Kostniakochrzęstniak
| Osteochondroma | |
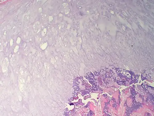
![]() Mikrografia kostniakochrzęstniaka | |
| Specjalizacja |
Ortopedia |
|---|---|
| Objawy |
Ból, zmiany w przepływie krwi, obrzęk, osłabienie, asymetria kończyn |
| Początek |
Okres dojrzewania (pokwitania) - pierwsze 2-3 dekady życia |
| Rozpoznanie |
Biopsja, rezonans magnetyczny, prześwietlenie |
| Leczenie |
Operacja |
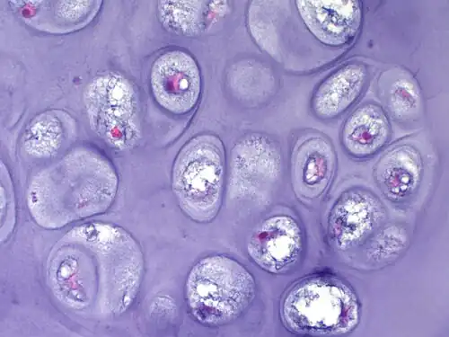
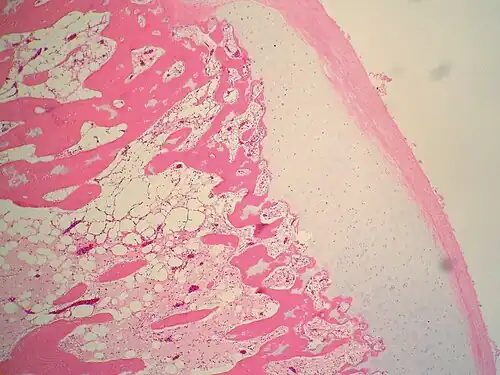
Kostniakochrzęstniak (ang., łac. osteochondroma, osteocartilaginous exostosis)[1] – najczęstszy, niezłośliwy guz kości, stanowiący 20–50% przypadków ich łagodnych nowotworów, oraz 10–15% ich wszystkich nowotworów[2]. Kostniakochrzęstniaki powstają najczęściej w kościach długich – w okolicach kolana, barku, bliższej części kości piszczelowej i dalszej części kości udowej, rzadziej w kościach płaskich – łopatce, czy miednicy[1][3] u młodych dorosłych w wieku 20–30 lat[4], nieco częściej u mężczyzn niż u kobiet (stosunek wynosi 1,5:1)[5]. Dokładne przyczyny kostniakochrzęstniakiów pojedycznych nie są znane. Kostniakochrzęstniaki mnogie to schorzenie dziedziczne – naukowcy podejrzewają, że może być ono związane z genem EXT 1 i EXT 2, wpływających na metabolizm siarczanu heparanu, choć nie jest jasne, dlaczego wada w nich miałaby powodować nowotwór. W około 5–10% przypadków na podłożu kostniakochrzęstniaków rozwijają się chrzęstniakomięsaki (chondrosarcomy)[6][3][7].

Mnogie kostniakochrzęstniaki

Kostniakochrzęstniaki często postępują bezobjawowo, chociaż mogą wywoływać ból, kiedy woreczek z płynem pokrywający nowotwór zostaje podrażniony lub kiedy ten drażni pobliskie ścięgna podczas ruchu stawów. Czasem występuje także dyskomfort związany z guzem naciskającym na nerwy, lub naczynia krwionośne, co powoduje uczucie mrowienia, drętwienia i – rzadko – zmiany w przepływie krwi (np. niedokrwienie lub okresowe utraty tętna). W niektórych przypadkach uraz jest w stanie spowodować pęknięcie szypułki guza, wywołując opuchliznę w miejscu w którym ten się rozwija[6][7]. Kostniakochrzęstniaki – w zależności od ich lokalizacji – mogą powodować również: silne deformacje, złamania i zaburzenia ruchliwości[8]. Do symptomów osteochondromy należy też zaniżony wzrost, asymetria kończyn i osłabienie[9].
Kostniakochrzęstniaki zazwyczaj nie powodują żadnego dyskomfortu, często odkrywane są przez przypadek, gdy wykonywane jest prześwietlenie w celu diagnozy zupełnie innej dolegliwości, np. złamania. W kierunku diagnostyki osteochondromy może zostać wykonana także biopsja (niezawsze wymagana), tomografia, czy rezonans magnetyczny[6].
