Krwotok podpajęczynówkowy
| Haemorrhagia subarachnoidealis | |
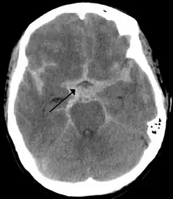
![]() Obraz tomografii komputerowej głowy pacjenta z krwotokiem podpajęczynówkowym (widoczny jako biała plama na środku mózgu) | |
| Klasyfikacje | |
| ICD-10 |
I60 |
|---|---|
| DiseasesDB | |
| MedlinePlus | |
| MeSH | |
Krwotok podpajęczynówkowy (ang. subarachnoid hemorrhage, łac. haemorrhagia subarachnoidalis) – krwawienie do przestrzeni podpajęczynówkowej, która znajduje się między pajęczynówką a oponą miękką mózgu. Krwawienie występuje niespodziewanie, zwykle z powodu pękniętego tętniaka mózgu lub jako skutek urazu głowy.
Objawy krwotoku podpajęczynówkowego to pojawiający się nagle, ostry ból głowy, wymioty, zdezorientowanie, brak świadomości, czasem również napad padaczkowy[1]. Rozpoznanie krwawienia jest zwykle potwierdzane tomografią komputerową, czasem również punkcją lędźwiową. Leczenie odbywa się poprzez natychmiastową operację głowy lub radiologię zabiegową. Podaje się również leki, aby zapobiec nawrotowi krwawienia i ewentualnym komplikacjom. W latach 30. XX wieku opracowano operację tętniaka, jednakże od lat 90. wiele przypadków jest leczona mniej inwazyjną metodą, za pomocą platynowych elektroodczepialnych spiral (GDC, Guglielmi detachable coils), która przeprowadzana jest przez duże naczynia krwionośne[1].
Krwotok podpajęczynówkowy jest rodzajem udaru mózgu i stanowi 1–7% wszystkich udarów[2]. Może doprowadzić do śmierci lub niepełnosprawności, nawet jeśli został zdiagnozowany i leczony na wczesnym etapie. Prawie połowa wszystkich przypadków krwotoku podpajęczynówkowego jest śmiertelna, a 10–15% wszystkich chorych umiera przed przybyciem do szpitala[1]. Ci którzy przeżyją, często mają problemy neurologiczne[3].
Objawy
Typowym objawem podpajęczynówkowego krwawienia jest piorunujący ból głowy (opisywany przez pacjentów „jakby zostali kopnięci w głowę”[4], albo „najgorszy ból w życiu”, pojawiający się w ciągu kilku sekund do kilku minut). Ból ten często pulsuje w kierunku potylicy (tyłu głowy)[5]. U około jednej trzeciej pacjentów nie występują żadne inne objawy oprócz charakterystycznego bólu głowy. U jednego na dziesięciu pacjentów, który zgłaszają się do lekarza z podobnym bólem głowy, diagnozowany jest później krwotok podpajęczynówkowy[1]. Mogą wystąpić wymioty, a 1 na 14 pacjentów ma napad padaczkowy[1]. Innymi objawami krwotoku są również splątanie, ograniczenie świadomości lub nawet śpiączka, sztywność karku oraz inne objawy oponowe[1]. Sztywność karku występuje zwykle około sześciu godzin od rozpoczęcia krwawienia[6].
Pozostałe objawy krwotoku podpajęczynówkowego to:
- zaburzenia częstości oddechu i tętna
- utrata przytomności
- światłowstręt
- inne zaburzenia i objawy neurologiczne (na przykład drętwienie albo paraliż jednej kończyny, nierówna szerokość źrenic, upośledzenie mowy).
Przyczyny i czynniki ryzyka
Przyczyną krwotoku podpajęczynówkowego jest najczęściej pęknięcie tętniaka jednej z tętnic mózgu. Tętniaki tętnic mózgowych i malformacje tętniczo-żylne są najczęstszymi źródłami spontanicznego krwotoku podpajęczynówkowego.
Ryzyko krwotoku podpajęczynówkowego jest większe u ludzi z nadciśnieniem tętniczym, miażdżycą.
Klasyfikacja
Do wstępnej oceny stanu klinicznego i rokowania u chorego z krwotokiem podpajęczynówkowym wykorzystywana jest m.in. skala Boterella w modyfikacji Hunta i Hessa:
- I° – lekki ból głowy, zaznaczona sztywność karku
- II° – średni lub silny ból głowy, wyraźne objawy oponowe (duża sztywność karku), objawy uszkodzenia nerwów czaszkowych (głównie gałkoruchowych)
- III° – nieduże zaburzenia przytomności (senność) i (lub) jakościowe świadomości, obecne objawy ogniskowe
- IV° – znaczne zaburzenia przytomności (sopor), niedowład połowiczy, zakłócenia czynności wegetatywnych (objawy odkorowania)
- V° – głęboka śpiączka, sztywność odmóżdżeniowa, prężenia.
Skalą uzupełniającą może być także skala WFNS (Światowej Federacji Towarzystw Neurochirurgicznych), opierająca się o skalę śpiączki Glasgow oraz obecność zaburzeń neurologicznych:
- stopień 1: GCS 15, bez deficytu neurologicznego,
- stopień 2: GCS 13-14, bez deficytu neurologicznego,
- stopień 3: GCS 13-14, z ogniskowym uszkodzeniem neurologicznym,
- stopień 4: GCS 7-12, z lub bez deficytu,
- stopień 5: GCS <7, z lub bez deficytu[7].
