Brodawkowaty nowotwór glioneuronalny


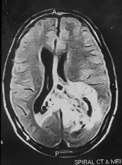
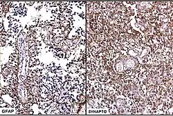
Brodawkowaty nowotwór glioneuronalny (ang. papillary glioneuronal tumor, PGNT) – niedawno opisany pierwotny złośliwy guz ośrodkowego układu nerwowego, uwzględniony w najnowszej klasyfikacji WHO (2007)[1]. Opisano mniej niż 40 przypadków pacjentów z PGNT. PGNT występuje równie często u mężczyzn i kobiet, opisywano go w różnych grupach wiekowych (wiek zachorowania od 4 do 75 lat; średnio 28 lat). Najczęstszą manifestacją nowotworu są padaczka (lokalizacja w płatach czołowych), w innych lokalizacjach objawy są niespecyficzne (ból głowy); nie opisywano objawów ogniskowych. Jest guzem mieszanym, histologicznie PGNT zawiera komponenty glejową i neuronalną, charakteryzuje się pseudobrodawkowatym typem wzrostu i hialinizacją naczyń guza. Uważany jest za guz o niskim stopniu złośliwości. PGNT został opisany w 1998 roku przez Komoriego i wsp.[2].
Przypisy
- ↑ Louis DN, Ohgaki H, Wiestler OD, Cavenee WK (eds) (2007) WHO Classification of tumours of the central nervous system. IARC, Lyon
- ↑ Komori T, Scheithauer BW, Anthony DC, Rosenblum MK, McLendon RE, Scott RM, Okazaki H, Kobayashi M. Papillary glioneuronal tumor: a new variant of mixed neuronal-glial neoplasm. „Am J Surg Pathol”. 22, s. 1171-1183, 1998.
Bibliografia
- Radotra BD, Kumar Y, Bhatia A, Mohindra S. Papillary glioneuronal tumor: a new entity awaiting inclusion in WHO classification. „Diagn Pathol”. 2. 6, 2007. DOI: 10.1186/1746-1596-2-6. PMID: 17288594.
Przeczytaj ostrzeżenie dotyczące informacji medycznych i pokrewnych zamieszczonych w Wikipedii.