Jądro podstawne Meynerta

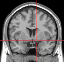
Jądro podstawne Meynerta (ang. basal nucleus of Meynert, NBM) – grupa komórek nerwowych istoty bezimiennej kresomózgowia, bocznie od guza popielatego, wysyłająca liczne projekcje do kory nowej. Stanowi część układu cholinergicznego mózgowia. Degeneracja jądra Meynerta obserwowana jest w przebiegu choroby Parkinsona, choroby Alzheimera i w otępieniu z ciałami Lewy’ego. Nazwa tej struktury anatomicznej upamiętnia Theodora Meynerta.
Bibliografia
- Hendelman Walter J: Atlas of functional neuroanatomy. Boca Raton: CRC Press, 2000, s. 216-217. ISBN 0-8493-1177-2.
Przeczytaj ostrzeżenie dotyczące informacji medycznych i pokrewnych zamieszczonych w Wikipedii.