Glejakowatość mózgu

Glejakowatość mózgu (ang. gliomatosis cerebri) – dość rzadki, złośliwy nowotwór mózgu szeregu astrocytarnego. Występuje głównie u ludzi młodych. Jest guzem o pośrednim stopniu złośliwości (II/III° według WHO).
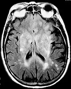
Cechuje się rozplemem atypowych astrocytów w różnych strukturach mózgowia. W tomografii komputerowej daje obraz rozsianych ognisk hipodensyjnych, guz rzadko daje efekt masy (niekiedy stwierdza się asymetryczne zaciśnięcie bruzd mózgu na sklepistości)[2]. Bardziej czułym badaniem jest MRI, w obrazach T2-zależnych glejakowatość mózgu daje obraz mnogich hiperintensywnych ognisk. Charakterystyczne jest objęcie przez proces rozrostowy więcej niż dwóch płatów mózgu[3]. Rokowanie na ogół jest złe. Glejakowatość mózgu została opisana przez Samuela Nevina w 1938 roku[4].
Epidemiologia
Opisywano glejakowatość mózgu u pacjentów w każdym wieku, jednakowo często u obu płci. Szczyt zachorowań przypada na 4. i 5. dekadę życia. Przedstawiono opisy współistnienia glejakowatości mózgu z nerwiakowłókniakowatością typu 1[5][6] i chorobą Alexandra[7].
Objawy i przebieg
Obraz histologiczny
Profil immunohistochemiczny
Astrocyty guza są zwykle GFAP- i S-100-dodatnie. Brak ekspresji guza świadczy o niskim zróżnicowaniu komórek nowotworu[8].
Leczenie i rokowanie
Przebieg choroby jest generalnie postępujący, a rokowanie złe. Zabiegi chirurgiczne nie są na ogół stosowane ze względu na rozlany charakter zaburzeń, obejmujący często znaczne obszary mózgu. Chemioterapia jest na ogół nieskuteczna. W niektórych przypadkach naświetlanie mózgu prowadzi do polepszenia funkcji neurologicznych, lecz jego wpływ na całkowity czas przeżycia jest trudny do określenia i nie został jak dotąd jednoznacznie potwierdzony. Leczenie sprowadza się często w praktyce do opieki nad pacjentem. Średni czas przeżycia wynosi 12 miesięcy.
Przypisy
- ↑ Emmanuelle Duron, Anne Lazareth, Jean-yves Gaubert, Carole Raso, Olivier Hanon, Anne-sophie Rigaud. Gliomatosis cerebri presenting as rapidly progressive dementia and parkinsonism in an elderly woman: a case report. „Journal of Medical Case Reports”. 2. 53, 2008. DOI: 10.1186/1752-1947-2-53. PMID: 18284707.
- ↑ Nowotwory ośrodkowego układu nerwowego. W: Dariusz J. Jaskólski, Wielisław Papierz, Wojciech Biernat, Paweł P. Liberski: Choroby układu nerwowego. Wojciech Kozubski, Paweł P. Liberski (red.). Warszawa: Wydawnictwo Lekarskie PZWL, 2004, s. 165. ISBN 83-200-2636-9.
- ↑ Kleihues P, Cavenee WK (eds) (2000) World Health Organization ClassiWcation of Tumours. Pathology and genetics of tumours of the nervous system. IARC Press, Lyon
- ↑ Nevin S. Gliomatosis cerebri. Brain 1938;61:170-191.
- ↑ Onal C, Bayindir C. Gliomatosis cerebri with neurofibromatosis: an autopsy-proven case. „Childs Nerv Syst”. 15. 5, s. 219-21, 1999. PMID: 10392491.
- ↑ Koszyca B, Moore L, Byard RW. Lethal manifestations of neurofibromatosis type 1 in childhood. „Pediatr Pathol”. 13. 5, s. 573-81, 1993. PMID: 8247955.
- ↑ Honnorat J, Flocard F, Ribot C, Saint-Pierre G, Pineau D, Peysson P, Kopp N. [Alexander's disease in adults and diffuse cerebral gliomatosis in 2 members of the same family]. „Rev Neurol (Paris)”. 149. 12, s. 781-7, 1995. PMID: 7997738.
- ↑ Glejakowatość mózgu. W: Paweł P. Liberski, Tomasz Fiks: Nowotwory mózgu u dzieci. Suplement do Pol J Pathol 53, 4. Paweł P. Liberski (red.). 2001, s. 65-66. ISSN 1233-9687.
Przeczytaj ostrzeżenie dotyczące informacji medycznych i pokrewnych zamieszczonych w Wikipedii.