Komórki okładzinowe

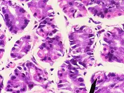
Komórki okładzinowe – komórki umiejscowione w żołądku, a ściślej na obszarze szyjki oraz górnej części trzonu. Występują pojedynczo. Są to największe komórki gruczołów właściwych żołądka. Funkcją tych komórek jest wydzielanie jonów H+ i Cl- tworzących w świetle żołądka kwas solny, oraz czynnika wewnętrznego Castle'a, który wiąże się z witaminą B12 i umożliwia jej wchłanianie w jelicie krętym.
Komórki te mają kształt piramidalny, okrągłe lub owalne jądro leżące centralnie (czasami może być podwójne). zawierają liczne mitochondria (stanowiące nawet do 30% objętości komórki). Brak w nich pęcherzyków wydzielniczych, ich aparat Golgiego i siateczka śródplazmatyczna szorstka są słabo rozwinięte, natomiast siateczka śródplazmatyczna gładka jest dobrze rozwinięta. Na ich szczytowej części błona komórkowa tworzy śródkomórkowe kanaliki wydzielnicze oraz liczne mikrokosmki. Ich cytoplazma ma charakter silnie kwasochłonny.
Przeczytaj ostrzeżenie dotyczące informacji medycznych i pokrewnych zamieszczonych w Wikipedii.