Martwica skrzepowa
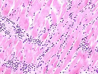
Martwica skrzepowa (łac. necrosis coagulativa) – martwica tkanek z ich następową kondensacją, utratą wody i utworzeniem skrzepu. Charakterystyczne dla tego typu martwicy są długo utrzymujące się kształty obumarłych komórek a raczej ich cienie w postaci kwasochłonnych kul lub pasm, w zależności od pierwotnego kształtu komórki. Koagulacja białek zachodzi w silnie zakwaszonej tkance, co hamuje aktywność lityczną enzymów. Taki obraz może się utrzymywać przez kilka dni, po czym pierwotnie sucha i martwa tkanka chłonie wodę, ulega fermentacji i uprzątnięciu przez leukocyty i makrofagi. Najczęstszą przyczyną jest niedokrwienie tkanek.
Przykłady:
- martwica mięśnia sercowego,
- martwica serowata (łac. necrosis caseosa)
- martwica rozpływna (łac. necrosis coliquativa)
Przeczytaj ostrzeżenie dotyczące informacji medycznych i pokrewnych zamieszczonych w Wikipedii.