Fluoroza
| Fluorosis | |
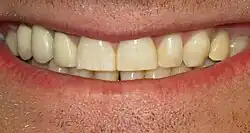
![]() Fluoroza zębów | |
| Klasyfikacje | |
| ICD-10 |
K00.3 |
|---|---|
Fluoroza – choroba, której objawy występują w szkliwie zębów, kościach i ścięgnach, których przyczyną jest zbyt duża zawartość fluoru w wodzie pitnej i pożywieniu. Choroba w swojej najlżejszej postaci objawia się plamami kredowymi na zębach. Plamy te wywołują nadżerkę szkliwa. Powoduje to zwiększenie kruchości i twardości szkliwa. U dorosłych fluoroza prowadzi do uszkodzenia nerwów. Choroba najbardziej niebezpieczna jest dla dzieci, które się intensywnie rozwijają, a także dla młodzieży.
Rodzaje fluorozy
- hydrofluoroza
- fluoroza pokarmowa
- fluoroza przemysłowa
- fluoroza powodowana przez lekarstwa
Fluoroza zębów
- plamistość szkliwa; powstaje przy stężeniu F- w wodzie 1,5–2 ppm
- uszkodzenie szkliwa
- jasne i ciemne pasma na koronach zębów
- nadżerki
- złamania
- znaczne pochłanianie barwników
Zatrucie ostre
Pojawia się przy większych ilościach F podanych jednorazowo, np. przy okazji wypadku przemysłowego czy zażycia zbyt dużej ilości preparatu z fluorem (lub zrobienie tego w niewłaściwy sposób np. wypicie płukanki).
Objawy
- biegunka
- bóle brzucha
- wymioty
- hipokalcemia
W razie kontaktu z układem oddechowym dodatkowo:
- uszkodzenie śluzówek,
- obrzęk płuc.
Fluoroza przewlekła
- apatia
- ataksja
- bóle w układzie kostnym, a także mięśniowym i głowy
- deformacje kości i stawów (np. koślawość kolan, deformacje kręgosłupa, podudzi, klatki piersiowej)
- drżenia
- kaszel
- niedobór magnezu
- nieżyt nosa
- odczyny okostnowe i śródkostne
- osłabienie
- osteomalacja w przypadku niedoboru wapnia
- osteoskleroza
- parestezje
- senność
- skostnienia, zwapnienia
- wyrośla kostne
- uszkodzenie nerek
- uszkodzenie wątroby
- zaburzenia równowagi kwasowo-zasadowej
- zaburzenia równowagi jonowej
- zaburzenia wzroku
- zahamowanie wzrostu chrząstki nasadowej kości
- zapalenie dziąseł
- zaparcia
Działanie nadmiaru fluoru
Na zęby
Fluor utrudnia mineralizację szkliwa: w nadmiarze uszkadza komórki tworzące szkliwo, ameloblasty, hamuje także działanie enzymów, np. fosfataz, oraz przeszkadza też we wzroście kryształów.
Na kości
Ekspozycja na nadmiar fluoru prowadzi do pogrubia się warstwy korowej w kościach, oraz zwiększenia gęstości istoty gąbczastej.
Na enzymy
Udowodniono, iż fluor kompleksuje wiele metali (m.in Ca, Cu, Fe, Mg, Mn), reakcja taka zachodzi też prawdopodobnie w organizmie ludzkim. W związku z tym uniemożliwia on tym metalom przyłączenie się do enzymu, dla którego jest kofaktorem, tym samym uniemożliwiając działanie enzymu. Dotyczy to ważnych enzymów, m.in. utleniających wchodzących w skład różnych szlaków metabolicznych, także z syntezą ATP.
Zapobieganie
- Unikanie rejonów o wysokim stężeniu fluoru czy to naturalnym, czy ze źródeł przemysłowych
- Niespożywanie fluorowanej wody
- Umiar w korzystaniu z preparatów z fluorem (dzisiaj fluor dodaje się głównie do past do zębów)
Zobacz też
- szkodliwe działanie fluoru w atmosferze – freony
Bibliografia
- "Ekologia medyczna- wybrane zagadnienia" pod redakcją Alicji Kurnatowskiej i Piotra Kurnatowskiego, rozdział 7. "Wpływ nadmiaru fluoru na stan zdrowia i rozwój dzieci", Danuta Chlebna-Sokół
Przeczytaj ostrzeżenie dotyczące informacji medycznych i pokrewnych zamieszczonych w Wikipedii.
