Guz Dąbskiej


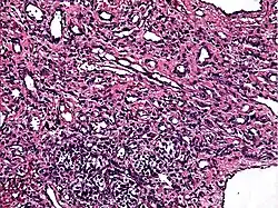
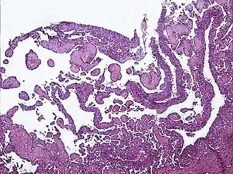
Guz Dąbskiej (łac. angioendothelioma papillare endovasculare malignum, ang. Dabska tumor, malignant endovascular papillary angioendothelioma) – rzadki nowotwór tkanek miękkich o małym potencjale złośliwości, spotykany głównie u dzieci. Guz lokalizuje się zazwyczaj na kończynach, rzadziej w obrębie głowy albo szyi lub w innych lokalizacjach (np. jądro[1]); może przyjmować postać ograniczoną do skóry albo rozlaną, zajmując też tkankę podskórną. W obrazie histologicznym stwierdza się przestrzenie naczyniowe z brodawkowymi tworami i naciekiem limfocytów w podścielisku[2]. Leczenie polega na chirurgicznej resekcji z szerokim marginesem zdrowych tkanek. Nazwa guza honoruje polską patomorfolog Marię Dąbską, która opisała pierwszy przypadek tego nowotworu w 1969 roku[3].
Przypisy
- 1 2 3 Bhatia A, Nada R, Kumar Y, Menon P. Dabska tumor (Endovascular papillary angioendothelioma) of testis: a case report with brief review of literature. „Diagnostic Pathology”. 1. 12, 2006. DOI: 10.1186/1746-1596-1-12. PMID: 16859564.
- ↑ Jerzy Stachura, Wenancjusz Domagała: Patologia znaczy słowo o chorobie. Kraków: Wydawnictwo PAU, 2003. ISBN 83-88857-65-7.
- ↑ Dąbska, M. Malignant endovascular papillary angioendothelioma of the skin in childhood. Clinicopathologic study of 6 cases. „Cancer”. 24 (3), s. 503-510, 1969. PMID: 5343389.
Linki zewnętrzne
- Robert A Schwartz: Dabska Tumor. eMedicine Dermatology. [dostęp 2007-10-30]. (ang.).
- Dabska's tumour w bazie Who Named It (ang.)
Przeczytaj ostrzeżenie dotyczące informacji medycznych i pokrewnych zamieszczonych w Wikipedii.