Powikłania
Wczesne:
- skurcz naczyń
- obrzęk mózgu, cytotoksyczny lub naczyniowy
- śmierć
- napady padaczkowe
- zaburzenia układu krążenia
- neurogenny obrzęk płuc
- zaburzenia wodno-elektrolitowe
Późne:
- obrzęk mózgu
- napady padaczkowe
- wodogłowie normotensyjne
Rozpoznanie
Krwotok podpajęczynówkowy trzeba odróżnić od wielu innych chorób układu nerwowego oraz od zawału serca (kiedy oprócz utraty przytomności pojawiają się zaburzenia rytmu pracy serca). Chory musi natychmiast znaleźć się pod opieką lekarza na oddziale neurologicznym lub neurochirurgicznym – od szybkiego rozpoznania choroby zależy wynik leczenia, a często życie pacjenta.
Oprócz dokładnego badania lekarskiego wykonuje się tomografię komputerową głowy, badanie krwi oraz płynu mózgowo-rdzeniowego, który często jest jednolicie podbarwiony krwią oraz ksantochromiczny[8].
Przed ewentualnym zabiegiem operacyjnym wykonuje się także angiografię tętnic mózgowych w celu dokładnego uwidocznienia źródła krwotoku.
Leczenie
Zabieg neurochirurgiczny w niektórych przypadkach pozwala zatrzymać krwawienie, usunąć krew z przestrzeni podpajęczynówkowej i zmniejszyć stopień uszkodzenia mózgu. Jednocześnie lekarze monitorują ogólny stan pacjenta. Alternatywą dla otwarcia czaszki i założenia na szypułę pękniętego tętniaka klipsa hamującego krwawienie (ang. clipping) jest uszczelnienie tętniaka od środka naczynia za pomocą specjalnej „sprężynki” (ang. coiling) przez radiologa interwencyjnego, przeprowadzane bez otwierania czaszki.
Po ustąpieniu ostrych objawów neurolog ocenia stopień uszkodzenia mózgu i rozpoczyna rehabilitację.
Rokowanie
Niepewne, zależy m.in. od ciężkości krwotoku według skali Hunta-Hessa. Pomimo znacznego postępu w leczeniu neurochirurgicznym i śródnaczyniowym nadal jest poważne; u niektórych chorych występuje ponowny krwotok. U wielu chorych pozostają ubytki neurologiczne, wynikające z trwałych uszkodzeń mózgu (na przykład paraliż części ciała albo zaburzenia mowy).
Klasyfikacja ICD10
| kod ICD10 | nazwa choroby |
|---|---|
| ICD-10: I60 | Krwotok podpajęczynówkowy |
| ICD-10: I60.0 | Krwotok podpajęczynówkowy z syfonu lub rozwidlenia tętnicy szyjnej wewnętrznej |
| ICD-10: I60.1 | Krwotok podpajęczynówkowy z tętnicy środkowej mózgu |
| ICD-10: I60.2 | Krwotok podpajęczynówkowy z tętnicy łączącej przedniej |
| ICD-10: I60.3 | Krwotok podpajęczynówkowy z tętnicy łączącej tylnej |
| ICD-10: I60.4 | Krwotok podpajęczynówkowy z tętnicy podstawnej |
| ICD-10: I60.5 | Krwotok podpajęczynówkowy z tętnicy kręgowej |
| ICD-10: I60.6 | Krwotok podpajęczynówkowy z innych tętnic wewnątrzczaszkowych |
| ICD-10: I60.7 | Krwotok podpajęczynówkowy z tętnicy wewnątrzczaszkowej, nieokreślony |
| ICD-10: I60.8 | Inne krwotoki podpajęczynówkowe |
| ICD-10: I60.9 | Krwotok podpajęczynówkowy, nieokreślony |
Przypisy
- 1 2 3 4 5 6 van Gijn J, Kerr RS, Rinkel GJ. Subarachnoid haemorrhage. „Lancet”. 369 (9558), s. 306–318, 2007. DOI: 10.1016/S0140-6736(07)60153-6. PMID: 17258671.
- ↑ Feigin VL, Rinkel GJ, Lawes CM, et al.. Risk factors for subarachnoid hemorrhage: an updated systematic review of epidemiological studies. „Stroke”. 36 (12). s. 2773–2780. DOI: 10.1161/01.STR.0000190838.02954.e8. PMID: 16282541.
- ↑ Suarez JI, Tarr RW, Selman WR. Aneurysmal subarachnoid hemorrhage. „New England Journal of Medicine”. 354 (4), s. 387–396, styczeń 2006. DOI: 10.1056/NEJMra052732. PMID: 16436770.
- ↑ Murray Longmore, Ian Wilkinson, Tom Turmezei, Chee Kay Cheung: Oxford Handbook of Clinical Medicine, 7th edition. Oxford University Press, 2007, s. 841. ISBN 0-19-856837-1. (ang.).
- ↑ Punit Ramrakha, Kevin Moore: Oxford Handbook of Acute Medicine, 2nd edition. Oxford University Press, 2007, s. 466–470. ISBN 978-0-19-852072-6. (ang.).
- ↑ David A Warrell, Timothy M. Cox, et al.: Oxford Textbook of Medicine, Fourth Edition, Volume 3. Oxford, 2003, s. 1032–1034. ISBN 0-19-857013-9. (ang.).
- ↑ Hanbook of Neurosurgery M.S. Greenberg.
- ↑ A. Prusiński, Neurologia praktyczna, PZWL 2003, ISBN 83-200-2844-2.
Bibliografia
- Choroby układu nerwowego. Wojciech Kozubski, Paweł P. Liberski (red.). Warszawa: Wydawnictwo Lekarskie PZWL, 2004, s. 459–464. ISBN 83-200-2636-9.
Przeczytaj ostrzeżenie dotyczące informacji medycznych i pokrewnych zamieszczonych w Wikipedii.
