Cyfrowa angiografia subtrakcyjna


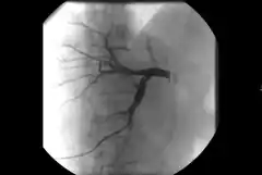
Cyfrowa angiografia subtrakcyjna (ang. DSA, Digital Subtraction Angiography) – badanie diagnostyczne przedstawiające dokładny przebieg naczyń krwionośnych w tkance kostnej i tkankach miękkich. Można obrazować także inne struktury anatomiczne, np. drogi żółciowe. Podczas badania rejestrowane są dwa obrazy rentgenowskie, przed podaniem kontrastu zwany „maską" i po podaniu kontrastu jeden po drugim. Są one elektronicznie zapisywane w formie cyfrowej, w tym jeden w postaci negatywu. Odjęcie (subtrakcja) obrazu „maski" od obrazu z kontrastem powoduje, że wszystkie dodatkowe detale znikną tworząc jednolity, szary obraz. Jednak jeśli między dwiema ekspozycjami wystąpią różnice w zawartych elementach obrazów, np. wstrzyknie się do krwiobiegu określoną ilość środka cieniującego, jedyną rzecz, którą będzie można zobaczyć, to kontrast widoczny w naczyniach krwionośnych. Wszystkie inne szczegóły bez cieni z nakładających się tkanek, w tym także kości zacierające obraz, pozostaną szare. Zapewnia to wyraźny obraz naczyń i pozwala na zastosowanie niższej dawki środka kontrastowego[1][2][3].
W celu uwidocznienia układu naczyń będącego przedmiotem badania lub jego poszczególnych odcinków, używa się odpowiednich cewników naczyniowych dopasowanych kształtem i długością do badanych żył lub tętnic. Ponieważ cały proces powstawania badania angiografii subtrakcyjnej obecnie rejestrowany jest w formie cyfrowej, obraz, jego poszczególne składowe jak wielkość, kontrast, nasycenie, jasność można regulować w celu wydobycia odpowiedniej informacji diagnostycznej[3].
Wskazania
Istnieje wiele wskazań do angiografii, a ich liczba rośnie od czasu, gdy wykazano, że radiologia interwencyjna z powodzeniem zastępuje wiele otwartych chirurgicznych procedur naczyniowych. Najważniejsze przykłady obejmują[3]:
- wewnątrznaczyniowa naprawa tętniaków (stentgraft)
- angioplastyka balonowa tętnic
- stentowanie tętnic
- embolizacja wewnątrznaczyniowa
- trombektomia
Przeciwwskazania
Niewydolność nerek i alergia na jodowane środki kontrastowe są względnymi przeciwwskazaniami. Niektóre ośrodki stosują dwutlenek węgla, lub roztwór chlorek sodu (NaCl) jako środek kontrastowy w takich przypadkach[1][3].
Technika
Cyfrowa angiografia subtrakcyjna służy do tworzenia obrazów naczyń krwionośnych bez zakłócających cieni z nakładających się tkanek. Aby to uzyskać obraz bez kontrastu (obraz maski) obszaru badanego jest wykonywany przed wstrzyknięciem środka cieniującego i pokazuje anatomię, a także wszelkie nieprzepuszczalne dla promieni rentgenowskich ciała obce (klipsy chirurgiczne, stenty itp.), podobnie jak zwykły obraz rentgenowski. Obrazy kontrastowe wykonywane kolejno podczas wstrzykiwania materiału kontrastowego przedstawiają wypełnione kontrastem naczynia z uwzględnieniem upływu czasu nałożone na inne tkanki i są przechowywane w komputerze. Obraz maski jest następnie odejmowany od obrazów kontrastowych piksel po pikselu. Końcowe obrazy odejmowania pokazują tylko wypełnione środkiem cieniującym naczynia. Rejestracja może kontynuować sekwencję odejmowanych obrazów w oparciu o początkową maskę. Obrazy odejmowania można oglądać w czasie rzeczywistym. Nawet jeśli pacjent leży nieruchomo, z pewnością wystąpi pewien stopień błędnej rejestracji obrazów z powodu ruchu między pozyskaniem obrazu maski a kolejnymi obrazami kontrastowymi. Przesunięcie pikseli (ręczne lub automatyczne), tj. retrospektywne przesunięcie maski, może zminimalizować błędną rejestrację, ale ruchy ogniskowe, takie jak perystaltyka jelit, nie zostaną skorygowane[1][2][3].
Zobacz też
Przypisy
- 1 2 3 Digitale Subtraktionsangiographie. flexikon.doccheck.com. [dostęp 2023-10-26]. (niem.).
- 1 2 Digital subtraction. www.oxfordreference.com. [dostęp 2023-10-26]. (ang.).
- 1 2 3 4 5 Digital subtraction angiography. radiopaedia.org. [dostęp 2023-10-26]. (ang.).
Przeczytaj ostrzeżenie dotyczące informacji medycznych i pokrewnych zamieszczonych w Wikipedii.