Jama przegrody przezroczystej

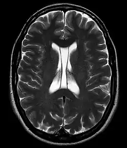
Jama przegrody przezroczystej (łac. cavum septi pellucidi, ang. cavum septum pellucidum) – często spotykany wariant anatomiczny budowy mózgowia, polegający na obecności wąskiej przestrzeni płynowej między dwiema blaszkami przegrody przezroczystej.
Bibliografia
- M. Epelman, A. Daneman, SI. Blaser, C. Ortiz-Neira i inni. Differential diagnosis of intracranial cystic lesions at head US: correlation with CT and MR imaging. „Radiographics”. 26 (1). s. 173-96. DOI: 10.1148/rg.261055033. PMID: 16418251.
Przeczytaj ostrzeżenie dotyczące informacji medycznych i pokrewnych zamieszczonych w Wikipedii.