Ciałka Negriego

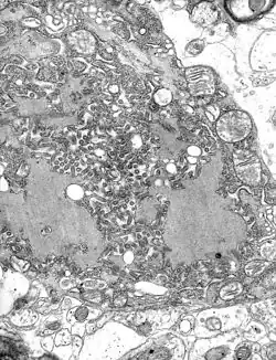
Zdjęcie z mikroskopu elektronowego komórki zarażonej wirusem wścieklizny: widać liczne wiriony wirusa (szare, pałeczkowate struktury) i większe, ciemniejsze ciałka wtrętowe Negriego

Ciałka Negriego (ang. Negri bodies) – okrągławe, podobne do erytrocytów ciałka wtrętowe spotykane w cytoplazmie neuronów okolicy hipokampa i komórek Purkiniego móżdżku, patognomoniczne dla wścieklizny[1]. Immunohistochemicznie i ultrastrukturalnie można w nich wykazać obecność wirusa wścieklizny. Nazwa ciałek pochodzi od ich odkrywcy, włoskiego lekarza, patologa i mikrobiologa Adelchi Negriego[2].

Przypisy

  1. Jerzy Stachura, Wenancjusz Domagała, Patologia znaczy słowo o chorobie, Kraków: Wydawnictwo PAU, 2003, ISBN 83-88857-65-7, OCLC 749316041.
  2. Negri A. Contributo allo studio dell’eziologia della rabia. „Bollettino della Societa medico-chirurgica”. 88, s. 229, 1903.

Przeczytaj ostrzeżenie dotyczące informacji medycznych i pokrewnych zamieszczonych w Wikipedii.