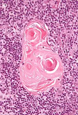
Ciałka Hassalla

Ciałka Hassalla – drobne, kuliste struktury, obecne tylko w części rdzennej grasicy, utworzone przez zdegenerowane i zebrane w grupy komórki nabłonkowe. Pojawiają się już w życiu płodowym, a ich liczba wzrasta do okresu dojrzałości płciowej[1]. Ich funkcja nie jest w pełni znana. Prawdopodobnie mogą być miejscem rozpadu limfocytów oraz zachodzenia procesów wydzielniczych grasicy. Opisał je Arthur Hill Hassall w 1849 roku[2].
Zbudowane z koncentrycznie ułożonych, spłaszczonych komórek nabłonkowych, wykazujących często cechy rogowacenia. Komórki tych ciałek produkują cytokiny i współpracując z obecnymi w rdzeniu komórkami dendrytycznymi indukują różnicowanie się limfocytów Treg[3].
Przypisy
- ↑ Histologia. Podręcznik dla studentów medycyny i stomatologii red. Maciej Zabel, Wrocław 2000, wyd. 1 Elsevier Urban & Partner strona 134
- ↑ Hassall AH: The microscopic anatomy of the human body, in health and disease. 2 volumes. London, 1846, 1849. Page 9
- ↑ Tadeusz Cichocki, Jan Andrzej Litwin, Jadwiga Mirecka, Kompendium histologii: podręcznik dla studentów nauk medycznych i przyrodniczych, Wydanie 5. poprawione i uzupełnione, Kraków: Wydawnictwo Uniwersytetu Jagiellońskiego, 2016, strona 234, 235, ISBN 978-83-233-4166-6 [dostęp 2024-02-25].
Linki zewnętrzne
- Hassall's corpuscles w bazie Who Named It (ang.)
Przeczytaj ostrzeżenie dotyczące informacji medycznych i pokrewnych zamieszczonych w Wikipedii.