Glejak wielopostaciowy
| Glioblastoma multiforme | |
![]() Preparat sekcyjny glejaka wielopostaciowego, przekrój czołowy. Ognisko pierwotne znajdowało się w lewej półkuli, guz naciekał też na ciało modzelowate (środek przekroju). | |
| Klasyfikacje | |
| ICD-10 | |
|---|---|


Glejak wielopostaciowy (GBM; łac. glioblastoma multiforme) – pierwotny nowotwór złośliwy mózgu pochodzenia glejowego, należący do szeregu astrocytarnego, o nieznanej etiologii. Jest to najczęściej występujący pierwotny guz nowotworowy OUN[1].
Klasyfikacja
Glejak wielopostaciowy należy do grupy glejaków rozsianych typu dorosłego[1]. Klasyfikacja WHO z 2021 roku klasyfikuje glejaka wielopostaciowego jako nowotwór o IV stopniu złośliwości[2]. Piąte wydanie klasyfikacji (z 2021) wprowadziło zmiany w podziale nowotworów, w tym glejaka wielopostaciowego, w porównaniu do wydania czwartego. Od tego wydania, za glejaka wielopostaciowego uznaje się tylko nowotwór IDH-typ dziki (ang. IDH-wildtype), a wszystkie postacie wtórne zostały włączone do grupy gwiaździaków IDH-mutant[1]. Ponadto, piąta edycja klasyfikacji WHO określiła molekularne kryteria rozpoznania, a spełnienie jednego z nich upoważnia do rozpoznania glejaka wielopostaciowego[1]. Są nimi[1][3]:
Charakterystyka guza
Glejak wielopostaciowy charakteryzuje się wzrostem naciekającym, intensywną migracją i szybkim szerzeniem się nowotworu w obrębie otaczającej tkanki nerwowej. Następuje naciekanie wzdłuż włókien nerwowych, naczyń krwionośnych, opon miękkich, wokół komórek nerwowych; ten typ wzrostu guza utrudnia całkowitą chirurgiczną resekcję glejaka – stąd wznowienia guzów. Glejaki generalnie nie mają zdolności przerzutowania, rzadko spotykane jest zjawisko implantacji drogami płynowymi.
Lokalizacja
Guz najczęściej spotykany jest w półkulach mózgu, w płacie czołowym i skroniowym.
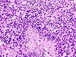
Obraz histologiczny
.jpg)
Histologicznie stwierdza się bardzo dużą atypię komórek i obecność ognisk martwicy otoczonych gęstym pasem komórek nowotworowych – tzw. martwica palisadowata. Ogniskowo proliferują drobne naczynia.
Objawy i przebieg
Objawy kliniczne zależą w pierwszej kolejności od umiejscowienia guza i obejmują:
- objawy ogólne (objawy nadciśnienia śródczaszkowego – bóle głowy, nudności i wymioty najbardziej nasilone rano, zespół psychoorganiczny – osłabienie sprawności umysłowej, zaburzenia pamięci, uogólnione napady padaczkowe; obrzęk mózgu)
- objawy ogniskowe, specyficzne dla lokalizacji guza (niedowład, zaburzenia czucia, zaburzenia mowy, wzroku, słuchu, objawy móżdżkowe – np. zaburzenia równowagi, uszkodzenie nerwów czaszkowych, ogniskowe napady padaczkowe).
Guz zlokalizowany w płacie czołowym może się manifestować postępującym otępieniem, obniżeniem napędu, brakiem krytycyzmu, niekiedy agresją i niepohamowanym popędem seksualnym. Guz płata skroniowego może dawać takie objawy jak stany lękowe, depresyjne oraz upośledzenie pamięci świeżej (chory zapomina fakty sprzed kilku godzin czy dni). Guz móżdżku powoduje zaburzenia równowagi i zawroty głowy, a także oczopląs. Spośród innych objawów ogniskowych częste są niedowłady kończyn, zaburzenia mowy, czucia, zaburzenia równowagi i chodu.
Rozpoznanie
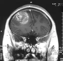
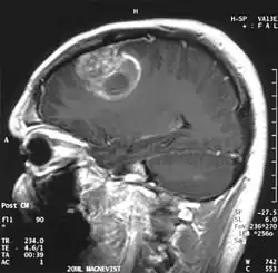
W obrazowaniu metodą rezonansu magnetycznego stwierdza się guz o niejednorodnym sygnale, ze współistniejącymi zmianami wstecznymi. Glejak wielopostaciowy ulega silnemu, nieregularnemu, brzeżnemu wzmocnieniu kontrastowemu.
