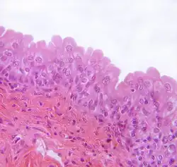
Nabłonek przejściowy

Nabłonek przejściowy, urotelium (ang. transitional epithelium, urothelium, uroepithelium[1][2]) – nabłonek występujący w drogach moczowych ssaków, wyścielający miedniczki nerkowe, moczowody, pęcherz moczowy, początkową część (u samców część miedniczną) cewki moczowej i okolice ujść przewodów odprowadzających wydzielinę gruczołów prostaty[3][4][5][6]. Określany bywa jako wielowarstwowy lub wielorzędowy, co może wynikać z różnic międzygatunkowych[7][8]. U człowieka jest nabłonkiem wielowarstwowym sześciennym, składającym się z 2–7 warstw komórek, położonych na bardzo cienkiej błonie podstawnej, z którą środkowe warstwy komórek czasami łączą się wypustkami cytoplazmatycznymi. Powierzchowna warstwa jednak tych połączeń z błoną podstawną nie posiada[9][10][2].
Nabłonek ten nazywany jest przejściowym ze względu na przejściowe zmiany jego grubości i liczby warstw komórek w różnych etapach pracy układu moczowego[7][9]. Podczas rozciągania błony śluzowej przez nagromadzony mocz komórki warstwy powierzchownej (komórki baldaszkowate) spłaszczają się (rozciągają), pokrywając nawet po kilka komórek warstw głębszych. Zmienia się również liczba warstw komórek z 5–7 w opróżnionym pęcherzu do 2–3 w pęcherzu wypełnionym[10][7]. Komórki baldaszkowate mają często po dwa a nawet więcej jąder[11][10]. Na ich powierzchni szczytowej są liczne zgrubienia (płytki) chroniące nabłonek i niżej leżące tkanki przed działaniem moczu, a także fałdy i pęcherzyki będące rezerwą błony komórkowej wykorzystywaną podczas rozciągania tych komórek w miarę wypełniania pęcherza moczowego[7][12][9]. Pod komórkami baldaszkowymi położone są sześcienne lub walcowate komórki warstwy pośredniej i małe komórki podstawne[10].
Przypisy
- ↑ Mescher 2020 ↓, s. 89.
- 1 2 Puneet Khandelwal, Soman N. Abraham, Gerard Apodaca, Cell biology and physiology of the uroepithelium, „American Journal of Physiology. Renal Physiology”, 297 (6), 2009, DOI: 10.1152/ajprenal.00327.2009 (ang.).
- ↑ Kazimierz Krysiak, Krzysztof Świeżyński, Anatomia zwierząt. 2. Narządy wewnętrzne i układ krążenia, Warszawa: Wydawnictwo Naukowe PWN, 2012, s. 303–305, ISBN 978-83-01-16751-6.
- ↑ Kazimierz Sembrat, Histologia porównawcza zwierząt. Tom II, Warszawa: Państwowe Wydawnictwo Naukowe, 1981, s. 403–405, ISBN 83-01-00966-7.
- ↑ Mescher 2020 ↓, s. 436–438.
- ↑ Sawicki i Malejczyk 2020 ↓, s. 667.
- 1 2 3 4 Zabel 2013 ↓, s. 40.
- ↑ Sawicki i Malejczyk 2020 ↓, s. 138.
- 1 2 3 Zabel 2013 ↓, s. 293.
- 1 2 3 4 Mescher 2020 ↓, s. 436.
- ↑ Kazimierz Sembrat, Histologia porównawcza zwierząt. Tom I, Warszawa: Państwowe Wydawnictwo Naukowe, 1981, s. 235–236, ISBN 83-01-00966-7.
- ↑ Sawicki i Malejczyk 2020 ↓, s. 614.
Bibliografia
- Anthony L. Mescher, Histologia Junqueira. Podręcznik i atlas, wyd. XV, Wrocław: Edra Urban & Partner, 2020, ISBN 978-83-66548-20-6.
- Wojciech Sawicki, Jacek Malejczyk, Histologia, wyd. VI uaktualnione i rozszerzone, Warszawa: Wydawnictwo Lekarskie PZWL, 2020, ISBN 978-83-200-4349-5.
- Maciej Zabel (red.), Histologia. Podręcznik dla studentów medycyny i stomatologii, Wrocław: Elsevier Urban & Partner, 2013, ISBN 978-83-7609-865-4.
Przeczytaj ostrzeżenie dotyczące informacji medycznych i pokrewnych zamieszczonych w Wikipedii.