Immunohistochemia
![]() | |
| Metoda | |
| Zastosowanie |
wykrywanie rozmaitych substancji antygenowych w skrawkach mikroskopowych |
|---|---|
| Zabarwienie wybranych struktur | |
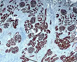
Immunohistochemia – jest to metoda wykrywania rozmaitych substancji antygenowych w skrawkach mikroskopowych, stosowana w histopatologii i histologii. Polega na zastosowaniu przeciwciała skierowanego przeciwko poszukiwanym składnikom preparatu a następnie systemu detekcji, tworzącego barwną, nierozpuszczalną substancję, widoczną w mikroskopie. Do związków chemicznych stosowanych do lokalizacji stosowanych w tej metodzie przeciwciał należą:
- fluorochromy (fluoresceina, rodamina)
- metale (złoto koloidalne, ferrytyna zawierająca żelazo)
- enzymy (peroksydaza, fosfataza zasadowa)
Metoda ta znajduje zastosowanie w diagnostyce różnicowej chorób, szczególnie nowotworów złośliwych.
Zobacz też:
- RIA
- test immunofluoerescencyjny
- immunocytochemia
- ELISA
