Guzki śpiewacze

.jpg)
Guzki śpiewacze (łac. noduli cantorum), niekiedy nazywane guzkami głosowymi – forma przewlekłego, przerostowego i ograniczonego zapalenia krtani. Guzki śpiewacze najczęściej występują symetrycznie. Ich powstawanie ma duży związek z nadużywaniem głosu (nadmiernym wysiłkiem głosowym) i są związane z urazem mechanicznym fałdów głosowych. Powstają one na fałdach głosowych, w miejscu gdzie wibracje podczas fonacji są największe.
Występowanie
Najczęściej występują u osób przeciążających głos. Szczególnie narażone są osoby z głosem w zakresie wyższych częstotliwości. Chorują głównie kobiety, ponieważ emitują one wyższe dźwięki niż mężczyźni. Są częstą chorobą wśród nauczycieli, a także śpiewaków, głównie tenorów i sopranów. Są także jedną z przyczyn chrypki występującej u dzieci. Mogą pojawić się także u osób niewłaściwie używających głosu podczas śpiewu czy mowy – nadmierne i niefizjologiczne forsowanie głosu o zbyt dużym natężeniu. Palenie tytoniu u osób nadużywających głosu szczególnie predysponuje do wystąpienia przewlekłego zapalenia krtani, a zarazem do rozwoju guzków śpiewaczych.
.jpg)
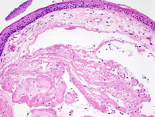
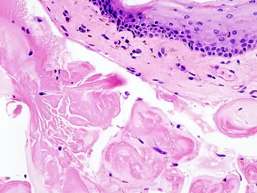
Anatomia patologiczna
Guzki głosowe występują na granicy 1/3 przedniej i środkowej części fałdów głosowych. Ich wielkość nie przekracza wielkości łebka od szpilki. Mają stożkowaty kształt i są jednakowej wielkości. Zdarza się rzadko, że mogą one występować pojedynczo lub że na jednej strunie jeden guzek śpiewaczy jest większy. Umiejscowione są na wolnym brzegu fałdu głosowego w jego górnej części. Pokryte są złogami nawarstwionego nabłonka wielowarstwowego płaskiego, który spoczywa na bezpostaciowej i pogrubiałej łącznotkankowej podstawie. Na obwodzie obserwuje się niewielkie nacieki z komórek zapalnych.
Objawy i przebieg
Objawy guzków śpiewaczych są niecharakterystyczne. Należą do nich:
- chrypka (łac. raucitas, vox rauca);
- szybkie zmęczenie głosu i czasami jego łamliwość.
W początkowym okresie rozwoju guzków śpiewaczych powstają tzw. guzki miękkie. Jest to okres, gdzie po odpoczynku głosowym czy milczeniu objawy ulegają zmniejszeniu, a zmiany na fałdach głosowych mogą się cofać. Jeżeli w tym okresie chory nadal nadużywa głosu, uraz obu fałdów głosowych pogłębia się, a guzki się powiększają. Powstają tzw. guzki twarde. W okresie, kiedy zmiany są utrwalone leczenie zachowawcze nie jest już możliwe - chory wymaga leczenia operacyjnego.
Diagnostyka
Polega na wykonaniu badania krtani (laryngoskopia). Czasami, celem dokładnej oceny zmian wykonuje się wideolaryngoskopię. Obraz laryngoskopowy jest typowy:
- na obu fałdach głosowych w odcinku przednim stożkowate symetrycznie położone guzki barwy białoróżowej;
- podczas fonacji guzki stykają się ze sobą. „Wystając” z fałdów głosowych do szpary głośni, powodują one, że same fałdy nie schodzą się całkowicie, lecz powstaje pomiędzy nimi wąska szczelina (niepełne zwarcie szpary głośni podczas fonacji);
- błona śluzowa krtani (a także początkowego odcinka tchawicy) może być zaczerwieniona, pokryta gęstą śluzową wydzieliną;
- niekiedy błona śluzowa fałdów głosowych może być obrzęknięta, zaczerwieniona – nastrzyknięta (widoczne poszerzone naczynia na fałdach głosowych).
Leczenie
W początkowym okresie polega na milczeniu i/lub odpowiedniej rehabilitacji głosowej u foniatry. Gdy zmiany są utrwalone, w grę wchodzi leczenie zabiegowe – mikrolaryngoskopia. Polega on na ścięciu przerośniętych okolic fałdów głosowych. Po zabiegu także bardzo ważne jest zachowanie milczenia, a następnie stosowanie odpowiedniej emisji głosu (rehabilitacja foniatryczna). Warunkiem powodzenia leczenia i braku nawrotów jest także zaprzestanie palenia tytoniu.
Literatura przedmiotu
- J. Iwaszkiewicz, Zarys otolaryngologii, PZWL, Warszawa 1967
Linki zewnętrzne
Przeczytaj ostrzeżenie dotyczące informacji medycznych i pokrewnych zamieszczonych w Wikipedii.