Mnogie kostniakochrzęstniaki


.jpg)
.jpg)
Mnogie kostniakochrzęstniaki (ang. multiple osteochondromas, hereditary multiple exostoses, HME, multiple hereditary exostoses, MHE, EXT, diaphyseal aclasis (multiple hereditary) osteochondromatosis, multiple cartilaginous exostoses) – uwarunkowana genetycznie choroba polegająca na wrodzonej predyspozycji do kostniakochrzęstniaków kości długich.
Epidemiologia
Częstość choroby szacuje się na 1:50 000[1], nieco częstsza jest u mężczyzn (stosunek mężczyzn do kobiet wynosi 1,5:1[2][3]). Dodatni wywiad rodzinny stwierdzano u 62% pacjentów[2].
Objawy i przebieg
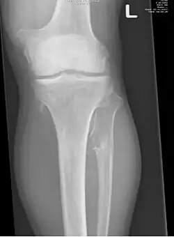
Osteochondromata pojawiają się i powiększają w pierwszej dekadzie życia, ich wzrost ulega zahamowaniu wraz z okresem dojrzewania. Zmiany są uszypułowane lub nie i bardzo zmiennej wielkości. Przeciętna liczba kostniakochrzęstniaków wynosi 15–18; może być ich mniej lub więcej, w zależności od rodziny i od pacjenta. Większość jest bezobjawowa. Kości, z których wychodzą zmiany, to kości długie, przede wszystkim kość udowa i kości podudzia. Kości twarzoczaszki nie są miejscem gdzie osteochondromata mogą się lokalizować. Objawy to ból i deformacje stawów, zwłaszcza w przypadku zmian zlokalizowanych w okolicy łokcia. Najistotniejszym powikłaniem jest złośliwienie zmian w kierunku chrzęstniakomięsaka, mające miejsce w 0,5–5% przypadków.
Etiologia
Dziedziczenie choroby jest autosomalnie dominujące. Choroba jest heterogenna genetycznie. Około 90% pacjentów ma mutacje germinalne w genach supresorowych EXT1 albo EXT2. Geny te kodują glikozylotransferazy, katalizujące reakcję polimeryzacji siarczanu heparanu.
Rozpoznanie
Rozpoznanie opiera się na badaniu klinicznym i radiologicznym oraz, o ile to możliwe, na histopatologicznej ocenie wycinka guza. Jeśli znane jest miejsce mutacji, technicznie możliwe jest zdiagnozowanie prenatalne choroby,
Różnicowanie
Diagnostyka różnicowa obejmuje metachondromatosis, dysplasia epiphysealis hemimelica i chorobę Olliera.
Leczenie
Leczenie polega na usunięciu chirurgicznym zmian, o ile te są objawowe. W przypadku zezłośliwienia zmiany leczeniem z wyboru jest resekcja zmiany en-bloc wraz z pseudotorebką guza i marginesem zdrowej tkanki, najlepiej w ośrodku mającym doświadczenie w leczeniu pacjentów z tym typem nowotworu.
Przypisy
- ↑ Schmale GA, Conrad EU, Raskind WH. The natural history of hereditary multiple exostoses. „J Bone Joint Surg Am”. 76. 7, s. 986–992, 1994. PMID: 8027127.
- 1 2 Legeai-Mallet L, Munnich A, Maroteaux P, Le Merrer M. Incomplete penetrance and expressivity skewing in hereditary multiple exostoses. „Clin Genet”. 52. 1, s. 12–16, 1997. PMID: 9272707.
- ↑ Wicklund CL, Pauli RM, Johnston D, Hecht JT. Natural history study of hereditary multiple exostoses. „Am J Med Genet”. 55. 1, s. 43–46, 1995. DOI: 10.1002/ajmg.1320550113. PMID: 7702095.
Bibliografia
- Bovée JV. Multiple osteochondromas. „Orphanet J Rare Dis”. 3, s. 3, 2008. DOI: 10.1186/1750-1172-3-3. PMID: 18271966.
Linki zewnętrzne
- EXOSTOSES, MULTIPLE, TYPE I w bazie Online Mendelian Inheritance in Man (ang.)
- EXOSTOSES, MULTIPLE, TYPE II w bazie Online Mendelian Inheritance in Man (ang.)
- EXOSTOSES, MULTIPLE, TYPE III; EXT3 w bazie Online Mendelian Inheritance in Man (ang.)
Przeczytaj ostrzeżenie dotyczące informacji medycznych i pokrewnych zamieszczonych w Wikipedii.