Mięczak zakaźny
| molluscum contagiosum | |
![]() Guzki w mięczaku zakaźnym | |
| Klasyfikacje | |
| ICD-10 | |
|---|---|
Mięczak zakaźny (łac. molluscum contagiosum) – choroba wywoływana przez DNA-wirus z grupy ospy (Poxvirus), objawiająca się zmianami na skórze o charakterze twardych woskowobiałych guzków (w piśmiennictwie anglojęzycznym jest to grudka[1]).



Etiologia
Chorobę wywołuje wirus z grupy ospy (Poxvirus), MCV (molluscum contagiosum virus). Jak sama nazwa wskazuje, zakaźność jest bardzo duża. Wyróżnia się cztery typy wirusa, MCV-1 do MCV-4, z których najpowszechniejszy jest MCV-1. Nie wykazano aby któryś typ MCV miał predylekcję do określonych okolic ciała, tak jak jest to w przypadku wirusa opryszczki. Genom wirusów z grupy MCV składa się z pojedynczej cząsteczki dwuniciowego DNA.
Epidemiologia
Większą podatność na zakażenie wykazują dzieci i osoby z niedoborami odporności, często jednocześnie występuje atopowe zapalenie skóry. Najwięcej zachorowań odnotowuje się w grupach wiekowych dzieci do 5 lat i młodych dorosłych od 15 do 29 lat. Ocenia się, że w USA mięczak zakaźny stanowi około 1% rozpoznań dermatologicznych. Często występuje wraz z innymi chorobami przenoszonymi drogą płciową. Ten ostatni fakt, jak również niedobory odporności u chorych z HIV, sprawia, że mięczak zakaźny spotykany jest u około 20% zakażonych HIV.
Objawy i przebieg
Wykwitem pierwotnym jest guzek wielkości 2–6 mm, o kształcie zbliżonym do okrągłego, woskowobiałej barwy, błyszczący, sprawiający wrażenie przeświecającego. Charakterystyczne jest pępkowate wgłębienie w części środkowej, widoczne zwłaszcza w większych zmianach. Po nakłuciu i ucisku guzka wydobywa się z niego kaszowata treść perłowego koloru. Niekiedy można stwierdzić dodatni objaw Köbnera.
Guzki są liczne, najczęściej lokalizują się na skórze rąk, twarzy i narządów płciowych, ale mogą być obecne w każdej innej lokalizacji, także na błonach śluzowych. Może wystąpić świąd lub bolesność zmian. Zejście guzka nie pozostawia blizny.
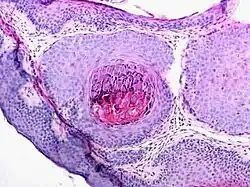
Obraz histologiczny

Zmiany histologiczne w zakażeniu MCV są bardzo charakterystyczne. Polegają na zrazikowatym przeroście naskórka połączonym z ogniskowym wnikaniem naskórka w głąb tkanki łącznej. W komórkach warstwy kolczystej naskórka obserwuje się liczne, początkowo kwasochłonne, później zasadochłonne cytoplazmatyczne wtręty, tzw. ciałka mięczakowate (molluscum bodies). Są to owalne, homogenne ciała o średnicy 15–35 μm; początkowo widoczne są w komórkach warstwy kolczystej naskórka, mogą jednak znaleźć się w keratynocytach każdej warstwy naskórka. W warstwie podstawnej naskórka można stwierdzić zwiększenie objętości keratynocytów, ich jądra również są powiększone. W warstwie kolczystej natomiast komórki posiadają jądra spłaszczone i zepchnięte na obwód. Zakażone komórki przesuwają się ku powierzchni i z warstwy rogowej "wysypują się" do światła krypt, utworzonych przez rozrastający się naskórek. Zmianom może towarzyszyć miernie nasilony odczyn zapalny. Komórki z ciałkami mięczakowatymi stwierdza się także w preparacie z wyciśniętych z guzka mas, wybarwionym metodą Giemsy.
Różnicowanie
- Prosaki (milia)
- Rogowiak kolczystokomórkowy (keratoacanthoma)
- Rak podstawnokomórkowy (basalioma)
- Kępki żółte (xanthoma)
- Kłykciny kończyste (condylomata acuminata)
- Brodawki młodocianych (verrucae juveniles)
- Gruczolak syringialny (syringoma)
Leczenie
Leczenie wyłącznie objawowe, łyżeczkowanie, krioterapię albo mechaniczne wyciskanie treści guzków. Stosuje się nalewkę jodową, azotan srebra, wodorotlenek potasu, roztwór podofiliny lub fenolu po zabiegach. Mięczak zakaźny często ustępuje samoistnie. W przypadku nasilonych zmian stosuje się antyhistaminiki (cymetydyna), leczenie złuszczające (kantarydyna), imikwimod, retinoidy, a także leki antywirusowe.
Historia
Jednostkę chorobową jako pierwszy opisał angielski dermatolog Thomas Bateman (1778-1821) w 1817 roku. Używane niekiedy synonimy molluscum contagiosum to zespół Batemana (Bateman's syndrome), epithelioma contagiosum, molluscum epitheliale, condyloma porcelaneum, molluscum sebaceum[2].
Przypisy
- ↑ UpToDate Subscriptions for Patients and Caregivers | UpToDate [online], patients.uptodate.com [dostęp 2017-11-25] (ang.).
- ↑ Bateman's syndrome w bazie Who Named It (ang.)
Bibliografia
- Stefania Jabłońska, Sławomir Majewski: Choroby skóry i choroby przenoszone drogą płciową. Warszawa: PZWL, 2005. ISBN 83-200-3367-5.
- Tomasz F. Mroczkowski (red.) Choroby przenoszone drogą płciową. PZWL 1998, ISBN 83-200-2152-9.
- Jerzy Stachura Wenancjusz Domagała (red.) Patologia znaczy słowo o chorobie. Tom II - Patologia narządowa. Wydawnictwo PAU, Kraków 2005. ISBN 83-88857-91-6.
Linki zewnętrzne
- Artykuł z eMedicine (ang.)
- Mięczak zakaźny w DermAtlas (ang.)
Przeczytaj ostrzeżenie dotyczące informacji medycznych i pokrewnych zamieszczonych w Wikipedii.
