Choroba Fahra
| Morbus Fahr | |
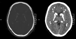
![]() Obraz choroby Fahra w tomografii komputerowej | |
| Klasyfikacje | |
| ICD-10 |
G23.8 |
|---|---|
Choroba Fahra, zespół Fahra, idiopatyczne zwapnienie jąder podstawy, idiopatyczne zwapnienie zwojów podstawy – rzadka, uwarunkowana genetycznie choroba obejmująca ośrodkowy układ nerwowy, dziedziczona w sposób autosomalnie dominujący[1]. W sposób dominujący dziedziczone są mutacje genów SLC20A2[2]. Charakteryzuje się występowaniem obustronnych i symetrycznych zwapnień w jądrach podstawnych, które mogą pojawiać się także w innych strukturach anatomicznych mózgowia (np. korze mózgowej, móżdżku)[3][4].
Jako pierwszy opisał ją niemiecki patolog Karl Theodor Fahr w 1930 roku[2]. Inny opis przedstawili Jean Alfred Émile Chavany i Jacques Brunhes, stąd rzadziej spotykana nazwa – zespół Chavany-Brunhesa.
Objawy
Objawy najczęściej ujawniają się w czwartej lub piątej dekadzie życia (czasami nawet w młodości[5]) i obejmują: niepewność chodu, drgawki, zawroty głowy, dyzartrię, bóle głowy, niedociśnienie ortostatyczne i omdlenia[3]. Występują także: parkinsonizm, drżenie, pląsawica, dystonia, ataksja, halucynacje i urojenia, agresywność, drażliwość, zaburzenia osobowości i zaburzenia nastroju[3]. Objawy mogą przypominać manię lub schizofrenię[6][7].
Leczenie
Obecnie brak jest leczenia przyczynowego[3]. W zależności od objawów stosuje się lewodopę, jeżeli występuje parkinsonizm, jednakże ze słabym rezultatem. Haloperydol oraz węglan litu mogą zmniejszyć objawy psychotyczne[8].
Przypisy
- ↑ Hong Wang i inni, Fahr's disease in two siblings in a family: A case report, „Experimental and Therapeutic Medicine”, 9 (5), 2015, s. 1931–1933, DOI: 10.3892/etm.2015.2356, ISSN 1792-0981, PMID: 26136916, PMCID: PMC4471777 [dostęp 2018-02-10].
- 1 2 T. Fahr. Idiopathische Verkalkung der Hirngefässe. „Zentralblatt für allgemeine Pathologie und pathologische Anatomie”. 50, s. 129-133, 1930-1931. (niem.).
- 1 2 3 4 Amir A. Mufaddel, Ghanem A. Al-Hassani, Familial idiopathic basal ganglia calcification (Fahr’s disease), „Neurosciences”, 19 (3), 2014, s. 171–177, ISSN 1319-6138, PMID: 24983277, PMCID: PMC4727649 [dostęp 2018-01-24].
- ↑ Qingtang Lin i inni, Concurrence of Fahr's disease and brain tumor: A case report and review of the literature, „Experimental and Therapeutic Medicine”, 10 (5), 2015, s. 1915–1917, DOI: 10.3892/etm.2015.2761, ISSN 1792-0981, PMID: 26640572, PMCID: PMC4665700 [dostęp 2018-02-10].
- ↑ Raheel Mushtaq i inni, Neuropsychiatric manifestations of Fahr's disease pathogenesis and potential for treatment, „Industrial Psychiatry Journal”, 22 (2), 2013, s. 153–154, DOI: 10.4103/0972-6748.132931, ISSN 0972-6748, PMID: 25013318, PMCID: PMC4085809 [dostęp 2018-02-10].
- ↑ Satyakam Mohapatra, Ashirbad Satapathy, A Case of Schizophrenia Like Psychosis Due to Fahr's Disease, „Indian Journal of Psychological Medicine”, 38 (2), 2016, s. 155–156, DOI: 10.4103/0253-7176.178813, ISSN 0253-7176, PMID: 27114631, PMCID: PMC4820558 [dostęp 2018-02-10].
- ↑ Sheikh Shoib i inni, Fahr’s Disease Presenting as Mania: A Case Report, „Iranian Journal of Psychiatry and Behavioral Sciences”, 6 (2), 2012, s. 102–104, ISSN 1735-8639, PMID: 24644491, PMCID: PMC3940010 [dostęp 2018-02-10].
- ↑ KM. Munir. The treatment of psychotic symptoms in Fahr's disease with lithium carbonate. „J Clin Psychopharmacol”. 6 (1), s. 36-8, Feb 1986. PMID: 3081601.
Linki zewnętrzne
- Basal ganglia calcification, idiopathic, 1; IBGC1 w bazie Online Mendelian Inheritance in Man (ang.)
- Fahr's disease w bazie Who Named It (ang.)
Przeczytaj ostrzeżenie dotyczące informacji medycznych i pokrewnych zamieszczonych w Wikipedii.
