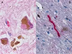
Ciała Lewy’ego

Ciała Lewy’ego – nieprawidłowe agregaty białek znajdujące się w ciałach neuronów obszarów limbicznych i korowych. Są eozynofilne w barwieniu H-E. Wyróżnia się dwa ich typy: klasyczne (występujące w pniu mózgu) i korowe. Klasyczne ciała Lewy’ego mają jasne halo średnicy około 10 nm utworzone przez włókienkowe białka, głównie alfa-synukleinę. Korowe ciała Lewy’ego, mimo że też mają w swoim składzie alfa-synukleinę, nie posiadają halo. Inne białka budujące ciała Lewy’ego to ubikwityna, białka neurofilamentów i alfa-B krystalina.
Ciała Lewy’ego typowo występują w mózgowiu chorych na chorobę Parkinsona. Są też charakterystyczne (co oddaje nazwa) dla otępienia z ciałami Lewy’ego, niekiedy występują w wariancie choroby Alzheimera z ciałami Lewy’ego i w chorobie Hallervordena-Spatza[2].
Ciała Lewy’ego z chorobą Parkinsona powiązali w 1912 roku niemieccy neurolodzy Fritz Heinrich Lewy i Edmund Forster[3]. Termin ciał Lewy’ego (fr. corps de Lewy) wprowadził do medycyny rosyjsko-francuski neuropatolog Konstantin Trietiakow, opisując w swojej dysertacji doktorskiej zmiany w istocie czarnej zmarłych pacjentów z parkinsonizmem[4].
Przypisy
- ↑ Werner CJ, Heyny-von Haussen R, Mall G, Wolf S. Proteome analysis of human substantia nigra in Parkinson’s disease. „Proteome Sci”. 6, s. 8, 2008. DOI: 10.1186/1477-5956-6-8. PMID: 18275612.
- ↑ Zarranz JJ, Gómez-Esteban JC, Atarés B, Lezcano E, Forcadas M. Tau-predominant-associated pathology in a sporadic late-onset Hallervorden-Spatz syndrome. „Movement disorders : official journal of the Movement Disorder Society”. 1 (21), s. 107–11, styczeń 2006. DOI: 10.1002/mds.20661. PMID: 16114023.
- ↑ Forster E, Lewy FH. "Paralysis agitans". [w:] Handbuch der Neurologie (red. Max Lewandowsky). Berlin: Springer Verlag 1912, 920-933.
- ↑ Tretiakoff C. Contribution a l’etude de l’anatomie pathologique du locus niger de Soemmering avec quelques deductions relatives a la pathogenie des troubles du tonus musculaire et de la maladie de Parkinson. Paryż 1919.
Przeczytaj ostrzeżenie dotyczące informacji medycznych i pokrewnych zamieszczonych w Wikipedii.