Mózgowie człowieka

Mózgowie (łac. encephalon z gr. en „w, wewnątrz” i kephalos „głowa”) – część ośrodkowego układu nerwowego leżąca w czaszce. Jest to najbardziej złożony narząd człowieka. Stopień jego rozwoju prawdopodobnie warunkuje istnienie świadomości. Między neuronami czuciowymi i ruchowymi rozmieszczone są włókna kojarzeniowe.
Wewnątrz mózgowia wyróżnia się skupienia komórek nerwowych – jądra i kora mózgu. Wypustki wychodzące z jąder tworzą wiązki oraz spoidła mózgu.
Podział mózgowia
Podział topograficzny

W tym podziale części składowe mózgowia stanowią pierwotne pęcherzyki mózgowe zarodka (przodomózgowie, śródmózgowie i tyłomózgowie) dzielące się dalej na wtórne pęcherzyki mózgowe. Jedynie śródmózgowie nie ulega podziałowi na wtórne pęcherzyki.
- przodomózgowie prosencephalon
- kresomózgowie telencephalon (inaczej mózg cerebrum)
- półkule mózgu hemispheria cerebri s. telencephalon laterale
- kresomózgowie środkowe telencephalon medium
- międzymózgowie diencephalon
- nadwzgórze epithalamus
- wzgórze thalamus
- niskowzgórze subthalamus
- zawzgórze metathalamus
- podwzgórze hypothalamus
- kresomózgowie telencephalon (inaczej mózg cerebrum)
- śródmózgowie mesencephalon
- pokrywa śródmózgowia tectum mesencephali
- konary mózgu pedunculi cerebri
- tyłomózgowie rhombencephalon
- tyłomózgowie wtórne metencephalon
- rdzeniomózgowie myelencephalon
- rdzeń przedłużony medulla oblongata
Podział kliniczny
- półkule mózgu hemispheria cerebri
- móżdżek cerebellum
- pień mózgu truncus encephali
- śródmózgowie mesencephalon
- most most Varola, łac. pons, pons Varoli
- rdzeń przedłużony medulla oblongata
Do pnia mózgu niektóre źródła zaliczają także międzymózgowie oraz jądra kresomózgowia.
Anatomia i fizjologia

Jamki zarodkowych pęcherzyków mózgu utrzymują się przez cały czas kształtowania się mózgu tworząc w wykształconym już mózgu komory mózgowe, które wypełnione są surowiczym płynem mózgowo-rdzeniowym. Z bocznych pęcherzykowatych wypukleń mózgu pierwotnego wytwarzają się oczy; z przodu tworzy się płat węchowy. Im wyżej na filogenetycznej drabinie stoją kręgowce, tym znaczniejszy obserwuje się rozwój przodomózgowia, które w końcu tworzy właściwy mózg (cerebrum), składający się z dwóch półkul (prawej i lewej). U człowieka przykrywają one całą resztę mózgu.

Półkule te są pofałdowane, co znacznie zwiększa ich powierzchnię. Wyróżnia się na nich bruzdy (sulci, fissurae) i zakręty (gyri). Półkule mózgowe rozwijają się kosztem międzymózgowia i śródmózgowia. Z tyłomózgowia powstaje móżdżek, a rdzeniomózgowie zamienia się w rdzeń przedłużony. Masa mózgu ludzkiego wynosi u mężczyzny około 1375 g, u kobiety 1225 g, podczas gdy masa mózgu niemowlęcia to zwykle około 350 g. Obydwie półkule rozdzielone są głęboką bruzdą podłużną, a tylko w dolnej części złączone są wielkim spoidłem mózgowym, ze śródmózgowiem natomiast łączą się za pomocą szypułek mózgowych (pedunculi cerebri). Głęboka bruzda boczna, zwana bruzdą Sylwiusza[1], przecina pod spodem półkule mózgowe, tak że dzieli każdą półkulę (od spodu) na 5 płatów:
- czołowy
- ciemieniowy
- skroniowy
- potyliczny
- brzeżny (limbiczny)
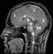
Płat ciemieniowy przechodzi bez ostrej granicy w płat potyliczny. Wąska jama obecna w półkulach mózgowych podzielona jest przez ścianę podłużną na dwie równe części – w ten sposób powstają komory boczne mózgu (ventriculi cereibri). Tylna część tej ściany tzw. sklepienie mózgu wychodzi z ciał suteczkowatych, znajdujących się u podstawy mózgu. Komory boczne i komora trzecia (w międzymózgowiu) komunikują się ze sobą przez ciasny otwór Monroe’go (foramen Monroi). Przedłużenia bocznych komór noszą nazwę rogów Ammona (cornu ammonis). Półkule mózgowe zbudowane są z istoty szarej (zwanej korą mózgową), o miąższości około 5 mm, obfitującej w komórki zwojowe, i z białej istoty rdzennej złożonej z włókien nerwowych. Dno komory trzeciej mieszczącej się w międzymózgowiu przedłuża się ku dołowi w lejek, na którym położona jest przysadka mózgowa, gruczoł wydzielania wewnętrznego. Z międzymózgowia wychodzi również, jednak ku górze, szyszynka.


tętnica przednia mózgu,
tętnica środkowa mózgu,
tętnica tylna mózgu.

