CADASIL

CADASIL, mózgowa autosomalna dominująca arteriopatia z podkorowymi zawałami i leukoencefalopatią (ang. Cerebral Autosomal Dominant Arteriopathy with Subcortical Infarcts and Leucoencephalopathy) – uwarunkowana genetycznie choroba naczyń mózgowych, którą charakteryzują nawracające udary niedokrwienne mózgu, otępienie oraz zmiany w istocie białej widoczne w badaniu MRI.
Dziedziczna demencja wielozawałowa u licznych członków jednej rodziny z ustalonym typem dziedziczenia została opisana przez Sourandera i Walindera w 1977[1] oraz Sonninena i Savontausa w 1987[2].
Etiologia
Jest to choroba uwarunkowana genetycznie, dziedziczona w sposób autosomalny dominujący. Wywołują ją mutacje w genie NOTCH3 zlokalizowanym na chromosomie 19 (locus 19p13.2-p13.1). W pobliżu locus genowego dla CADASIL zlokalizowano również gen odpowiedzialny za rodzinną migrenę hemiplegiczną.
Produktem genu jest przezbłonowy receptor Notch 3.
Objawy i przebieg
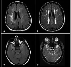
CADASIL charakteryzuje się: nawracającymi epizodami udarów podkorowych lub przemijającymi atakami niedokrwiennymi (TIA) u osób młodych przy braku klasycznych czynników miażdżycy, np. zaburzeń lipidowych lub nadciśnienia. Powtarzające się, często subklinicznie incydenty niedokrwienne (bez wyraźnych objawów zauważalnych przez pacjenta) prowadzą do rozległej leukoencefalopatii widocznej w badaniu MRI głowy w postaci zlokalizowanych głęboko małych zawałów jąder podstawy i istoty białej. Objawowe udary mogą się manifestować niedowładem kończynowym, niedowładem mięśni twarzy, zaburzeniami mowy, zaburzeniami świadomości. Często towarzyszą temu bóle głowy o charakterze migreny z aurą. Wraz z upływem czasu rozwija się na tym podłożu otępienie, głównie podkorowe i zespół rzekomoopuszkowy.
Diagnostyka
- Rodzinny charakter schorzenia wskazuje na etiologię genetyczną, stąd dokładny wywiad rodzinny ma podstawowe znaczenie diagnostyczne.
- MRI głowy (czulsze od badania TK)- wykazuje początkowo wieloogniskowe zmiany niedokrwienne w głębokich strukturach mózgu, a następnie rozległe uszkodzenie istoty białej, z zaoszczędzeniem tzw. włókien „U”. Obraz nie jest specyficzny.
- Biopsja skórno-mięśniowa – wykazuje zmiany w ścianie naczyń krwionośnych w postaci ziarnistych złogów eozynofilowych w błonie środkowej tętnic (tzw. granularny osmofilny materiał GOM ang. granular osmiophilic material). Jest bardziej swoista, lecz mniej czuła. Najczulszą metodą jest biopsja mózgu (stosunkowo rzadko wykonywana). W obrazie dominuje zajęcie drobnych tętnic przeszywających istoty białej, jąder podkorowych i tętnic oponowych – obecność ziarnistego, eozynofilowego materiału w błonie środkowej naczyń. Ściana tętnicy ulega znacznemu scieńczeniu.
Przypisy
Bibliografia
- Choroby naczyniowe. W: Levis P. Rowland: Neurologia Merritta. pod red. H. Kwiecińskiego i A. Kamińskiej. Wrocław: URBAN&PARTNER, 2004, s. 608.
- Choroba niedokrwienna naczyń mózgowych. W: Walter Bradley: Neurologia w praktyce klinicznej. pod red. A. Prusińskiego. Lublin: Wydawnictwo CZELEJ, 2006, s. 1460.
Linki zewnętrzne
- CEREBRAL ARTERIOPATHY, AUTOSOMAL DOMINANT, WITH SUBCORTICAL INFARCTS AND LEUKOENCEPHALOPATHY; CADASIL w bazie Online Mendelian Inheritance in Man (ang.)
Przeczytaj ostrzeżenie dotyczące informacji medycznych i pokrewnych zamieszczonych w Wikipedii.