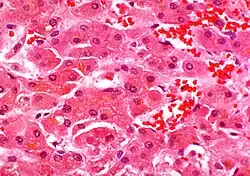
Ciałka Mallory’ego

Ciałka Mallory’ego – kwasochłonne cytoplazmatyczne wtręty komórkowe, występujące w hepatocytach. Są to nieregularne skupienia włókienek keratynowych i innych białek (filamentów pośrednich) przypominające „kupkę siana”. Ujawniają się w wątrobie wraz ze stłuszczeniem od kilku godzin do kilku dni po nadużyciu alkoholu, ale rzadko występują gdy nie było jego nadużycia.
Występują u:
- osób przewlekle nadużywających alkohol
- w chorobie Wilsona
- przy cholestazie
- w raku wątrobowokomórkowym
Ciałka Mallory’ego występują też w naczyniach limfatycznych i skórze u chorych na płonicę.
Bibliografia
- Jerzy Stachura, Wenancjusz Domagała: Patologia znaczy słowo o chorobie. T. 1. Kraków: Polska Akademia Umiejętności, 2008, s. 20, 344.
Przeczytaj ostrzeżenie dotyczące informacji medycznych i pokrewnych zamieszczonych w Wikipedii.