Produkty lecznicze
Leki nie istnieją.
Operacja
Większość kostniakochrzęstniaków u nastolatków i dzieci – jeśli nie wpływa negatywnie na komfort życia – nie jest usuwana chirurgicznie aż płytka wzrostu się nie zamknie, co niweluje ryzyko jej uszkodzenia. Tylko w ciężkich przypadkach operację można wykonać wcześniej[6][7]. Jeśli też chodzi o pojedyncze guzy, ta zazwyczaj nie jest potrzebna. Nowotwory zazwyczaj przestają rosnąć wraz z końcem wzrostu kości dziecka i pozostają stabilne[10].
Opieka pooperacyjna
Często po operacji pacjent może powrócić do codziennych czynności, ale czasami – szczególnie kiedy nowotwór rozwijał się na kości obciążeniowej- zalecane jest unikanie intensywnej aktywności fizycznej, by leczenie mogło przebiegać prawidłowo[10].
Klasyfikacja ICD10
| kod ICD10 | nazwa choroby |
|---|---|
| ICD-10: D16 | Nowotwór niezłośliwy kości i chrząstki stawowej |
| ICD-10: D16.0 | Łopatka i kości długie kończyny górnej |
| ICD-10: D16.1 | Kości krótkie kończyny górnej |
| ICD-10: D16.2 | Kości długie kończyny dolnej |
| ICD-10: D16.3 | Kości krótkie kończyny dolnej |
| ICD-10: D16.4 | Kości czaszki i twarzy |
| ICD-10: D16.5 | Żuchwa |
| ICD-10: D16.6 | Kości kręgosłupa |
| ICD-10: D16.7 | Żebra, mostek i obojczyk |
| ICD-10: D16.8 | Kości miednicy, kość krzyżowa i guziczna |
| ICD-10: D16.9 | Kości i chrząstki stawowe, umiejscowienie nieokreślone |
Przeczytaj ostrzeżenie dotyczące informacji medycznych i pokrewnych zamieszczonych w Wikipedii.
Przypisy
- 1 2 Osteochondroma [online], www.pathologyoutlines.com [dostęp 2024-07-10].
- ↑ Mark D. Murphey i inni, Imaging of Osteochondroma: Variants and Complications with Radiologic-Pathologic Correlation, „RadioGraphics”, 20 (5), 2000, s. 1407–1434, DOI: 10.1148/radiographics.20.5.g00se171407, ISSN 0271-5333 [dostęp 2024-07-10] (ang.).
- 1 2 Wim Wuyts i inni, Hereditary Multiple Osteochondromas, Margaret P. Adam i inni red., „{{{czasopismo}}}”, Seattle (WA): University of Washington, Seattle, 1993, PMID: 20301413 [dostęp 2024-07-13].
- ↑ John Ratliff, Rand Voorhies, Osteochondroma of the C5 Lamina With Cord Compression: Case Report and Review of the Literature, „Spine”, 25 (10), 15 maja 2000, s. 1293, ISSN 0362-2436 [dostęp 2024-07-10] (ang.).
- ↑ Osteochondroma | BoneTumor.org [online], www.bonetumor.org [dostęp 2024-07-13].
- 1 2 3 4 Osteochondroma – OrthoInfo – AAOS [online], www.orthoinfo.org [dostęp 2024-07-10].
- 1 2 3 Osteochondroma: Causes, Symptoms and Treatments | HSS [online], Hospital for Special Surgery [dostęp 2024-07-10] (ang.).
- ↑ Panagiotis Kitsoulis i inni, Osteochondromas: Review of the Clinical, Radiological and Pathological Features, „In Vivo”, 22 (5), 1 września 2008, s. 633–646, ISSN 0258-851X [dostęp 2024-07-10] (ang.).
- ↑ Osteochondroma – Health Encyclopedia – University of Rochester Medical Center [online], www.urmc.rochester.edu [dostęp 2024-07-10].
- 1 2 The Children’s Hospital of Philadelphia, Osteochondroma [online], www.chop.edu, 23 lutego 2014 [dostęp 2024-07-10] (ang.).
.jpg)