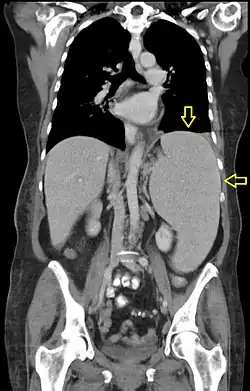
Hepatosplenomegalia

Powiększenie wątroby i śledziony, gdzie indziej niesklasyfikowane
ilustracja
Klasyfikacje
ICD-10

R16.2

Hepatosplenomegalia – termin medyczny oznaczający powiększenie wątroby i śledziony.

Zobacz też


Przeczytaj ostrzeżenie dotyczące informacji medycznych i pokrewnych zamieszczonych w Wikipedii.