Guz Potta

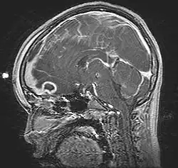
Guz Potta (ang. Pott's puffy tumor) – ciastowaty obrzęk skóry i tkanek miękkich okolicy czołowej, spowodowany zapaleniem szpiku kości czołowej, szerzącym się w kierunku czołowym bezpośrednio i drogą naczyń krwionośnych. Chełbotanie w miejscu obrzęku świadczy o obecności ropnia podokostnowego. Zakażenie może się też szerzyć w kierunku jamy czaszki, powodując ropień mózgu. Najczęstszą przyczyną jest zapalenie zatok czołowych, rzadziej uraz lub przyczyny jatrogenne, np. kraniotomia. Leczenie polega na drenażu chirurgicznym i długotrwałej antybiotykoterapii.
Opisany przez Sir Percivalla Potta w 1760.
Bibliografia
- Pediatria. Podręcznik do Państwowego Egzaminu Lekarskiego i egzaminu specjalizacyjnego. Anna Dobrzańska, Józef Ryżko (red.). Wrocław: Urban&Partner, 2005, s. 230-1. ISBN 83-89581-25-6.
Przeczytaj ostrzeżenie dotyczące informacji medycznych i pokrewnych zamieszczonych w Wikipedii.