielowarstwowym płaskim lub cylindrycznym, który rozrasta się w głąb błony śluzowej i dalej penetruje palczastymi wypustkami w kierunku światła zatok przynosowych (wzrost endofityczny). Taki typ wzrostu odróżnia go od wzrostu typowych brodawczaków, które rosną w kierunku zewnętrznej powierzchni narządu (egzofitycznie), stąd jego nazwa "odwrócony". Brodawczak odwrócony rozrastając się niszczy kość. Ma on wygląd kruchego, policyklicznego guza barwy szaroróżowej o nierównej powierzchni, który wypełnia jamę nosową oraz zatoki przynosowe. Nabłonek wielowarstwowy płaski pokrywający guz jest dojrzały. Spoczywa on na błonie podstawnej, która oddziela go od łącznotkankowego zrębiu. Soplowate wypustki nabłonkowe licznie się rozgałęziają w łącznotkankowym zrębie. W środku palczastych wypustek występują zwykle torbielowate przestrzenie wypełnione śluzem.
Objawy
Objawy brodawczaka odwróconego związane są zwykle z kierunkiem, w którym się on rozrasta. Do podstawowych skarg zgłaszanych przez chorych należą:
- jednostronne upośledzenie drożności nosa
- wyczuwalny guz w nosie
- uczucie "rozpychania" w okolicy policzka
- krwawienie z nosa – zwykle "podkrwawianie" podczas wydmuchiwania z nosa
- ropna wydzielina z nosa
- objawy zapalenia zatok przynosowych
- w badaniu rynoskopowym stwierdza się obecność guza wypełniającego jamę nosową, czasami penetrującego do przedsionka nosa; zmiana może być pokryta śluzem lub ropną wydzieliną
- w badaniu gardła niekiedy obserwuje się na jego tylnej ścianie spływanie wydzieliny śluzowej lub ropnej.
Przebieg kliniczny
Jak wspomniano wzrost brodawczaka odwróconego jest zwykle powolny. Wyrasta on najczęściej z błony śluzowej małżowiny nosowej dolnej w kierunku zatoki szczękowej. Brodawczak odwrócony ma dużą tendencję do wznów miejscowych. Wznowy brodawczaka odwróconego opisuje się nawet do 70% przypadków[7]. W dużej mierze zależą one od metody operacyjnej wybranej w leczeniu tego guza. Ponadto brodawczak odwrócony ma tendencje do zezłośliwienia, dlatego też jest on stanem przedrakowym. Przemiana złośliwa opisywana jest u 7-10% przypadków[8]. Niektórzy podają nawet częstość występowania przemiany złośliwej do 18%.[9] Najczęstszym typem raka rozwijającym się z brodawczaka odwróconego jest rak płaskonabłonkowy.
Diagnostyka
Diagnostyka brodawczaka odwróconego polega na wykonaniu:
- TK zatok przynosowych w różnych projekcjach umożliwiających dokładną ocenę stopnia zaawansowania guza
- pobranie wycinka do badania histopatologicznego, mającego na celu ostateczne ustalenie rozpoznania.
Leczenie
Leczenie brodawczaków odwróconych jest zawsze operacyjne. Wybór metody zależy od stopnia zaawansowania guza. Małe zmiany mogą być leczone drogą endoskopową (z dojścia przez jamę nosową) – FESS. Duże guzy wymagają zwykle dojścia zewnętrznego (rynotomia boczna). Zwykle preferuje się zabiegi z szerokim otwarciem jamy nosa i zatok (najczęściej szczękowej) – operacja Rouge'a-Denkera, operacja Portmanna, operacja Moure'a. Ważne jest, aby w zależności od stopnia zaawansowania guza dostęp do jamy nosowej i zatoki był odpowiednio szeroki, pozwalając na rozległe usunięcie zmiany wraz z szerokim marginesem tkanek zdrowych.
Rokowanie
Jest często niepewne. Pacjent po usunięciu brodawczaka odwróconego wymaga stałych kontroli laryngologicznych, tak jak chory onkologiczny, aby wcześnie można było zdiagnozować ewentualną wznowę lub przemianę złośliwą.
Inne umiejscowienie brodawczaka odwróconego
Brodawczak odwrócony może występować także w pęcherzu moczowym, rzadziej w moczowodzie lub miedniczce nerkowej.
Linki zewnętrzne
- Preparat operacyjny usuniętego brodawczaka odwróconego
- Brodawczak odwrócony- obraz endoskopowy (tekst w jęz. hiszpańskim). wellpath.uniovi.es. [zarchiwizowane z tego adresu (2008-02-04)].
Przypisy
- ↑ Christensen WN, Smith RR. Schneiderian papillomas: a clinicopathologic study of 67 cases. Hum Pathol 1986; 17: 393-400
- ↑ Hyams V. Papillomas of the nasal cavity and paranasal sinuses- a clinicopathological study of 315 cases. Ann ORL. 1971; 80: 192
- ↑ Kelly J i wsp. Inverted papilloma of the nasal septum. Arch Otolaryngol. Head Neck Surg 1980; 106: 767
- ↑ Beck JC, McClatchkey KD, Lesperance MM, et al. Human papillomavirus types important in progression of inverted papilloma. Otolaryngol Head Neck Surg 1995; 113: 558-563.
- ↑ Otorynolaryngologia praktyczna – podręcznik dla studentów i lekarzy. Tom I. red. G. Janczewki. wyd. Via Medica. Gdańsk 2005. ISBN 83-89861-31-3
- ↑ Inverted Papilloma
- ↑ J. Kaczmarek Zmiany i stany przednowotworowe raków płaskonabłonkowych jamy ustnej i górnych dróg oddechowychPostępy w chirurgii głowy i szyi 2004; 2: 15–31
- ↑ Lawson W, Kaufman MR, Biller HF. Treatment outcomes in the management of inverted papilloma: an analysis of 160 cases.. Laryngoscope 2003; 113: 1548-1556
- ↑ Christensen WN, Smith RR. Schneiderian papillomas: a clinicopathologic study of 67 cases. Hum Pathol 1986; 17: 393-400.
Przeczytaj ostrzeżenie dotyczące informacji medycznych i pokrewnych zamieszczonych w Wikipedii.