Mózg jest bardzo wrażliwym narządem, dlatego też jest bardzo dobrze chroniony. Otaczają go 3 opony. Każda z nich jest inna i każda ma inne zadania. Pierwsza, najbliżej mózgu, to silnie unaczyniona opona miękka (naczyniówka), której zadaniem jest odżywianie mózgu. Wnika ona do komór mózgu tworząc sploty naczyniówkowe, oraz we wszystkie bruzdy i zakręty mózgu. Drugą jest pajęczynówka, w której znajduje się płyn mózgowo-rdzeniowy, wyrównujący ciśnienie w czaszce i amortyzujący wstrząsy. Pajęczynówka jest bardzo delikatna, brak w niej naczyń krwionośnych. Ostatnią, trzecią oponą jest opona twarda, która jest zarazem okostną czaszki. Dzieli się ona na blaszkę zewnętrzną i blaszkę wewnętrzną.
Unaczynienie tętnicze mózgowia pochodzi głównie z tętnicy podstawnej (wraz z jej odgałęzieniami, parą tętnic tylnych mózgu), będącej połączeniem dwóch tętnic kręgowych oraz parami tętnic przednich i środkowych mózgu (końcowych odgałęzień tętnicy szyjnej wewnętrznej). Wszystkie te tętnice łączą się na podstawie mózgowia w koło tętnicze mózgu.
Objętość mózgu człowieka jest istotnym parametrem antropologicznym, średnia światowa wynosi 1350 ml (800–2000 ml). Przeciętny mózg ma około 86 mld neuronów, przy czym każdy z nich łączy się średnio z 7 tys. innych poprzez synapsy, w sumie takich połączeń jest około
Wielkość ludzkiego mózgu jest w 94% (prawie całkowicie) uwarunkowana czynnikami genetycznymi[2]. Istotną rolę w warunkowaniu wielkości mózgu odgrywa ludzki gen ASPM[3].
Większy rozmiar mózgu (jako indeks cefaliczny) jest związany z większym IQ, co sugeruje że różnice w wielkości mózgu między ludźmi są skorelowane do różnic inteligencji i wyników testów[4][5][6][7].
Jedną z metod przeżyciowego mierzenia (in vivo) wielkości mózgu jest metoda VBM. Jest to nieobciążona technika charakteryzująca objętości regionów mózgowia i różnice koncentracji tkanek w strukturalnych obrazach NMR[8].
Zasada działania mózgu polega na przekazywaniu sygnałów elektrycznych – potencjałów czynnościowych – w obrębie neuronu oraz chemicznych (neuroprzekaźnik) w obrębie synapsy. Podstawową jednostką czynnościową mózgu jest tzw. zespół neuronów.
Zobacz też
Przypisy
- ↑ Adam Bochenek, Michał Reicher: Anatomia człowieka. Wyd. 1(2). T. 4: Układ nerwowy ośrodkowy. Warszawa: PZWL, 1981, s. 317.
- ↑ Genetic variability of human brain size and cortical gyral patterns. AJ Bartley, DW Jones and DR Weinberger Qoute: Brain volume was highly correlated in MZ pairs [unbiased intraclass correlation coefficient, ICC(U) = 0.95, P < 0.00001] URL: .
- ↑ Evolution of the Human ASPM Gene, a Major Determinant of Brain Size Evolution of the Human ASPM Gene; Jianzhi Zhang .
- ↑ “In Vivo” Brain Size and Intelligence. Willerman, Lee; And Others.
- ↑ In vivo brain size, head perimeter, and intelligence in a sample of healthy adult females. cat.inist.fr. [zarchiwizowane z tego adresu (2014-12-04)]..
- ↑ Bigger Brain Size Matters For Intellectual Ability.
- ↑ High-Aptitude Minds: The Neurological Roots of Genius.
- ↑ A Voxel-Based Morphometric Study of Ageing in 465 Normal Adult Human Brains.
Bibliografia
- Zygmunt Urbanowicz, Współczesne mianownictwo anatomiczne, Lublin: wydawnictwo CZELEJ, 2002, ISBN 83-88063-91-X, OCLC 830416737.
- Symulator faktu. Mózg i układ nerwowy. vod.tvp.pl. [zarchiwizowane z tego adresu (2014-12-05)].
Przeczytaj ostrzeżenie dotyczące informacji medycznych i pokrewnych zamieszczonych w Wikipedii.
