Hamartoma podwzgórza

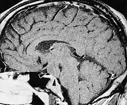
Hamartoma podwzgórza (ang. hypothalamic hamartoma, HH) – wrodzony, nienowotworowy guz podwzgórza, objawiający się klinicznie triadą objawów: napadami śmiechu (ang. gelastic seisures), przedwczesnym dojrzewaniem płciowym i opóźnieniem rozwoju. Niekiedy, w związku z uciskiem guza na skrzyżowanie wzrokowe, pojawiają się zaburzenia widzenia.
Bibliografia
- Maixner W. Hypothalamic hamartomas--clinical, neuropathological and surgical aspects. „Childs Nerv Syst”. 22. 8, s. 867–873, 2006. DOI: 10.1007/s00381-006-0129-0. PMID: 16763856.
- Fenoglio K.A., Wu J., Kim do Y., Simeone T.A., Coons S.W., Rekate H., Rho J.M., Kerrigan J.F.. Hypothalamic hamartoma: basic mechanisms of intrinsic epileptogenesis. „Semin Pediatr Neurol”. 14. 2, s. 51–59, 2007. DOI: 10.1016/j.spen.2007.03.002. PMID: 17544947.
Przeczytaj ostrzeżenie dotyczące informacji medycznych i pokrewnych zamieszczonych w Wikipedii.