W tomografii komputerowej guz objawia się w początkowym okresie jako ognisko hipodensyjne, nie ulega wzmocnieniu po podaniu kontrastu. Później współczynnik osłabienia jest zróżnicowany, ognisko ma nieregularne granice i otoczone jest szerokim pasmem obrzęku.
Leczenie
Obecne metody leczenia: chirurgiczna resekcja, embolizacja, chemioterapia, radioterapia (brachyterapia i teleradioterapia, w tym operacja przy pomocy noża gamma) oraz terapie eksperymentalne, między innymi terapie genowe i immunoterapie.
Pewne nadzieje budzi terapia wykorzystująca zmienne pole elektryczne (ang. tumor-treating fields)[4][5], w szczególności jako uzupełnienie chemioterapii.
Klasyfikacja ICD10
| kod ICD10 | nazwa choroby |
|---|---|
| ICD-10: C71 | Nowotwór złośliwy mózgu |
| ICD-10: C71.0 | Mózg z wyjątkiem płatów i komór |
| ICD-10: C71.1 | Płat czołowy |
| ICD-10: C71.2 | Płat skroniowy |
| ICD-10: C71.3 | Płat ciemieniowy |
| ICD-10: C71.4 | Płat potyliczny |
| ICD-10: C71.5 | Komory mózgowe |
| ICD-10: C71.6 | Móżdżek |
| ICD-10: C71.7 | Pień mózgu |
| ICD-10: C71.8 | Zmiana przekraczająca granice mózgu |
| ICD-10: C71.9 | Mózg, nieokreślony |
Przypisy
- 1 2 3 4 5 Maria Ejma i inni, [Rare clinical form of glioblastoma multiforme], „Postepy Higieny I Medycyny Doswiadczalnej (Online)”, 68, 2014, s. 316–324, DOI: 10.5604/17322693.1095834, ISSN 1732-2693, PMID: 24864082 [dostęp 2018-01-25].
- ↑ D.N. Louis, A. Perry, P. Wesseling, D.J. Brat i inni. The 2021 WHO Classification of Tumors of the Central Nervous System: a summary. „Neuro Oncology”. 23 (8), s. 1231-1251, sierpień 2021. DOI: 10.1093/neuonc/noab106. PMID: 34185076. (ang.).
- ↑ Aleksandra Hincz: Ocena potencjalnej wartości diagnostycznej i prognostycznej ekspresji produktu genu ALOX-15 i szpikopochodnych komórek LCA dodatnich w nowotworach ośrodkowego układu nerwowego oraz roli procesów frakcjonowania izotopowego w tkance nowotworowej i jej otoczeniu. Uniwersytet Medyczny w Łodzi, 2022. [dostęp 2023-12-15].
- ↑ Aaron Michael Rulseh i inni, Long-term survival of patients suffering from glioblastoma multiforme treated with tumor-treating fields, „World Journal of Surgical Oncology”, 10, 2012, s. 220, DOI: 10.1186/1477-7819-10-220, PMID: 23095807, PMCID: PMC3514151 [dostęp 2022-12-20].
- ↑ R. Stupp i inni, A prospective, randomized, open-label, phase III clinical trial of NovoTTF-100A versus best standard of care chemotherapy in patients with recurrent glioblastoma., „Journal of Clinical Oncology”, 28 (18_suppl), 2010, LBA2007–LBA2007, DOI: 10.1200/jco.2010.28.18_suppl.lba2007 [dostęp 2022-12-20] (ang.).
Bibliografia
- Nowotwory ośrodkowego układu nerwowego. W: Dariusz J. Jaskólski, Wielisław Papierz, Wojciech Biernat, Paweł P. Liberski: Choroby układu nerwowego. Wojciech Kozubski, Paweł P. Liberski (red.). Warszawa: Wydawnictwo Lekarskie PZWL, 2004, s. 152–153. ISBN 83-200-2636-9.
- Jerzy Stachura, Wenancjusz Domagała Patologia znaczy słowo o chorobie. Tom II: Patologia narządowa. Wydawnictwo PAU, Kraków 2005, ISBN 83-88857-91-6.
- Bogdan Pruszyński (red.) Radiologia. Diagnostyka obrazowa. Rtg, TK, MR i radioizotopy. Wyd. II unowocześnione, Wydawnictwo Lekarskie PZWL, Warszawa 2003 ISBN 83-200-2780-2.
Przeczytaj ostrzeżenie dotyczące informacji medycznych i pokrewnych zamieszczonych w Wikipedii.
