Czaszkogardlak
| craniopharyngioma | |
![]() | |
| Klasyfikacje | |
| ICD-10 | |
|---|---|


Czaszkogardlak (dawniej: guz Erdheima, łac. craniopharyngioma, ang. craniopharyngioma) – stosunkowo rzadki, łagodny guz nowotworowy o lokalizacji wewnątrzczaszkowej, wywodzący się z pozostałości kieszonki Rathkego. Jest guzem łagodnym (I° według WHO).
Epidemiologia
Czaszkogardlaki są rzadkimi nowotworami, częstość zachorowań ocenia się na 0,5–2:100 000. Stanowi około 9% guzów wewnątrzczaszkowych dzieci i 2,5–4% nowotworów wewnątrzczaszkowych ogółem. Obserwuje się dwa szczyty zachorowań: między 5. a 14. oraz między 65. a 74. rokiem życia. Craniopharyngioma występuje z jednakową częstością u kobiet i mężczyzn.
Objawy i przebieg
Objawy kliniczne zależą od lokalizacji guza. Są to przede wszystkim objawy wynikające z ucisku masy guza na sąsiadujące struktury anatomiczne; w przypadku ucisku przysadki jest to niedoczynność lub nadczynność przysadki, przy ucisku skrzyżowania wzrokowego są to zaburzenia widzenia (niedowidzenie połowicze dwuskroniowe). Występują także objawy wzmożonego ciśnienia śródczaszkowego: wymioty i bóle głowy[2].
Wzrost guza jest zazwyczaj bardzo powolny, często wieloletni.
Obraz makroskopowy
Guz zwykle ma średnicę 3–4 cm, najczęściej jest torbielowaty, czasem wielokomorowy. Rzadziej ma postać otorebkowanego, litego guza.
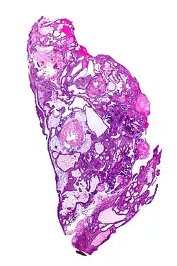
Obraz histologiczny
Guz może mikroskopowo przypominać szkliwiaka (adamantinoma) i tworzyć wyspy oraz sznury komórek nabłonka wielowarstwowego płaskiego lub nabłonka walcowatego w łącznotkankowym podścielisku (wariant szkliwiakowaty, adamantinomatous variant). W obrazie histologicznym można też stwierdzić rogowacenie, zwapnienia, torbiele, włóknienie i przewlekły stan zapalny. Druga odmiana czaszkogardlaka, odmiana brodawkowata (papillary variant), tworzy gniazda komórek nabłonka płaskiego, bez rogowacenia, zwapnień ani torbieli[3].
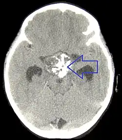
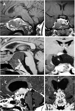
Badania obrazowe
W tomografii komputerowej guz ma postać torbielowatej, hipodensyjnej masy, często z obecnymi nawapnieniami, położonej w linii środkowej. Część lita guza może ulegać wzmocnieniu kontrastowemu.
Leczenie
Leczeniem z wyboru jest resekcja guza. W niektórych przypadkach całkowita resekcja może nastręczać duże trudności: odstępuje się wówczas od niej, ograniczając do opróżnienia torbieli i implantując do niej izotopy promieniotwórcze lub wdrażając następczą teleradioterapię. Technika napromieniania jest taka jak przy guzach przysadki, stosuje się dawki 50–54 Gy w 28–30 frakcjach[4].
Historia
Pierwszy opis guza przedstawił Friedrich Albert von Zenker w 1857. Jakow Onanow w 1892 zauważył jako pierwszy podobieństwo histologiczne czaszkogardlaków i szkliwiaków[5]. Nazwę craniopharyngioma wprowadził Harvey Cushing w 1932. Jedne z pierwszych prób operacyjnego leczenia guza podjął Ludvig Puusepp w 1923 roku[6].
Przypisy
- 1 2 Garnett, MR, Puget, S, Grill, J, Sainte-Rose, C. Craniopharyngioma. „Orphanet Journal of Rare Diseases”. 2, s. 18, 2007. PMID: 17425791.
- ↑ Neurologia. Podręcznik dla studentów medycyny. Wojciech Kozubski, Paweł P. Liberski (red.). Warszawa: Wydawnictwo Lekarskie PZWL, 2006, s. 485–486. ISBN 83-200-3244-X.
- ↑ Nowotwory ośrodkowego układu nerwowego. W: Dariusz J. Jaskólski, Wielisław Papierz, Wojciech Biernat, Paweł P. Liberski: Choroby układu nerwowego. Wojciech Kozubski, Paweł P. Liberski (red.). Warszawa: Wydawnictwo Lekarskie PZWL, 2004, s. 178–180. ISBN 83-200-2636-9.
- ↑ Zarys neurochirurgii. Mirosław Ząbek (red.). Warszawa: Wydawnictwo Lekarskie PZWL, 1999, s. 583.
- ↑ Onanoff J. Sur un cas d'épithélioma: étude histologique (1892)
- ↑ Ljunggren B, Bruyn G, Käbin I, Buchfelder M. Ludvig Puusepp-Founder of Estonian Neurosurgery and Harvey Cushing's Eastern Hemisphere Counterpart. „Neurosurgery Quarterly”. 8 (4), ss. 261–270 (1998).
Linki zewnętrzne
- George C Bobustuc: Craniopharyngioma. eMedicine.
- Boston Neurosurgical Foundation. [dostęp 2007-03-18]. [zarchiwizowane z tego adresu (2011-03-17)].
Przeczytaj ostrzeżenie dotyczące informacji medycznych i pokrewnych zamieszczonych w Wikipedii.
